Recombinant CD7 Monoclonal Antibody (AN301760L)
-
-
-
- +2
For research use only.
| Verified Samples |
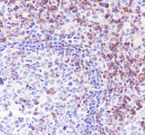
Verified Samples in WB: HepG2, MOLT4 Verified Samples in IHC: Human spleen, Human tonsil Verified Samples in IF: Jurkat Verified Samples in FCM: Jurkat |
| Dilution | WB 1:500-1:2000, IHC 1:200-1:1000, IF 1:50, FCM 1:50-1:100 |
| Isotype | IgG, κ |
| Host | Rabbit |
| Reactivity | Human |
| Applications | WB, IHC, IF, FCM |
| Clonality | Monoclonal;Recombinant |
| Immunogen | Recombinant human CD7 fragment |
| Abbre | CD7 |
| Synonyms | T cell antigen CD, T cell surface antigen Leu, LEU, CD7, GP40, LEU-9, TP41, Tp40, CD7 antigen, CD7 antigen (p41), CD7 molecule, CD7_HUMAN, LEU 9, LEU9, p41 protein, T cell antigen CD7, T cell leukemia antigen, T cell surface antigen Leu 9, T-cell antigen CD7, T-cell leukemia antigen, T-cell surface antigen Leu-9, Tp 40, CD7, CD7 antigen (p41), CD7 antigen, CD7 molecule, CD7_HUMAN, GP40, LEU 9, LEU9, p41 protein, T cell antigen CD7, T cell leukemia antigen, T cell surface antigen Leu 9, T-cell antigen CD7, T-cell leukemia antigen, T-cell surface antigen Leu-9, Tp 40, Tp40, TP41 |
| Swissprot | |
| Calculated MW | 25 kDa |
| Observed MW |
37-40 kDa
The actual band is not consistent with the expectation.
Western blotting is a method for detecting a certain protein in a complex sample based on the specific binding of antigen and antibody. Different proteins can be divided into bands based on different mobility rates. The mobility is affected by many factors, which may cause the observed band size to be inconsistent with the expected size. The common factors include: 1. Post-translational modifications: For example, modifications such as glycosylation, phosphorylation, methylation, and acetylation will increase the molecular weight of the protein. 2. Splicing variants: Different expression patterns of various mRNA splicing bodies may produce proteins of different sizes. 3. Post-translational cleavage: Many proteins are first synthesized into precursor proteins and then cleaved to form active forms, such as COL1A1. 4. Relative charge: the composition of amino acids (the proportion of charged amino acids and uncharged amino acids). 5. Formation of multimers: For example, in protein dimer, strong interactions between proteins can cause the bands to be larger. However, the use of reducing conditions can usually avoid the formation of multimers. If a protein in a sample has different modified forms at the same time, multiple bands may be detected on the membrane. |
| Cellular Localization | Cell membrane |
| Concentration | 1 mg/mL |
| Buffer | PBS, 50% glycerol, 0.05% Proclin 300, 0.05% protein protectant. |
| Purification Method | Protein A purified |
| Research Areas | Immunology |
| Clone | A468 |
| Conjugation | Unconjugated |
| Storage | Store at -20°C Valid for 12 months. Avoid freeze / thaw cycles. |
| Shipping | Ice bag |
| background | The CD7 antigen is a membrane-embedded glycoprotein with a molecular weight of 37-40 kDa and a member of the immunoglobulin supergene family. It plays an important role in T-cell and T-cell/B-cell interactions during early lymphoid development. CD7 is the earliest T-cell-associated molecule to appear in stem cells and prethymic stages and extends its expression all the way to the mature T cells. This molecule is also present on NK cells. In addition, the pluripotent bone marrow stem cells may express CD7. A subpopulation of AML, particularly those with monocytic or megakaryocytic differentiation, may express CD7. Lack of CD7 expression can be used for the detection of T-cell lymphoproliferative disorders, such as mycosis fungoides/Sezary syndrome and adult T-cell leukemia/lymphoma. However, normal and reactive T cells often demonstrate variable degree of CD7 loss. |
| Cat.No. | Product Name | Clone No. |
|---|
-
IF:{{item.impact}}
Journal:{{item.journal}} ({{item.year}})
DOI:{{item.doi}}Reactivity:{{item.species}}
Sample Type:{{item.sample_type}}
-
Q{{(FAQpage.currentPage - 1)*pageSize+index+1}}:{{item.name}}
No files available. Please enter the correct identification code in the search area to query the relevant documents.
| Title | Status | Valid until | Action | |
|---|---|---|---|---|
| {{v.文件名}} | {{v.status_str}} | {{v.timestamp_str}} | Download | / |
*Note:Please download the relevant files within the validity period. After expiration, file preview and download will not be available on the page.

