Recombinant GABA B Receptor 1 Monoclonal Antibody (AN301934L)
For research use only.
| Verified Samples |
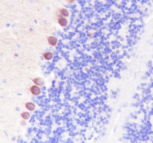
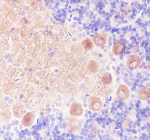
Verified Samples in WB: Mouse skeletal muscle(-), Mouse cerebellum, Rat skeletal muscle(-), Rat cerebellum Verified Samples in IHC: Mouse cerebellum, Rat cerebellum |
| Dilution | WB 1:1000, IHC 1:200-1000 |
| Isotype | IgG, κ |
| Host | Rabbit |
| Reactivity | Rat, Mouse |
| Applications | WB, IHC |
| Clonality | Monoclonal;Recombinant |
| Immunogen | Recombinant human GABA B Receptor 1 fragment |
| Abbre | GABA B Receptor 1 |
| Synonyms | GABBR, GABABR, GABBR1, GABABR1, GABBR1-3, GB1, GPRC3A |
| Swissprot | |
| Calculated MW | 108 kDa |
| Observed MW |
108 kDa
Western blotting is a method for detecting a certain protein in a complex sample based on the specific binding of antigen and antibody. Different proteins can be divided into bands based on different mobility rates. The mobility is affected by many factors, which may cause the observed band size to be inconsistent with the expected size. The common factors include: 1. Post-translational modifications: For example, modifications such as glycosylation, phosphorylation, methylation, and acetylation will increase the molecular weight of the protein. 2. Splicing variants: Different expression patterns of various mRNA splicing bodies may produce proteins of different sizes. 3. Post-translational cleavage: Many proteins are first synthesized into precursor proteins and then cleaved to form active forms, such as COL1A1. 4. Relative charge: the composition of amino acids (the proportion of charged amino acids and uncharged amino acids). 5. Formation of multimers: For example, in protein dimer, strong interactions between proteins can cause the bands to be larger. However, the use of reducing conditions can usually avoid the formation of multimers. If a protein in a sample has different modified forms at the same time, multiple bands may be detected on the membrane. |
| Cellular Localization | Cytoplasm |
| Concentration | 1 mg/mL |
| Buffer | PBS, 50% glycerol, 0.05% Proclin 300, 0.05% protein protectant. |
| Purification Method | Protein A purified |
| Research Areas | Neuroscience |
| Clone | A650 |
| Conjugation | Unconjugated |
| Storage | Store at -20°C Valid for 12 months. Avoid freeze / thaw cycles. |
| Shipping | Ice bag |
| background | GABA (γ-aminobutyric acid) is the primary inhibitory neurotransmitter in the central nervous system and interacts with three different receptors: GABA(A), GABA(B) and GABA(C) receptor. The metabotropic GABA(B) receptor is coupled to G proteins that modulate slow inhibitory synaptic transmission. Functional GABA(B) receptors form heterodimers of GABA(B)R1 and GABA(B)R2 where GABA(B)R1 binds the ligand and GABA(B)R2 is the primary G protein contact site. GABA(B)R1 has two isoforms: GABA(B)R1a and GABA(B)R1b. GABA(B)R1a is a 130 kD protein and GABA(B)R1b is a 95 kD protein. G proteins subsequently inhibit adenyl cylase activity and modulate inositol phospholipid hydrolysis. GABA(B) receptors have both pre- and postsynaptic inhibitions: presynaptic GABA(B) receptors inhibit neurotransmitter release through suppression of high threshold calcium channels, while postsynaptic GABA(B) receptors inhibit through coupled activation of inwardly rectifying potassium channels. In addition to synaptic inhibition, GABA(B) receptors may also be involved in hippocampal long-term potentiation, slow wave sleep and muscle relaxation. |
| Cat.No. | Product Name | Clone No. |
|---|
-
IF:{{item.impact}}
Journal:{{item.journal}} ({{item.year}})
DOI:{{item.doi}}Reactivity:{{item.species}}
Sample Type:{{item.sample_type}}
-
Q{{(FAQpage.currentPage - 1)*pageSize+index+1}}:{{item.name}}
No files available. Please enter the correct identification code in the search area to query the relevant documents.
| Title | Status | Valid until | Action | |
|---|---|---|---|---|
| {{v.文件名}} | {{v.status_str}} | {{v.timestamp_str}} | Download | / |
*Note:Please download the relevant files within the validity period. After expiration, file preview and download will not be available on the page.

