Recombinant DR5 Monoclonal Antibody (AN301856L)
For research use only.
| Verified Samples |
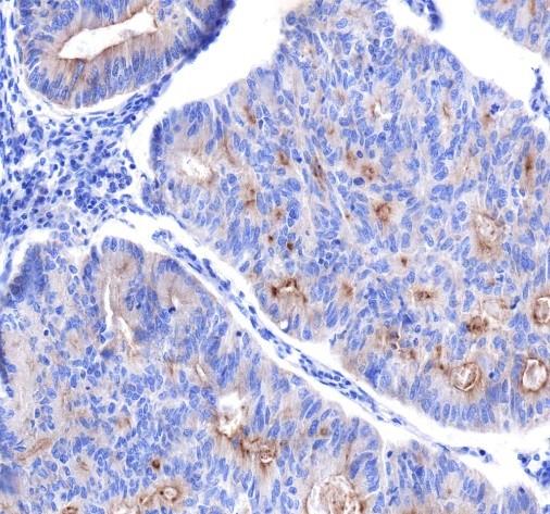
Verified Samples in WB: K562, HT-1080, HeLa, HCT-116, LNCaP Verified Samples in IHC: Human colon cancer, Human endometrial cancer |
| Dilution | WB 1:1000-1:5000, IHC 1:200-1:1000 |
| Isotype | IgG, κ |
| Host | Rabbit |
| Reactivity | Human |
| Applications | WB, IHC |
| Clonality | Monoclonal;Recombinant |
| Immunogen | Recombinant human DR5 fragment |
| Abbre | DR5 |
| Synonyms | UNQ, PRO, Death Receptor, TRAIL Receptor, TNF-Related Apoptosis-Inducing Ligand Receptor, TRICK, ZTNFR, TRAILR, TRAIL-R, KILLER/DR, CD262, DR5, KILLER, KILLER/DR5, TRAIL-R2, TRAILR2, TRICK2, TRICK2A, TRICK2B, TRICKB, ZTNFR9, TNFRSF10B, Death Receptor 5, TNF-Related Apoptosis-Inducing Ligand Receptor 2, TRAIL Receptor 2, Tumor Necrosis Factor Receptor Superfamily Member 10B, UNQ160, PRO186, DR5, KILLER, TNFRSF10b |
| Swissprot | |
| Calculated MW | 48 kDa |
| Observed MW |
40,48 kDa
The actual band is not consistent with the expectation.
Western blotting is a method for detecting a certain protein in a complex sample based on the specific binding of antigen and antibody. Different proteins can be divided into bands based on different mobility rates. The mobility is affected by many factors, which may cause the observed band size to be inconsistent with the expected size. The common factors include: 1. Post-translational modifications: For example, modifications such as glycosylation, phosphorylation, methylation, and acetylation will increase the molecular weight of the protein. 2. Splicing variants: Different expression patterns of various mRNA splicing bodies may produce proteins of different sizes. 3. Post-translational cleavage: Many proteins are first synthesized into precursor proteins and then cleaved to form active forms, such as COL1A1. 4. Relative charge: the composition of amino acids (the proportion of charged amino acids and uncharged amino acids). 5. Formation of multimers: For example, in protein dimer, strong interactions between proteins can cause the bands to be larger. However, the use of reducing conditions can usually avoid the formation of multimers. If a protein in a sample has different modified forms at the same time, multiple bands may be detected on the membrane. |
| Cellular Localization | Cytoplasm, Membrane |
| Concentration | 1 mg/mL |
| Buffer | PBS, 50% glycerol, 0.05% Proclin 300, 0.05% protein protectant. |
| Purification Method | Protein A purified |
| Research Areas | Cell Biology, Signal Transduction, Cancer, Cardiovascular |
| Clone | A568 |
| Conjugation | Unconjugated |
| Storage | Store at -20°C Valid for 12 months. Avoid freeze / thaw cycles. |
| Shipping | Ice bag |
| background | DR5, also known as CD262, TNFRSF10B, TRAILR2, TRICK2 and KILLER, is a widely expressed single-pass type I membrane protein belonging to the tumour necrosis factor receptor superfamily (TNFRSF). It is a receptor for TNF-related apoptosis-inducing ligand (TRAIL), which is a member of the tumor necrosis factor (TNF) family of cytokines and induces apoptosis in a wide variety of cells. DR5 contains two extracellular cysteine-rich repeats, typical for TNF receptor (TNFR) family members, and a cytoplasmic death domain (DD), through which DR5 is capable to transmit the apoptotic signal. In PDAC cells, especially Panc89 cells, it expresses additionally to the approximately 48 and 40 kDa forms of DR5, a faster migrating variant of DR5 of about 32 kDa. The TRAIL receptor 2 (death receptor 5, or DR5) forms receptor dimers in a ligand-dependent manner. |
| Cat.No. | Product Name | Clone No. |
|---|
-
IF:{{item.impact}}
Journal:{{item.journal}} ({{item.year}})
DOI:{{item.doi}}Reactivity:{{item.species}}
Sample Type:{{item.sample_type}}
-
Q{{(FAQpage.currentPage - 1)*pageSize+index+1}}:{{item.name}}
No files available. Please enter the correct identification code in the search area to query the relevant documents.
| Title | Status | Valid until | Action | |
|---|---|---|---|---|
| {{v.文件名}} | {{v.status_str}} | {{v.timestamp_str}} | Download | / |
*Note:Please download the relevant files within the validity period. After expiration, file preview and download will not be available on the page.

