Recombinant PRDM4/PFM1 Monoclonal Antibody (AN302044L)
-
-
-
- +1
For research use only.
| Verified Samples |
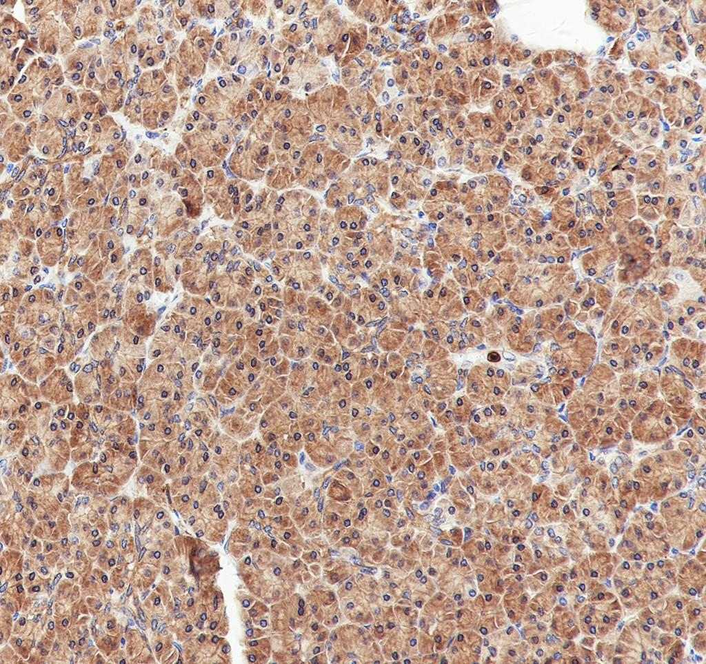
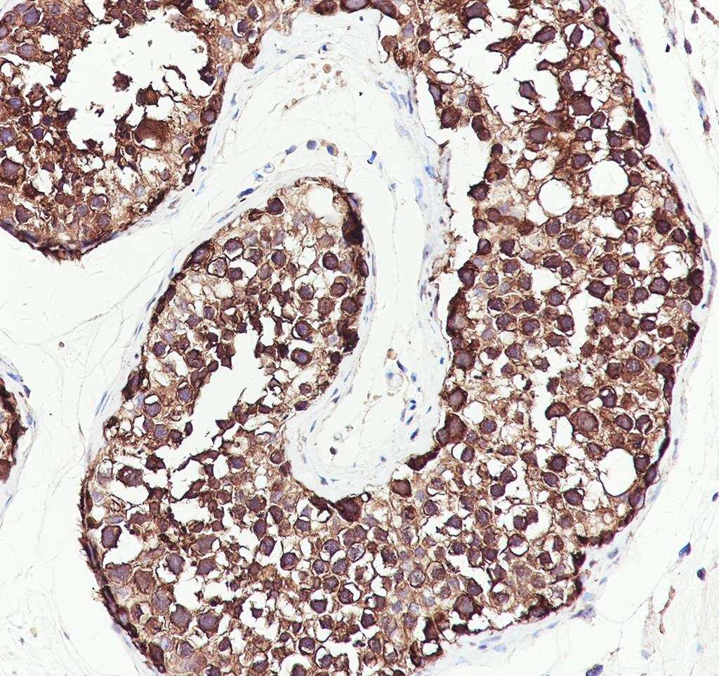
Verified Samples in WB: HeLa,?293T, Mouse heart, Rat heart Verified Samples in IHC: Human colon, Human pancreas, Human testis |
| Dilution | WB 1:1000, IHC 1:500 |
| Isotype | IgG, κ |
| Host | Rabbit |
| Reactivity | Human, Rat, Mouse |
| Applications | WB, IHC |
| Clonality | Monoclonal;Recombinant |
| Immunogen | Peptide. This information is proprietary to PTMab. |
| Abbre | PRDM4/PFM1 |
| Synonyms | PFM, PRDM, PFM1, PRDM4 |
| Swissprot | |
| Calculated MW | 88 kDa |
| Observed MW |
100 kDa
The actual band is not consistent with the expectation.
Western blotting is a method for detecting a certain protein in a complex sample based on the specific binding of antigen and antibody. Different proteins can be divided into bands based on different mobility rates. The mobility is affected by many factors, which may cause the observed band size to be inconsistent with the expected size. The common factors include: 1. Post-translational modifications: For example, modifications such as glycosylation, phosphorylation, methylation, and acetylation will increase the molecular weight of the protein. 2. Splicing variants: Different expression patterns of various mRNA splicing bodies may produce proteins of different sizes. 3. Post-translational cleavage: Many proteins are first synthesized into precursor proteins and then cleaved to form active forms, such as COL1A1. 4. Relative charge: the composition of amino acids (the proportion of charged amino acids and uncharged amino acids). 5. Formation of multimers: For example, in protein dimer, strong interactions between proteins can cause the bands to be larger. However, the use of reducing conditions can usually avoid the formation of multimers. If a protein in a sample has different modified forms at the same time, multiple bands may be detected on the membrane. |
| Cellular Localization | Nucleus |
| Concentration | 1 mg/mL |
| Buffer | PBS, 50% glycerol, 0.05% Proclin 300, 0.05% protein protectant. |
| Purification Method | Protein A purified |
| Research Areas | Epigenetics and Nuclear Signaling |
| Clone No. | A764 |
| Conjugation | Unconjugated |
| Storage | Store at -20°C Valid for 12 months. Avoid freeze / thaw cycles. |
| Shipping | Ice bag |
| background | The PRDM family members are characterized by the presence of a PR (positive regulatory) domain and multiple zinc finger (ZnFg) domains. The PR domain defines a family of transcription factors involved in cell differentiation and tumorigenesis. PRDM proteins are either epigenetic modifiers in their own right or else they recruit third party chromatin modifiers - e.g. histone deacetylases (HDACs), histone lysine MTases or histone arginine MTases - to regulate cell type-specific gene expression in various tissues (PRDM4 as an HDAC-associated transcriptional repressor that modulates cell cycle progression. |
Other Clones
{{antibodyDetailsPage.numTotal}} Results
-
{{item.title}}
Citations ({{item.publications_count}}) Manual MSDS
Cat.No.:{{item.cat}}
{{index}} {{goods_show_value}}
Other Formats
{{formatDetailsPage.numTotal}} Results
Unconjugated
-
{{item.title}}
Citations ({{item.publications_count}}) Manual MSDS
Cat.No.:{{item.cat}}
{{index}} {{goods_show_value}}
-
IF:{{item.impact}}
Journal:{{item.journal}} ({{item.year}})
DOI:{{item.doi}}Reactivity:{{item.species}}
Sample Type:{{item.organization}}
-
Q{{(FAQpage.currentPage - 1)*pageSize+index+1}}:{{item.name}}

