Recombinant Phospho-YAP1 (Ser127) Monoclonal Antibody (AN302080L)
-
-
-
- +2
For research use only.
| Verified Samples |
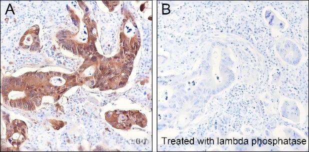
Verified Samples in WB: HeLa, PANC-1 Verified Samples in IHC: Human colon cancer Verified Samples in IF: MCF-7 Verified Samples in FCM: PANC-1 |
| Dilution | WB 1:500-1:2000, IHC 1:100-1:200, IF 1:50, FCM 1:50-1:100 |
| Isotype | IgG, κ |
| Host | Rabbit |
| Reactivity | Human |
| Applications | WB, IHC, IF, FCM |
| Clonality | Monoclonal;Recombinant |
| Immunogen | phosphorylated human YAP1 (Ser1270) peptide |
| Abbre | Phospho-YAP1 (Ser127) |
| Synonyms | COB, COB1, YAP, YAP2, YAP65, YKI, YAP1, 65 kDa Yes associated protein, 65 kDa Yes-associated protein, Basic protease inhibitor, BPTI, Pancreatic Trypsin Inhibitor, Trasylol, YAp 1, YAP 65, Yes associated protein 1, Yes associated protein 1 65kDa, Yes associated protein 2, yes associated protein beta, yes -associated protein delta, Yorkie homolog |
| Swissprot | |
| Calculated MW | 54 kDa |
| Observed MW |
70-100 kDa
The actual band is not consistent with the expectation.
Western blotting is a method for detecting a certain protein in a complex sample based on the specific binding of antigen and antibody. Different proteins can be divided into bands based on different mobility rates. The mobility is affected by many factors, which may cause the observed band size to be inconsistent with the expected size. The common factors include: 1. Post-translational modifications: For example, modifications such as glycosylation, phosphorylation, methylation, and acetylation will increase the molecular weight of the protein. 2. Splicing variants: Different expression patterns of various mRNA splicing bodies may produce proteins of different sizes. 3. Post-translational cleavage: Many proteins are first synthesized into precursor proteins and then cleaved to form active forms, such as COL1A1. 4. Relative charge: the composition of amino acids (the proportion of charged amino acids and uncharged amino acids). 5. Formation of multimers: For example, in protein dimer, strong interactions between proteins can cause the bands to be larger. However, the use of reducing conditions can usually avoid the formation of multimers. If a protein in a sample has different modified forms at the same time, multiple bands may be detected on the membrane. |
| Cellular Localization | Cytoplasm, Nucleus |
| Concentration | 1 mg/mL |
| Buffer | PBS, 50% glycerol, 0.05% Proclin 300, 0.05% protein protectant. |
| Purification Method | Protein A purified |
| Research Areas | Signal Transduction, Epigenetics and Nuclear Signaling, Cancer |
| Clone | A804 |
| Conjugation | Unconjugated |
| Storage | Store at -20°C Valid for 12 months. Avoid freeze / thaw cycles. |
| Shipping | Ice bag |
| background | Transcriptional regulator which can act both as a coactivator and a corepressor and is the critical downstream regulatory target in the Hippo signaling pathway that plays a pivotal role in organ size control and tumor suppression by restricting proliferation and promoting apoptosis. The core of this pathway is composed of a kinase cascade wherein MST1/MST2, in complex with its regulatory protein SAV1, phosphorylates and activates LATS1/2 in complex with its regulatory protein MOB1, which in turn phosphorylates and inactivates YAP1 oncoprotein. Plays a key role to control cell proliferation in response to cell contact. Phosphorylation of YAP1 by LATS1/2 inhibits its translocation into the nucleus to regulate cellular genes important for cell proliferation, cell death, and cell migration. |
| Cat.No. | Product Name | Clone No. |
|---|
-
IF:{{item.impact}}
Journal:{{item.journal}} ({{item.year}})
DOI:{{item.doi}}Reactivity:{{item.species}}
Sample Type:{{item.sample_type}}
-
Q{{(FAQpage.currentPage - 1)*pageSize+index+1}}:{{item.name}}
No files available. Please enter the correct identification code in the search area to query the relevant documents.
| Title | Status | Valid until | Action | |
|---|---|---|---|---|
| {{v.文件名}} | {{v.status_str}} | {{v.timestamp_str}} | Download | / |
*Note:Please download the relevant files within the validity period. After expiration, file preview and download will not be available on the page.

