Recombinant ATP Citrate Lyase Monoclonal Antibody (AN302052L)
-
-
-
- +1
For research use only.
| Verified Samples |
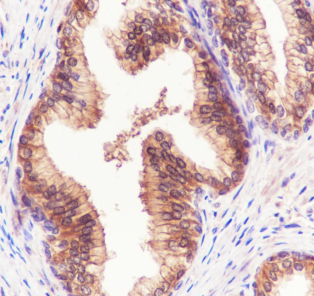
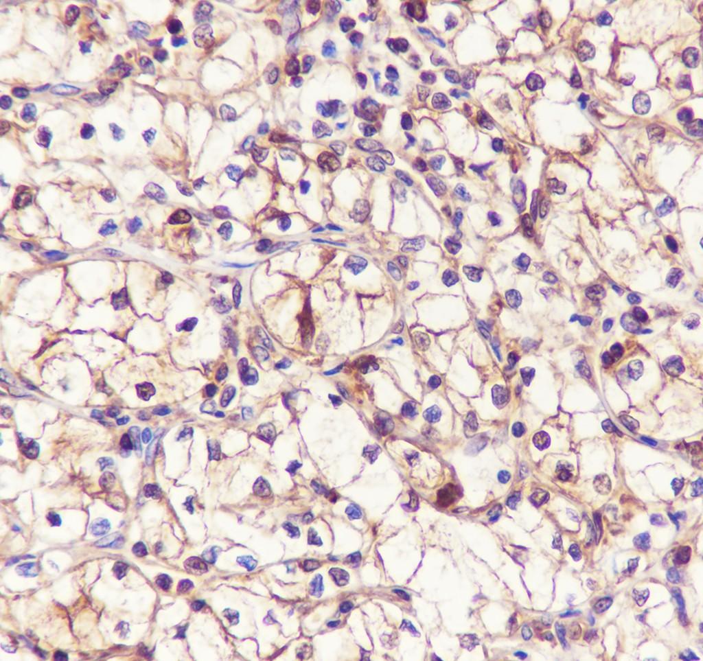
Verified Samples in WB: HeLa,?HepG2, NIH-3T3, Rat lung Verified Samples in IHC: Human pancreas, Human prostate hyperplasia, Human renal clear cell carcinoma |
| Dilution | WB 1:1000, IHC 1:500 |
| Isotype | IgG, κ |
| Host | Rabbit |
| Reactivity | Human, Rat, Mouse |
| Applications | WB, IHC |
| Clonality | Monoclonal;Recombinant |
| Immunogen | Peptide. This information is proprietary to PTMab. |
| Abbre | ATP Citrate Lyase |
| Synonyms | OTTHUMP, ACLY, ACL, ATPCL, CLATP, ATP citrate (pro-S) lyase, ATP citrate lyase, ATP citrate synthase, ATP-citrate (pro-S-)-lyase, ATPcitrate synthase, ATP-citrate synthase, Citrate cleavage enzyme, OTTHUMP00000164773 |
| Swissprot | |
| Calculated MW | 120 kDa |
| Observed MW |
125 kDa
The actual band is not consistent with the expectation.
Western blotting is a method for detecting a certain protein in a complex sample based on the specific binding of antigen and antibody. Different proteins can be divided into bands based on different mobility rates. The mobility is affected by many factors, which may cause the observed band size to be inconsistent with the expected size. The common factors include: 1. Post-translational modifications: For example, modifications such as glycosylation, phosphorylation, methylation, and acetylation will increase the molecular weight of the protein. 2. Splicing variants: Different expression patterns of various mRNA splicing bodies may produce proteins of different sizes. 3. Post-translational cleavage: Many proteins are first synthesized into precursor proteins and then cleaved to form active forms, such as COL1A1. 4. Relative charge: the composition of amino acids (the proportion of charged amino acids and uncharged amino acids). 5. Formation of multimers: For example, in protein dimer, strong interactions between proteins can cause the bands to be larger. However, the use of reducing conditions can usually avoid the formation of multimers. If a protein in a sample has different modified forms at the same time, multiple bands may be detected on the membrane. |
| Cellular Localization | Cytoplasm |
| Concentration | 1 mg/mL |
| Buffer | PBS, 50% glycerol, 0.05% Proclin 300, 0.05% protein protectant. |
| Purification Method | Protein A purified |
| Research Areas | Signal Transduction, Cancer, Metabolism |
| Clone | A772 |
| Conjugation | Unconjugated |
| Storage | Store at -20°C Valid for 12 months. Avoid freeze / thaw cycles. |
| Shipping | Ice bag |
| background | ATP-citrate lyase (ACL) is a homotetramer that catalyzes the formation of acetyl-CoA and oxaloacetate (OAA) in the cytosol, which is the keystep for the biosynthesis of fatty acids, cholesterol and acetylcholine, as well as for glucogenesis. Nutrients and hormones regulate theexpression level and phosphorylation of ATP-citrate lyase. It is phosphorylated by GSK-3 on Thr446 and Ser450. Ser455 of ATP-citrate lyasehas been reported to be phosphorylated by PKA and Akt. Phosphorylation on Ser455 abolishes the homotropic allosteric regulation by citrateand enhances the catalytic activity of the enzyme. |
| Cat.No. | Product Name | Clone No. |
|---|
-
IF:{{item.impact}}
Journal:{{item.journal}} ({{item.year}})
DOI:{{item.doi}}Reactivity:{{item.species}}
Sample Type:{{item.sample_type}}
-
Q{{(FAQpage.currentPage - 1)*pageSize+index+1}}:{{item.name}}
No files available. Please enter the correct identification code in the search area to query the relevant documents.
| Title | Status | Valid until | Action | |
|---|---|---|---|---|
| {{v.文件名}} | {{v.status_str}} | {{v.timestamp_str}} | Download | / |
*Note:Please download the relevant files within the validity period. After expiration, file preview and download will not be available on the page.

