Recombinant GST3/GSTP1 Monoclonal Antibody (AN301543L)
-
-
-
- +2
For research use only.
| Verified Samples |
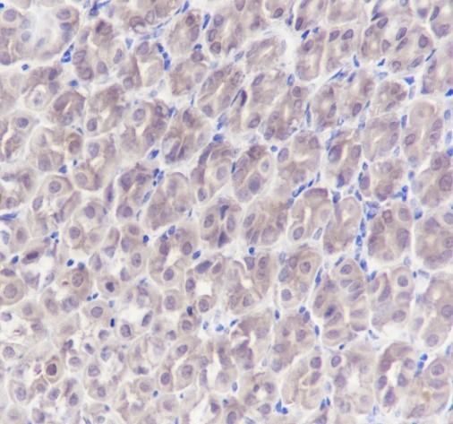
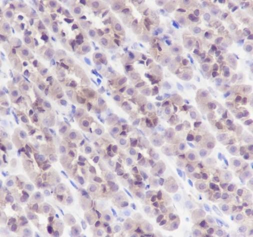
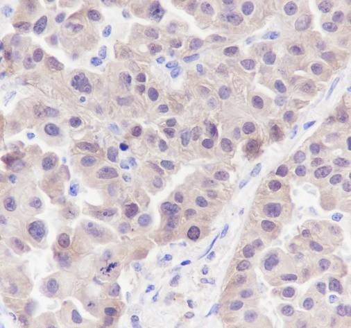
Verified Samples in WB: PC-3, K562 Verified Samples in IHC: Human lung adenocarcinoma, Mouse stomach, Rat stomach Verified Samples in IF: K562 |
| Dilution | WB 1:2000-1:10000, IHC 1:50-1:100, IF 1:50 |
| Isotype | IgG, κ |
| Host | Rabbit |
| Reactivity | Human, Rat, Mouse |
| Applications | WB, IHC, IF |
| Clonality | Monoclonal;Recombinant |
| Immunogen | Recombinant human GST3/GSTP1 fragment |
| Abbre | GST3/GSTP1 |
| Synonyms | GST, DFN, GST3 / GSTP, Deafness X-linked, Glutathione S Transferase, FAEES, HEL-S, X linked, DFN7, FAEES3, GST3, GSTP, HEL-S-22, PI, GST3 / GSTP1, GSTP1, Deafness, Deafness X-linked 7, Fatty Acid Ethyl Ester Synthase III, Glutathione S Transferase 3, Glutathione S-transferase P, GST class-pi, GSTP1-1, X linked 7, Deafness X-linked 7, DFN7, FAEES3, Fatty Acid Ethyl Ester Synthase III, Glutathione S Transferase 3, GST class-pi, GST3, GSTP, Gstp1, X linked 7, Glutathione S Transferase Pi, glutathione S-transferase pi 1 |
| Swissprot | |
| Calculated MW | 25 kDa |
| Observed MW |
25 kDa
Western blotting is a method for detecting a certain protein in a complex sample based on the specific binding of antigen and antibody. Different proteins can be divided into bands based on different mobility rates. The mobility is affected by many factors, which may cause the observed band size to be inconsistent with the expected size. The common factors include: 1. Post-translational modifications: For example, modifications such as glycosylation, phosphorylation, methylation, and acetylation will increase the molecular weight of the protein. 2. Splicing variants: Different expression patterns of various mRNA splicing bodies may produce proteins of different sizes. 3. Post-translational cleavage: Many proteins are first synthesized into precursor proteins and then cleaved to form active forms, such as COL1A1. 4. Relative charge: the composition of amino acids (the proportion of charged amino acids and uncharged amino acids). 5. Formation of multimers: For example, in protein dimer, strong interactions between proteins can cause the bands to be larger. However, the use of reducing conditions can usually avoid the formation of multimers. If a protein in a sample has different modified forms at the same time, multiple bands may be detected on the membrane. |
| Cellular Localization | Cytoplasm, Mitochondrion, Nucleus |
| Concentration | 1 mg/mL |
| Buffer | PBS, 50% glycerol, 0.05% Proclin 300, 0.05% protein protectant. |
| Purification Method | Protein A purified |
| Research Areas | Cardiovascular, Neuroscience, Metabolism |
| Clone | A242 |
| Conjugation | Unconjugated |
| Storage | Store at -20°C Valid for 12 months. Avoid freeze / thaw cycles. |
| Shipping | Ice bag |
| background | Conjugation of reduced glutathione to a wide number of exogenous and endogenous hydrophobic electrophiles. Involved in the formation of glutathione conjugates of both prostaglandin A2 (PGA2) and prostaglandin J2 (PGJ2). Participates in the formation of novel hepoxilin regioisomers. Regulates negatively CDK5 activity via p25/p35 translocation to prevent neurodegeneration. |
| Cat.No. | Product Name | Clone No. |
|---|
-
IF:{{item.impact}}
Journal:{{item.journal}} ({{item.year}})
DOI:{{item.doi}}Reactivity:{{item.species}}
Sample Type:{{item.sample_type}}
-
Q{{(FAQpage.currentPage - 1)*pageSize+index+1}}:{{item.name}}
No files available. Please enter the correct identification code in the search area to query the relevant documents.
| Title | Status | Valid until | Action | |
|---|---|---|---|---|
| {{v.文件名}} | {{v.status_str}} | {{v.timestamp_str}} | Download | / |
*Note:Please download the relevant files within the validity period. After expiration, file preview and download will not be available on the page.

