Recombinant Carbonic Anhydrase II/Car2 Monoclonal Antibody (AN300544P)
-
-
-
- +1
For research use only.
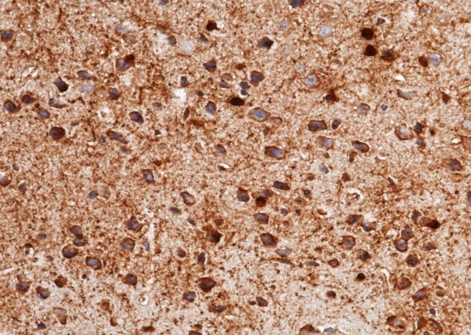
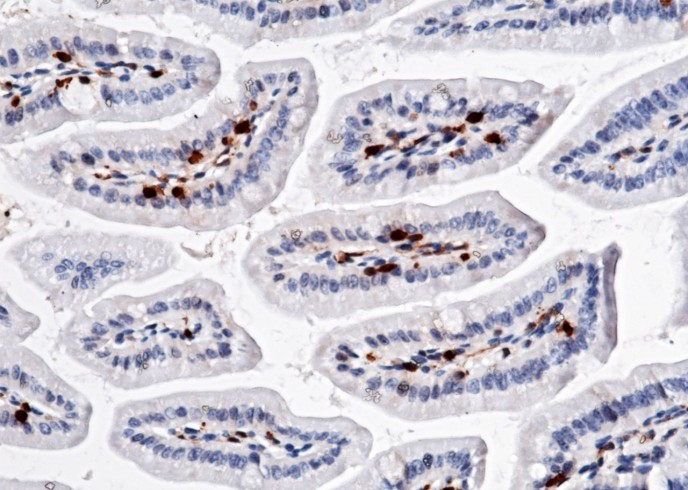
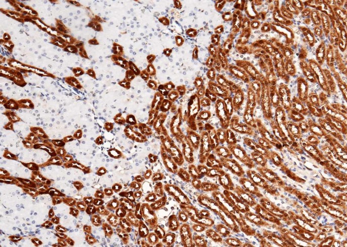
| Verified Samples | Verified Samples in IHC: Mouse stomach, Mouse kidney, Mouse intestine, Mouse brain |
| Dilution | IHC-P 1:100-1:500 |
| Isotype | IgG |
| Host | Rabbit |
| Reactivity | Mouse |
| Applications | IHC-P |
| Clonality | Monoclonal |
| Immunogen | Recombinant Mouse Carbonic Anhydrase II/CA2 protein |
| Abbre | CA2 |
| Synonyms | Car, Car2, Ca2, AI131712, CAC, CAII, CA-II, Car-2, Ltw-5, Lvtw-5 |
| Swissprot | |
| Concentration | 1 mg/mL |
| Buffer | 0.2 μm filtered solution in PBS |
| Purification Method | Protein A |
| Clone No. | B474 |
| Conjugation | Unconjugated |
| Storage | This antibody can be stored at 2℃-8℃ for one month without detectable loss of activity. Antibody products are stable for twelve months from date of receipt when stored at -20℃ to -80℃. Preservative-Free. Avoid repeated freeze-thaw cycles. |
| Shipping | Ice bag |
| background | The carbonic anhydrases (or carbonate dehydratases) are classified as metalloenzyme for its zinc ion prosthetic group and form a family of enzymes that catalyze the rapid interconversion of carbon dioxide and water to bicarbonate and protons, a reversible reaction that takes part in maintaining acid-base balance in blood and other tissues. The carbonic anhydrasekl (CA) family consists of at least 11 enzymatically active members and a few inactive homologous proteins. Carbonic anhydrase II is one of fourteen forms of human α carbonic anhydrases. Defects in this enzyme are associated with osteopetrosis and renal tubular acidosis. Renal carbonic anhydrase allows the reabsorption of sodium ions in the proximal tubule. Carbonic anhydrase II has been shown to interact with Band 3 and Sodium-hydrogen antiporter 1. |
Other Clones
{{antibodyDetailsPage.numTotal}} Results
-
{{item.title}}
Citations ({{item.publications_count}}) Manual MSDS
Cat.No.:{{item.cat}}
{{index}} {{goods_show_value}}
Other Formats
{{formatDetailsPage.numTotal}} Results
Unconjugated
-
{{item.title}}
Citations ({{item.publications_count}}) Manual MSDS
Cat.No.:{{item.cat}}
{{index}} {{goods_show_value}}
-
IF:{{item.impact}}
Journal:{{item.journal}} ({{item.year}})
DOI:{{item.doi}}Reactivity:{{item.species}}
Sample Type:{{item.organization}}
-
Q{{(FAQpage.currentPage - 1)*pageSize+index+1}}:{{item.name}}

