Recombinant RBBP7/RBBP4 Monoclonal Antibody (AN302067L)
-
-
-
- +4
For research use only.
| Verified Samples |
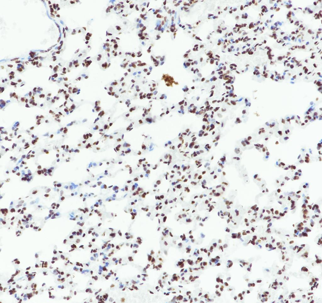
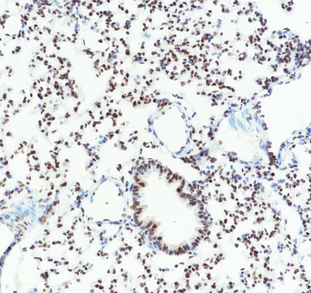
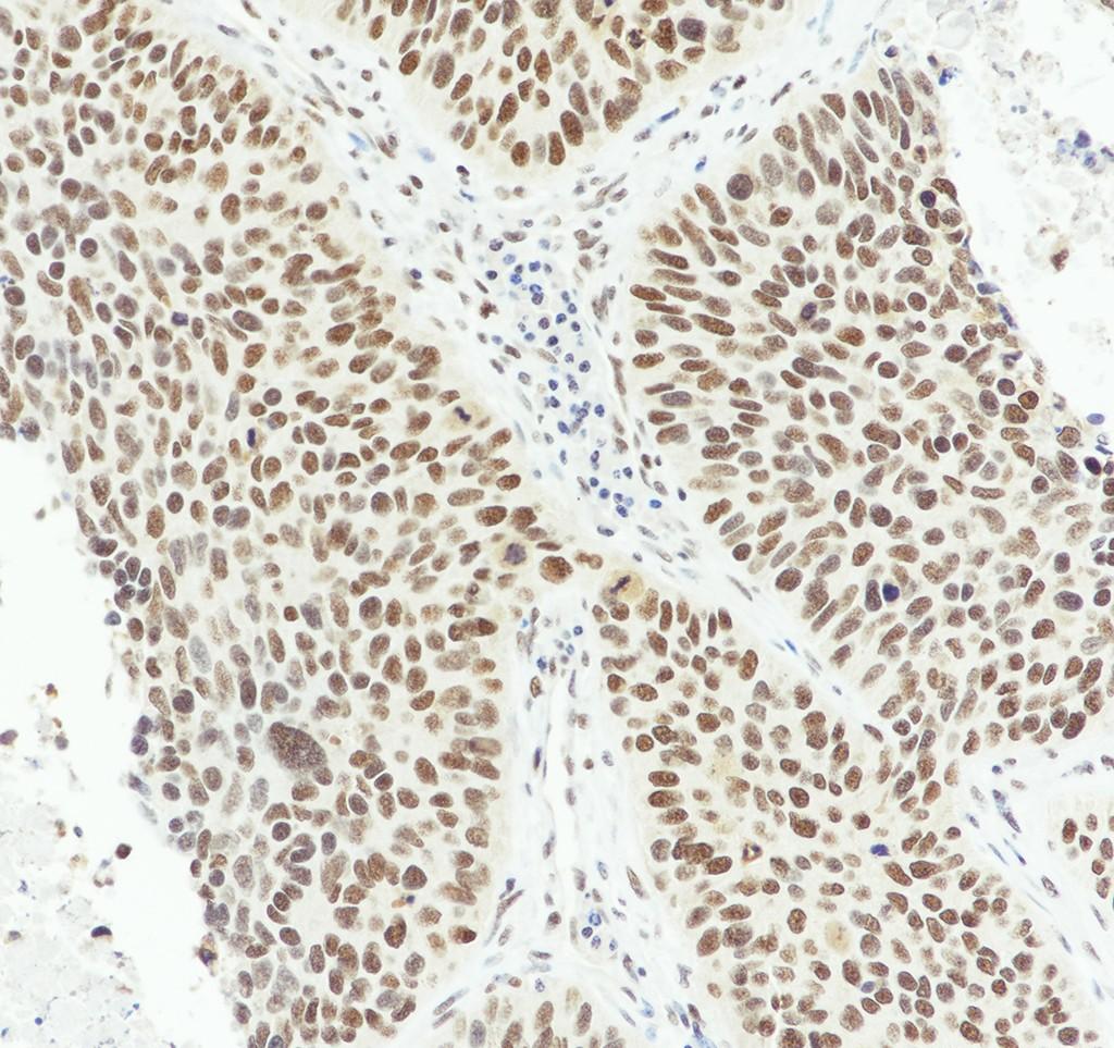
Verified Samples in WB: HeLa,?IMR-32, NIH-3T3 Verified Samples in IHC: Human lung squamous carcinoma, Mouse lung, Rat lung Verified Samples in FCM: HeLa Verified Samples in ChIP: NIH/3T3 Verified Samples in IP: HeLa cells extracts |
| Dilution | WB 1:10000-1:20000, IHC 1:500-1:1000, FCM 1:100, ChIP 6 μg/2×106 cells, IP 1:50-1:100 |
| Isotype | IgG, κ |
| Host | Rabbit |
| Reactivity | Human, Rat, Mouse |
| Applications | WB, IHC, FCM, ChIP, IP |
| Clonality | Monoclonal;Recombinant |
| Immunogen | Peptide. This information is proprietary to PTMab. |
| Abbre | RBBP7/RBBP4 |
| Synonyms | RBAP46, RBAP48 |
| Swissprot | |
| Calculated MW | 48 kDa |
| Observed MW |
50 kDa
The actual band is not consistent with the expectation.
Western blotting is a method for detecting a certain protein in a complex sample based on the specific binding of antigen and antibody. Different proteins can be divided into bands based on different mobility rates. The mobility is affected by many factors, which may cause the observed band size to be inconsistent with the expected size. The common factors include: 1. Post-translational modifications: For example, modifications such as glycosylation, phosphorylation, methylation, and acetylation will increase the molecular weight of the protein. 2. Splicing variants: Different expression patterns of various mRNA splicing bodies may produce proteins of different sizes. 3. Post-translational cleavage: Many proteins are first synthesized into precursor proteins and then cleaved to form active forms, such as COL1A1. 4. Relative charge: the composition of amino acids (the proportion of charged amino acids and uncharged amino acids). 5. Formation of multimers: For example, in protein dimer, strong interactions between proteins can cause the bands to be larger. However, the use of reducing conditions can usually avoid the formation of multimers. If a protein in a sample has different modified forms at the same time, multiple bands may be detected on the membrane. |
| Cellular Localization | Nucleus |
| Concentration | 1 mg/mL |
| Buffer | PBS, 50% glycerol, 0.05% Proclin 300, 0.05% protein protectant. |
| Purification Method | Protein A purified |
| Clone No. | A787 |
| Conjugation | Unconjugated |
| Storage | Store at -20°C Valid for 12 months. Avoid freeze / thaw cycles. |
| Shipping | Ice bag |
| background | Retinoblastoma-associated proteins 46 and 48 (RBAP46 and RBAP48, also known as RBBP7 and RBBP4), were first identified in humancells as proteins that bind to retinoblastoma (Rb) tumor suppressor proteins. Since then, these proteins have been shown to be componentsof a number of protein complexes involved in chromatin regulation, including the chromatin assembly factor 1 (CAF-1) complex and the Btype histone acetyltransferase complex, HAT1, both of which are involved in chromatin assembly during DNA replication. RBAP46 andRBAP48 are also present in the nucleosome remodeling factor complex, NURF, and the nucleosome remodeling and histone deacetylationcomplex NuRD, and the Sin3/HDAC histone deacetylation complex. Recently, RBAP46 and RBAP48 were identified as components of thepolyribonucleic acid repressor complex PRC2, which also contains EED and Ezh2. RBAP46 and RBAP48 bind to the histone folding regionof histone H4 and are thought to target these chromatin remodeling, histone acetylation and histone deacetylation complexes to their histonesubstrates. |
Other Clones
{{antibodyDetailsPage.numTotal}} Results
-
{{item.title}}
Citations ({{item.publications_count}}) Manual MSDS
Cat.No.:{{item.cat}}
{{index}} {{goods_show_value}}
Other Formats
{{formatDetailsPage.numTotal}} Results
Unconjugated
-
{{item.title}}
Citations ({{item.publications_count}}) Manual MSDS
Cat.No.:{{item.cat}}
{{index}} {{goods_show_value}}
-
IF:{{item.impact}}
Journal:{{item.journal}} ({{item.year}})
DOI:{{item.doi}}Reactivity:{{item.species}}
Sample Type:{{item.sample_type}}
-
Q{{(FAQpage.currentPage - 1)*pageSize+index+1}}:{{item.name}}

