Recombinant CIRBP Monoclonal Antibody (AN302011L)
-
-
-
- +1
For research use only.
| Verified Samples |
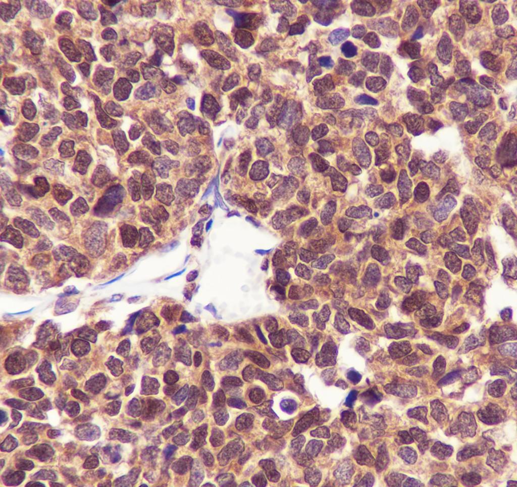
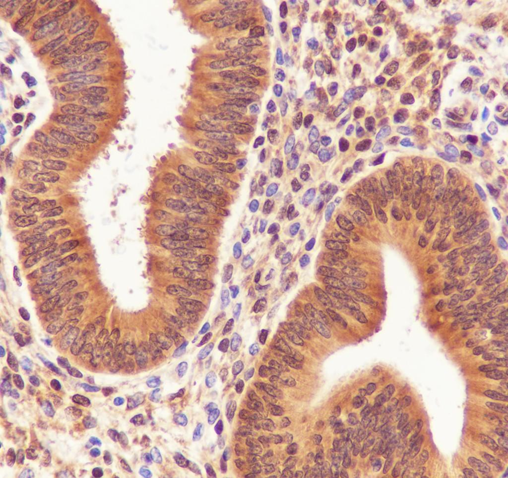
Verified Samples in WB: HEK-293,?SH-SY 5Y, SK-MEL-28 Verified Samples in IHC: Human endometrium, Human breast cancer Verified Samples in IF: 293T |
| Dilution | WB 1:1000, IHC 1:500-1:1000, IF 1:50 |
| Isotype | IgG, κ |
| Host | Rabbit |
| Reactivity | Human |
| Applications | WB, IHC, IF |
| Clonality | Monoclonal;Recombinant |
| Immunogen | Peptide. This information is proprietary to PTMab. |
| Abbre | CIRBP |
| Synonyms | CIRBP, CIRP, A18HNRNP |
| Swissprot | |
| Calculated MW | 19 kDa |
| Observed MW |
16 kDa
The actual band is not consistent with the expectation.
Western blotting is a method for detecting a certain protein in a complex sample based on the specific binding of antigen and antibody. Different proteins can be divided into bands based on different mobility rates. The mobility is affected by many factors, which may cause the observed band size to be inconsistent with the expected size. The common factors include: 1. Post-translational modifications: For example, modifications such as glycosylation, phosphorylation, methylation, and acetylation will increase the molecular weight of the protein. 2. Splicing variants: Different expression patterns of various mRNA splicing bodies may produce proteins of different sizes. 3. Post-translational cleavage: Many proteins are first synthesized into precursor proteins and then cleaved to form active forms, such as COL1A1. 4. Relative charge: the composition of amino acids (the proportion of charged amino acids and uncharged amino acids). 5. Formation of multimers: For example, in protein dimer, strong interactions between proteins can cause the bands to be larger. However, the use of reducing conditions can usually avoid the formation of multimers. If a protein in a sample has different modified forms at the same time, multiple bands may be detected on the membrane. |
| Cellular Localization | Cytoplasm, Nucleus |
| Concentration | 1 mg/mL |
| Buffer | PBS, 50% glycerol, 0.05% Proclin 300, 0.05% protein protectant. |
| Purification Method | Protein A purified |
| Research Areas | Epigenetics and Nuclear Signaling, Cell Biology |
| Clone | A731 |
| Conjugation | Unconjugated |
| Storage | Store at -20°C Valid for 12 months. Avoid freeze / thaw cycles. |
| Shipping | Ice bag |
| background | Cold-induced RNA-binding protein (CIRBP) is a 172-residue, multifunctional sensor protein that was first isolated as a protein induced in mouse fibroblasts cultured at 32ºC. Conversely, CIRBP expression decreases in cells or tissues subjected to increased temperature. The CIRBP protein is composed of an amino-terminal RNA-binding domain and a carboxyl-terminal, glycine-rich domain. Stressful stimuli, such as hypoxia, heat shock, osmotic shock, or oxidative conditions, lead to translocation of CIRBP from the nucleus to cytoplasmic stress granules through a mechanism involving CIRBP methylation-dependent nuclear export. CIRBP plays a role in regulating apoptosis and preserving the stemness of neural stem cells at moderately low temperatures. Research studies demonstrate that CIRBP contributes to the regulation of circadian rhythm through post-translational modulation of CLOCK expression. |
| Cat.No. | Product Name | Clone No. |
|---|
-
IF:{{item.impact}}
Journal:{{item.journal}} ({{item.year}})
DOI:{{item.doi}}Reactivity:{{item.species}}
Sample Type:{{item.sample_type}}
-
Q{{(FAQpage.currentPage - 1)*pageSize+index+1}}:{{item.name}}
No files available. Please enter the correct identification code in the search area to query the relevant documents.
| Title | Status | Valid until | Action | |
|---|---|---|---|---|
| {{v.文件名}} | {{v.status_str}} | {{v.timestamp_str}} | Download | / |
*Note:Please download the relevant files within the validity period. After expiration, file preview and download will not be available on the page.

