Recombinant Histone H4 (Mono Methyl Lys12) Monoclonal Antibody (AN302114L)
-
-
-
- +6
For research use only.
| Verified Samples |
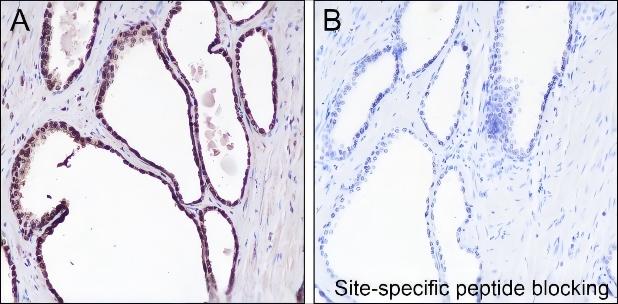
Verified Samples in WB: HeLa, NIH-3T3, BRL, Mouse heart, Rat heart, Mouse kidney, Rat kidney, Recombinant Histone H4 Verified Samples in IHC: Human prostate hyperplasia, Mouse liver, Rat stomach Verified Samples in IF: HeLa, NIH-3T3 Verified Samples in FCM: HeLa Verified Samples in IP: HeLa cells extracts Verified Samples in ChIP: HeLa |
| Dilution | WB 1:500-1:2000, IHC 1:100-1:500, IF 1:50-1:200, FCM 1:50, ChIP 6 μg/5×106 cells, IP 1:25-1:50 |
| Isotype | IgG, κ |
| Host | Rabbit |
| Reactivity | Human, Rat, Mouse |
| Applications | WB, IHC, IF, FCM, IP, ChIP |
| Clonality | Monoclonal;Recombinant |
| Immunogen | Monomethylated human histone H4 (Lys12) peptide |
| Abbre | Histone H4 (Mono Methyl Lys12) |
| Synonyms | H4F, methyl histone H, methylated histone H, HIST2H, HIST1H, HISTH4H, histone H, HIST2H4B, H4/o, histone H4, HIST1H4A, FO108, H4/p, HIST1H4, Hist4h4, HISTH4H4, methyl histone H4, methylated histone H4, H4/A, H4FA, H4/I, H4FI, HIST1H4B, H4/G, H4FG, HIST1H4C, H4/B, H4FB, HIST1H4D, H4/J, H4FJ, HIST1H4E, H4/C, H4FC, HIST1H4F, H4/H, H4FH, HIST1H4H, H4/M, H4FM, HIST1H4I, H4/E, H4FE, H4/D, H4FD, HIST1H4K, H4/K, H4FK, HIST1H4L, H4/N, H4F2, H4FN, HIST2H4, HIST2H4A, H4, H4C1, H4C2, H4C3, H4C4, H4C5, H4C6, H4C8, H4C9, H4C11, H4C12, H4C13, H4C14, H4C15, H4-16, A, I, H4B, H4J, H4H, H4M, H4E, HIST1H4J, H4D, H4C, H4/p, histone H4, HIST1H4B H4/I |
| Swissprot | |
| Calculated MW | 11 kDa |
| Observed MW |
11 kDa
Western blotting is a method for detecting a certain protein in a complex sample based on the specific binding of antigen and antibody. Different proteins can be divided into bands based on different mobility rates. The mobility is affected by many factors, which may cause the observed band size to be inconsistent with the expected size. The common factors include: 1. Post-translational modifications: For example, modifications such as glycosylation, phosphorylation, methylation, and acetylation will increase the molecular weight of the protein. 2. Splicing variants: Different expression patterns of various mRNA splicing bodies may produce proteins of different sizes. 3. Post-translational cleavage: Many proteins are first synthesized into precursor proteins and then cleaved to form active forms, such as COL1A1. 4. Relative charge: the composition of amino acids (the proportion of charged amino acids and uncharged amino acids). 5. Formation of multimers: For example, in protein dimer, strong interactions between proteins can cause the bands to be larger. However, the use of reducing conditions can usually avoid the formation of multimers. If a protein in a sample has different modified forms at the same time, multiple bands may be detected on the membrane. |
| Cellular Localization | Nucleus |
| Concentration | 1 mg/mL |
| Buffer | PBS, 50% glycerol, 0.05% Proclin 300, 0.05% protein protectant. |
| Purification Method | Protein A purified |
| Research Areas | Epigenetics and Nuclear Signaling |
| Clone No. | A838 |
| Conjugation | Unconjugated |
| Storage | Store at -20°C Valid for 12 months. Avoid freeze / thaw cycles. |
| Shipping | Ice bag |
| background | The amino-terminal tails of core histones undergo lysine methylation in multiple sites, termed as “histone code” or “epigenetic code”. Lysine methylation in core histones is a major determinant for the formation of active and inactive regions of the genome and therefore plays vital roles in multiple cellular events. In most species, lysine methylation occurs primarily on histones H3 (Lys4, 9, 27, 36, 79) and H4 (Lys5, 8, 12, 20) and has been implicated in both transcriptional activation and silencing. Methylation in histones modulated by specific histone methyltransferases (HMTs) and histone demethylases (HDMs) is impaired in the pathologies of cancer and other diseases and therefore, enzymes regulating histone lysine methylation have become promising targets for anti-cancer drugs. |
Other Clones
{{antibodyDetailsPage.numTotal}} Results
-
{{item.title}}
Citations ({{item.publications_count}}) Manual MSDS
Cat.No.:{{item.cat}}
{{index}} {{goods_show_value}}
Other Formats
{{formatDetailsPage.numTotal}} Results
Unconjugated
-
{{item.title}}
Citations ({{item.publications_count}}) Manual MSDS
Cat.No.:{{item.cat}}
{{index}} {{goods_show_value}}
-
IF:{{item.impact}}
Journal:{{item.journal}} ({{item.year}})
DOI:{{item.doi}}Reactivity:{{item.species}}
Sample Type:{{item.organization}}
-
Q{{(FAQpage.currentPage - 1)*pageSize+index+1}}:{{item.name}}

