Recombinant SHIP-1 Monoclonal Antibody (AN301886L)
-
-
-
- +1
For research use only.
| Verified Samples |
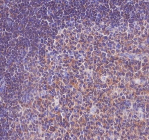
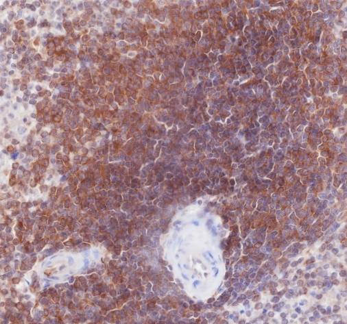
Verified Samples in WB: Jurkat (Negative control), Raji, Daudi, Ramos Verified Samples in IHC: Human spleen, Human tonsil Verified Samples in IF: Raji |
| Dilution | WB 1:500-1:1000, IHC 1:200-1:1000, IF 1:50 |
| Isotype | IgG, κ |
| Host | Rabbit |
| Reactivity | Human |
| Applications | WB, IHC, IF |
| Clonality | Monoclonal;Recombinant |
| Immunogen | Recombinant human SHIP-1 fragment |
| Abbre | SHIP-1 |
| Synonyms | SIP, INPP5D, SHIP, SHIP-1, SHIP1, SIP-145, hp51CN, p150Ship |
| Swissprot | |
| Calculated MW | 133 kDa |
| Observed MW |
133 kDa
Western blotting is a method for detecting a certain protein in a complex sample based on the specific binding of antigen and antibody. Different proteins can be divided into bands based on different mobility rates. The mobility is affected by many factors, which may cause the observed band size to be inconsistent with the expected size. The common factors include: 1. Post-translational modifications: For example, modifications such as glycosylation, phosphorylation, methylation, and acetylation will increase the molecular weight of the protein. 2. Splicing variants: Different expression patterns of various mRNA splicing bodies may produce proteins of different sizes. 3. Post-translational cleavage: Many proteins are first synthesized into precursor proteins and then cleaved to form active forms, such as COL1A1. 4. Relative charge: the composition of amino acids (the proportion of charged amino acids and uncharged amino acids). 5. Formation of multimers: For example, in protein dimer, strong interactions between proteins can cause the bands to be larger. However, the use of reducing conditions can usually avoid the formation of multimers. If a protein in a sample has different modified forms at the same time, multiple bands may be detected on the membrane. |
| Cellular Localization | Cytoplasm, Cell membrane, Cytoskeleton |
| Concentration | 1 mg/mL |
| Buffer | PBS, 50% glycerol, 0.05% Proclin 300, 0.05% protein protectant. |
| Purification Method | Protein A purified |
| Research Areas | Immunology, Signal Transduction |
| Clone | A602 |
| Conjugation | Unconjugated |
| Storage | Store at -20°C Valid for 12 months. Avoid freeze / thaw cycles. |
| Shipping | Ice bag |
| background | SH2-containing inositol phosphatase 1 (SHIP1) is a hematopoietic phosphatase that hydrolyzes phosphatidylinositol-3,4,5-triphosphate to phosphatidylinositol-3,4-bisphosphate. SHIP1 is a cytosolic phosphatase with an SH2 domain in its amino terminus and two NPXY Shc binding motifs in its carboxy terminus. Upon receptor cross-linking, SHIP is first recruited to the membrane junction through binding of its SH2 domain to the phospho-tyrosine in the ITIM motif, followed by tyrosine phosphorylation on the NPXY motif. The membrane relocalization and phosphorylation on the NPXY motif is essential for the regulatory function of SHIP1. Its effect on calcium flux, cell survival, growth, cell cycle arrest, and apoptosis is mediated through the PI3K and Akt pathways. Tyr1021 is located in one of the NPXY motifs in SHIP1, and its phosphorylation is important for SHIP1 function. |
| Cat.No. | Product Name | Clone No. |
|---|
-
IF:{{item.impact}}
Journal:{{item.journal}} ({{item.year}})
DOI:{{item.doi}}Reactivity:{{item.species}}
Sample Type:{{item.sample_type}}
-
Q{{(FAQpage.currentPage - 1)*pageSize+index+1}}:{{item.name}}
No files available. Please enter the correct identification code in the search area to query the relevant documents.
| Title | Status | Valid until | Action | |
|---|---|---|---|---|
| {{v.文件名}} | {{v.status_str}} | {{v.timestamp_str}} | Download | / |
*Note:Please download the relevant files within the validity period. After expiration, file preview and download will not be available on the page.

