Recombinant Histone H2B (Ubiquityl Lys120) Monoclonal Antibody (AN302107L)
-
-
-
- +1
For research use only.
| Verified Samples |
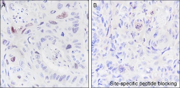
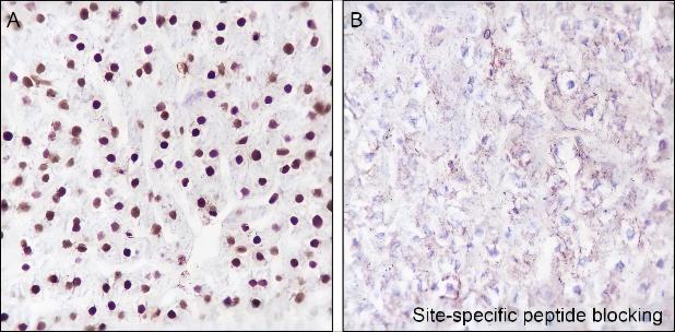
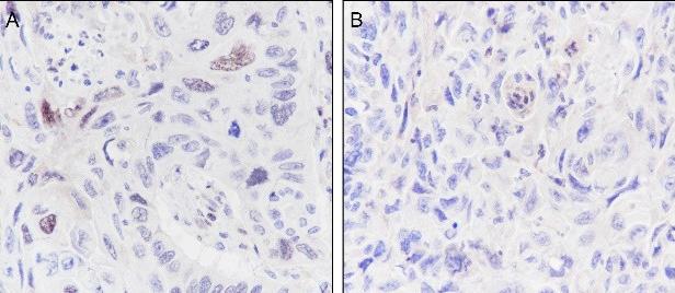
Verified Samples in WB: HeLa, N2a, BRL, Mouse liver, Mouse kidney Verified Samples in IHC: Human lung squamous carcinoma, Rat liver, Mouse liver |
| Dilution | WB 1:500-1:2000, IHC 1:200-1:1000 |
| Isotype | IgG, κ |
| Host | Rabbit |
| Reactivity | Human, Rat, Mouse |
| Applications | WB, IHC |
| Clonality | Monoclonal;Recombinant |
| Immunogen | Ubiquitinated human histone H2B (Lys120) peptide |
| Abbre | Histone H2B |
| Synonyms | HIST1H2BG, H2B.1A, H2B/a, H2BFA, H2BFL, HIST1H2BC, H2BFH, HIST1H2BE, H2BFG, HIST1H2BF, H2BFK, HIST1H2BI, H2BC4, H2BC6, H2BC7, H2BC8, H2BC10 |
| Swissprot | |
| Calculated MW | 23 kDa |
| Observed MW |
23 kDa
Western blotting is a method for detecting a certain protein in a complex sample based on the specific binding of antigen and antibody. Different proteins can be divided into bands based on different mobility rates. The mobility is affected by many factors, which may cause the observed band size to be inconsistent with the expected size. The common factors include: 1. Post-translational modifications: For example, modifications such as glycosylation, phosphorylation, methylation, and acetylation will increase the molecular weight of the protein. 2. Splicing variants: Different expression patterns of various mRNA splicing bodies may produce proteins of different sizes. 3. Post-translational cleavage: Many proteins are first synthesized into precursor proteins and then cleaved to form active forms, such as COL1A1. 4. Relative charge: the composition of amino acids (the proportion of charged amino acids and uncharged amino acids). 5. Formation of multimers: For example, in protein dimer, strong interactions between proteins can cause the bands to be larger. However, the use of reducing conditions can usually avoid the formation of multimers. If a protein in a sample has different modified forms at the same time, multiple bands may be detected on the membrane. |
| Cellular Localization | Nucleus |
| Concentration | 1 mg/mL |
| Buffer | PBS, 50% glycerol, 0.05% Proclin 300, 0.05% protein protectant. |
| Purification Method | Protein A purified |
| Research Areas | Epigenetics and Nuclear Signaling |
| Clone No. | A831 |
| Conjugation | Unconjugated |
| Storage | Store at -20°C Valid for 12 months. Avoid freeze / thaw cycles. |
| Shipping | Ice bag |
| background | Ubiquitin (Ub) is a highly conserved 76-amino acid protein that plays a critical role in regulating a wide range of cellular processes. Through a three-step process involving Ub-activating (E1), Ub-conjugating (E2), and Ub-ligating (E3) enzymes, ubiquitin covalently attaches to target proteins and marks them for proteasomal degradation, alters protein-protein interactions, modulates membrane protein trafficking, and controls the activity of many signal transduction pathways. Mono-ubiquitination of Histone H2B at Lys120 (H2BK120ub) serves signaling purposes and is reversible by ubiquitin-specific proteases (USPs). The enzymes responsible for H2BK120ub are Rad6 E2 proteins (HR6A and HR6B in human) and Bre1 E3 ligase (RNF20 and RNF40 in human). This modification triggers a “trans-histone” modification cascade, resulting in trimethylation of Lys4 and Lys79 in histone H3, which promotes gene activity. |
Other Clones
{{antibodyDetailsPage.numTotal}} Results
-
{{item.title}}
Citations ({{item.publications_count}}) Manual MSDS
Cat.No.:{{item.cat}}
{{index}} {{goods_show_value}}
Other Formats
{{formatDetailsPage.numTotal}} Results
Unconjugated
-
{{item.title}}
Citations ({{item.publications_count}}) Manual MSDS
Cat.No.:{{item.cat}}
{{index}} {{goods_show_value}}
-
IF:{{item.impact}}
Journal:{{item.journal}} ({{item.year}})
DOI:{{item.doi}}Reactivity:{{item.species}}
Sample Type:{{item.organization}}
-
Q{{(FAQpage.currentPage - 1)*pageSize+index+1}}:{{item.name}}

