Recombinant IL-1RA Monoclonal Antibody (AN301912L)
-
-
-
- +1
For research use only.
| Verified Samples |
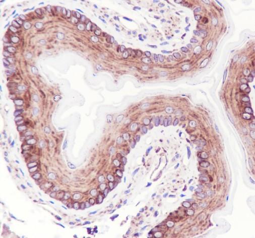
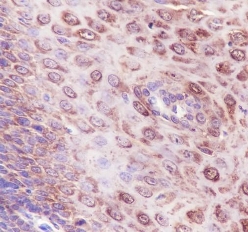
Verified Samples in WB: HeLa, SW480, NIH/3T3 Verified Samples in IHC: Human esophagus, Mouse esophagus Verified Samples in IF: HeLa |
| Dilution | WB 1:1000-1:2000, IHC 1:50-1:200, IF 1:50-1:100 |
| Isotype | IgG, κ |
| Host | Rabbit |
| Reactivity | Human, Mouse |
| Applications | WB, IHC, IF |
| Clonality | Monoclonal;Recombinant |
| Immunogen | Recombinant human IL-1RA fragment |
| Abbre | IL-1RA |
| Synonyms | IL1F, MVCD, IL1RN, DIRA, ICIL-1RA, IL-1RN, IL-1ra, IL-1ra3, IL1F3, IL1RA, IRAP, MVCD4, Anakinra, IL1 inhibitor, Interleukin-1 receptor antagonist protein, F630041P17Rik, ICIL 1RA, ICIL1RA, IL1RN (IL1F3), Interleukin 1 receptor antagonist, Intracellular IL 1 receptor antagonist type II, Intracellular interleukin 1 receptor antagonist (icIL 1ra), MGC10430, Type II interleukin 1 receptor antagonist |
| Swissprot | |
| Calculated MW | 20 kDa |
| Observed MW |
22 kDa
The actual band is not consistent with the expectation.
Western blotting is a method for detecting a certain protein in a complex sample based on the specific binding of antigen and antibody. Different proteins can be divided into bands based on different mobility rates. The mobility is affected by many factors, which may cause the observed band size to be inconsistent with the expected size. The common factors include: 1. Post-translational modifications: For example, modifications such as glycosylation, phosphorylation, methylation, and acetylation will increase the molecular weight of the protein. 2. Splicing variants: Different expression patterns of various mRNA splicing bodies may produce proteins of different sizes. 3. Post-translational cleavage: Many proteins are first synthesized into precursor proteins and then cleaved to form active forms, such as COL1A1. 4. Relative charge: the composition of amino acids (the proportion of charged amino acids and uncharged amino acids). 5. Formation of multimers: For example, in protein dimer, strong interactions between proteins can cause the bands to be larger. However, the use of reducing conditions can usually avoid the formation of multimers. If a protein in a sample has different modified forms at the same time, multiple bands may be detected on the membrane. |
| Cellular Localization | Cytoplasm, Secreted |
| Concentration | 1 mg/mL |
| Buffer | PBS, 50% glycerol, 0.05% Proclin 300, 0.05% protein protectant. |
| Purification Method | Protein A purified |
| Research Areas | Immunology |
| Clone No. | A628 |
| Conjugation | Unconjugated |
| Storage | Store at -20°C Valid for 12 months. Avoid freeze / thaw cycles. |
| Shipping | Ice bag |
| background | The founding members of the interleukin-1 (IL-1) superfamily include pro-inflammatory cytokines IL-1α, IL-1β and IL-1 receptor antagonist (IL-1RA). At least six similar proteins have been recently identified, including a homolog of IL-1RA (IL1F5). IL-1a, IL-1b and IL-1RA are mainly expressed in macrophages, monocytes, and dendritic cells. IL-1RA acts as an anti-inflammatory cytokine, binding the IL-1 receptor to limit the response to inflammation. Because it plays a key role in regulating the inflammatory response, recombinant IL-1RA is a therapeutic agent used in the treatment of diseases such as rheumatoid arthritis. Alternatively, mutation of the corresponding IL-1RA gene may be associated with susceptibility to the development of specific cancers. |
Other Clones
{{antibodyDetailsPage.numTotal}} Results
-
{{item.title}}
Citations ({{item.publications_count}}) Manual MSDS
Cat.No.:{{item.cat}}
{{index}} {{goods_show_value}}
Other Formats
{{formatDetailsPage.numTotal}} Results
Unconjugated
-
{{item.title}}
Citations ({{item.publications_count}}) Manual MSDS
Cat.No.:{{item.cat}}
{{index}} {{goods_show_value}}
-
IF:{{item.impact}}
Journal:{{item.journal}} ({{item.year}})
DOI:{{item.doi}}Reactivity:{{item.species}}
Sample Type:{{item.sample_type}}
-
Q{{(FAQpage.currentPage - 1)*pageSize+index+1}}:{{item.name}}

