Recombinant Phospho-IKB alpha (Ser32, Ser36) Monoclonal Antibody (AN302083L)
-
-
-
- +1
For research use only.
| Verified Samples |
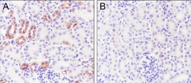
Verified Samples in WB: HeLa, C6 Verified Samples in IHC: (A) Rat kidney, (B) Rat kidney, then the tissue was incubated with alkaline phosphatase (50U/ml) at 37℃ for 1 hour, (A) Mouse kidney, (B) Mouse kidney, then the tissue was incubated with alkalinephosphatase (50 U/ml) at 37℃ for 1 hour |
| Dilution | WB 1:500-1:2000, IHC 1:50-1:100 |
| Isotype | IgG, κ |
| Host | Rabbit |
| Reactivity | Human, Rat, Mouse |
| Applications | WB, IHC |
| Clonality | Monoclonal;Recombinant |
| Immunogen | Recombinant human IKB alpha (phospho S32/36) fragment |
| Abbre | Phospho-IKB alpha (Ser32, Ser36) |
| Synonyms | EDAID, MAD, IKBA, MAD-3, NFKBI, IKB alpha, NFKBIA, EDAID2, I kappa B alpha, IkappaBalpha, I-kappa-B-alpha, IKBalpha, IkB-alpha, MAD 3, NF kappa B inhibitor alpha, MAD3, alpha, Major histocompatibility complex enhancer-binding protein MAD3, NF-kappa-B inhibitor alpha, Nuclear factor of kappa light chain gene enhancer in B cells, Nuclear factor of kappa light polypeptide gene enhancer in B cells inhibitor alpha, nuclear factor of kappa light polypeptide gene enhancer in B-cells inhibitor, pIκBα |
| Swissprot | |
| Calculated MW | 36 kDa |
| Observed MW |
36 kDa
Western blotting is a method for detecting a certain protein in a complex sample based on the specific binding of antigen and antibody. Different proteins can be divided into bands based on different mobility rates. The mobility is affected by many factors, which may cause the observed band size to be inconsistent with the expected size. The common factors include: 1. Post-translational modifications: For example, modifications such as glycosylation, phosphorylation, methylation, and acetylation will increase the molecular weight of the protein. 2. Splicing variants: Different expression patterns of various mRNA splicing bodies may produce proteins of different sizes. 3. Post-translational cleavage: Many proteins are first synthesized into precursor proteins and then cleaved to form active forms, such as COL1A1. 4. Relative charge: the composition of amino acids (the proportion of charged amino acids and uncharged amino acids). 5. Formation of multimers: For example, in protein dimer, strong interactions between proteins can cause the bands to be larger. However, the use of reducing conditions can usually avoid the formation of multimers. If a protein in a sample has different modified forms at the same time, multiple bands may be detected on the membrane. |
| Cellular Localization | Nucleus, Cytoplasm |
| Concentration | 1 mg/mL |
| Buffer | PBS, 50% glycerol, 0.05% Proclin 300, 0.05% protein protectant. |
| Purification Method | Protein A purified |
| Research Areas | Signal Transduction, Epigenetics and Nuclear Signaling, Cancer, Immunology |
| Clone No. | A807 |
| Conjugation | Unconjugated |
| Storage | Store at -20°C Valid for 12 months. Avoid freeze / thaw cycles. |
| Shipping | Ice bag |
| background | NF-kappa-B inhibitor alpha (IKB alpha) inhibits the activity of dimeric NF-kappa-B/REL complexes by trapping REL dimers in the cytoplasm through masking of their nuclear localization signals. On cellular stimulation by immune and proinflammatory responses, IKB alpha becomes phosphorylated promoting itself ubiquitination and degradation, enabling the dimeric RELA to translocate to the nucleus and activate transcription. |
Other Clones
{{antibodyDetailsPage.numTotal}} Results
-
{{item.title}}
Citations ({{item.publications_count}}) Manual MSDS
Cat.No.:{{item.cat}}
{{index}} {{goods_show_value}}
Other Formats
{{formatDetailsPage.numTotal}} Results
Unconjugated
-
{{item.title}}
Citations ({{item.publications_count}}) Manual MSDS
Cat.No.:{{item.cat}}
{{index}} {{goods_show_value}}
-
IF:{{item.impact}}
Journal:{{item.journal}} ({{item.year}})
DOI:{{item.doi}}Reactivity:{{item.species}}
Sample Type:{{item.organization}}
-
Q{{(FAQpage.currentPage - 1)*pageSize+index+1}}:{{item.name}}

