Recombinant eIF4A2 Monoclonal Antibody (AN302068L)
-
-
-
- +4
For research use only.
| Verified Samples |
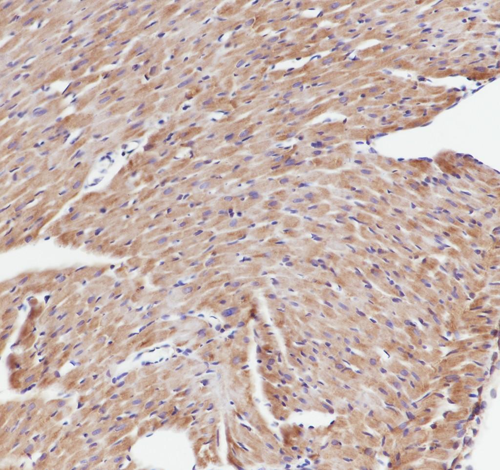
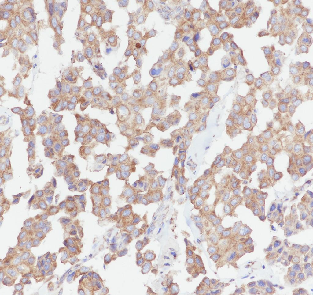
Verified Samples in WB: 293T,?MCF-7, HeLa, RAW264.7, PC-12 Verified Samples in IHC: Human cerebrum, Human breast cancer, Mouse liver, Rat cardiac muscle Verified Samples in IP: 293T cells extracts |
| Dilution | WB 1:10000-1:20000, IHC 1:200-1:1000, IP 1:50-1:100 |
| Isotype | IgG, κ |
| Host | Rabbit |
| Reactivity | Human, Rat, Mouse |
| Applications | WB, IHC, IP |
| Clonality | Monoclonal;Recombinant |
| Immunogen | Peptide. This information is proprietary to PTMab. |
| Abbre | eIF4A2 |
| Synonyms | EIF4A2, BM-010, DDX2B, EIF4A, EIF4F, eIF-4A-II, eIF4A-II, ATP dependent RNA helicase eIF4A 2, ATP-dependent RNA helicase eIF4A-2, eIF 4A II, eIF4A II, Eukaryotic initiation factor 4A II, Eukaryotic initiation factor 4A-II, eukaryotic translation initiation factor 4A isoform 2, Eukaryotic translation initiation factor 4A2, IF4A2, N-terminally processed |
| Swissprot | |
| Calculated MW | 46 kDa |
| Observed MW |
48 kDa
The actual band is not consistent with the expectation.
Western blotting is a method for detecting a certain protein in a complex sample based on the specific binding of antigen and antibody. Different proteins can be divided into bands based on different mobility rates. The mobility is affected by many factors, which may cause the observed band size to be inconsistent with the expected size. The common factors include: 1. Post-translational modifications: For example, modifications such as glycosylation, phosphorylation, methylation, and acetylation will increase the molecular weight of the protein. 2. Splicing variants: Different expression patterns of various mRNA splicing bodies may produce proteins of different sizes. 3. Post-translational cleavage: Many proteins are first synthesized into precursor proteins and then cleaved to form active forms, such as COL1A1. 4. Relative charge: the composition of amino acids (the proportion of charged amino acids and uncharged amino acids). 5. Formation of multimers: For example, in protein dimer, strong interactions between proteins can cause the bands to be larger. However, the use of reducing conditions can usually avoid the formation of multimers. If a protein in a sample has different modified forms at the same time, multiple bands may be detected on the membrane. |
| Cellular Localization | Nucleus |
| Concentration | 1 mg/mL |
| Buffer | PBS, 50% glycerol, 0.05% Proclin 300, 0.05% protein protectant. |
| Purification Method | Protein A purified |
| Research Areas | Epigenetics and Nuclear Signaling |
| Clone No. | A788 |
| Conjugation | Unconjugated |
| Storage | Store at -20°C Valid for 12 months. Avoid freeze / thaw cycles. |
| Shipping | Ice bag |
| background | Eukaryotic initiation factor 4A (eIF4A) has an essential role in the binding of mRNA to the 43S preinitiation complex when protein synthesisbegins, as eIF4A unwinds RNA secondary structures in the 5'-UTR of mRNAs which is necessary to allow efficient binding of the smallribosomal subunit, and subsequent scanning for the initiator codon. |
Other Clones
{{antibodyDetailsPage.numTotal}} Results
-
{{item.title}}
Citations ({{item.publications_count}}) Manual MSDS
Cat.No.:{{item.cat}}
{{index}} {{goods_show_value}}
Other Formats
{{formatDetailsPage.numTotal}} Results
Unconjugated
-
{{item.title}}
Citations ({{item.publications_count}}) Manual MSDS
Cat.No.:{{item.cat}}
{{index}} {{goods_show_value}}
-
IF:{{item.impact}}
Journal:{{item.journal}} ({{item.year}})
DOI:{{item.doi}}Reactivity:{{item.species}}
Sample Type:{{item.organization}}
-
Q{{(FAQpage.currentPage - 1)*pageSize+index+1}}:{{item.name}}

