Recombinant GABA A Receptor alpha 1 Monoclonal Antibody (AN301811L)
-
-
-
- +1
For research use only.
| Verified Samples |
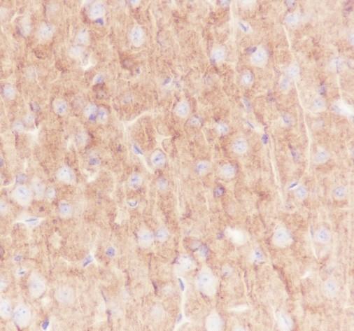
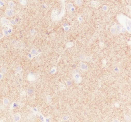
Verified Samples in WB: Mouse hippocampus, Mouse brain, Mouse cerebellum, Rat cerebellum Verified Samples in IHC: Human cerebrum, Mouse cerebrum, Rat cerebrum |
| Dilution | WB 1:500-1:2000, IHC 1:50-1:100 |
| Isotype | IgG, κ |
| Host | Rabbit |
| Reactivity | Human, Rat, Mouse |
| Applications | WB, IHC |
| Clonality | Monoclonal;Recombinant |
| Immunogen | Recombinant human GABA A Receptor alpha 1 fragment |
| Abbre | GABA A Receptor alpha 1 |
| Synonyms | Gabra-1, Gabra1 |
| Swissprot | |
| Calculated MW | 52 kDa |
| Observed MW |
52 kDa
Western blotting is a method for detecting a certain protein in a complex sample based on the specific binding of antigen and antibody. Different proteins can be divided into bands based on different mobility rates. The mobility is affected by many factors, which may cause the observed band size to be inconsistent with the expected size. The common factors include: 1. Post-translational modifications: For example, modifications such as glycosylation, phosphorylation, methylation, and acetylation will increase the molecular weight of the protein. 2. Splicing variants: Different expression patterns of various mRNA splicing bodies may produce proteins of different sizes. 3. Post-translational cleavage: Many proteins are first synthesized into precursor proteins and then cleaved to form active forms, such as COL1A1. 4. Relative charge: the composition of amino acids (the proportion of charged amino acids and uncharged amino acids). 5. Formation of multimers: For example, in protein dimer, strong interactions between proteins can cause the bands to be larger. However, the use of reducing conditions can usually avoid the formation of multimers. If a protein in a sample has different modified forms at the same time, multiple bands may be detected on the membrane. |
| Cellular Localization | Cell membrane, Cell junction |
| Concentration | 1 mg/mL |
| Buffer | PBS, 50% glycerol, 0.05% Proclin 300, 0.05% protein protectant. |
| Purification Method | Protein A purified |
| Clone No. | A523 |
| Conjugation | Unconjugated |
| Storage | Store at -20°C Valid for 12 months. Avoid freeze / thaw cycles. |
| Shipping | Ice bag |
| background | GABA A Receptor alpha 1 is a subunit of the GABA A receptor protein. GABA A receptor consists of different combinations of five protein subunits, each produced from a different gene. These subunits form a hole (pore) in the cell membrane through which negatively charged chlorine atoms (chloride ions) can flow. A chemical that transmits signals in the brain (a neurotransmitter) called gamma-amino butyric acid (GABA) attaches to GABA A receptors. Once GABA attaches, the pore formed by the subunits opens, and chloride ions flow across the cell membrane. After infancy, chloride ions flow into the cell through the open pore, which creates an environment in the cell that blocks (inhibits) signaling between neurons. The primary role of GABA in children and adults is to prevent the brain from being overloaded with too many signals. In contrast, in newborns and infants, chloride ions flow out of the cell when the pore is opened, creating an environment that allows signaling between neurons. |
| Cat.No. | Product Name | Clone No. |
|---|
-
IF:{{item.impact}}
Journal:{{item.journal}} ({{item.year}})
DOI:{{item.doi}}Reactivity:{{item.species}}
Sample Type:{{item.sample_type}}
-
Q{{(FAQpage.currentPage - 1)*pageSize+index+1}}:{{item.name}}

