Recombinant SLC7A5/LAT1 Monoclonal Antibody (AN301897L)
For research use only.
| Verified Samples |
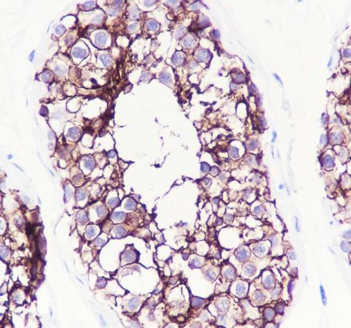
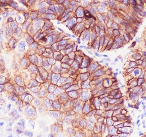
Verified Samples in WB: HT-1080, HepG2, K562 Verified Samples in IHC: Human lung squamous cell carcinoma, Human testis |
| Dilution | WB 1:2000-1:10000, IHC 1:200-1:1000 |
| Isotype | IgG, κ |
| Host | Rabbit |
| Reactivity | Human, Rat, Mouse |
| Applications | WB, IHC |
| Clonality | Monoclonal;Recombinant |
| Immunogen | Recombinant human SLC7A5/LAT1 fragment |
| Abbre | SLC7A5/LAT1 |
| Synonyms | LAT, MPE, hLAT, SLC7A, SLC7A5, 4F2LC, CD98, D16S469E, E16, LAT1, MPE16, hLAT1, CD98LC |
| Swissprot | |
| Calculated MW | 55 kDa |
| Observed MW |
39 kDa
The actual band is not consistent with the expectation.
Western blotting is a method for detecting a certain protein in a complex sample based on the specific binding of antigen and antibody. Different proteins can be divided into bands based on different mobility rates. The mobility is affected by many factors, which may cause the observed band size to be inconsistent with the expected size. The common factors include: 1. Post-translational modifications: For example, modifications such as glycosylation, phosphorylation, methylation, and acetylation will increase the molecular weight of the protein. 2. Splicing variants: Different expression patterns of various mRNA splicing bodies may produce proteins of different sizes. 3. Post-translational cleavage: Many proteins are first synthesized into precursor proteins and then cleaved to form active forms, such as COL1A1. 4. Relative charge: the composition of amino acids (the proportion of charged amino acids and uncharged amino acids). 5. Formation of multimers: For example, in protein dimer, strong interactions between proteins can cause the bands to be larger. However, the use of reducing conditions can usually avoid the formation of multimers. If a protein in a sample has different modified forms at the same time, multiple bands may be detected on the membrane. |
| Cellular Localization | Membrane, Lysosome |
| Concentration | 1 mg/mL |
| Buffer | PBS, 50% glycerol, 0.05% Proclin 300, 0.05% protein protectant. |
| Purification Method | Protein A purified |
| Research Areas | Signal Transduction, Metabolism |
| Clone No. | A613 |
| Conjugation | Unconjugated |
| Storage | Store at -20°C Valid for 12 months. Avoid freeze / thaw cycles. |
| Shipping | Ice bag |
| background | L-type amino acid transporter 1 (LAT1), also known as Solute carrier family 7 member 5 (SLC7A5), is a high-affinity neutral transporter of larger amino acids. It facilitates the cellular amino acid uptake in a sodium independent manner and selectively transports D-and L-isomers of small neutral amino acids. LAT1 also regulates amino acid exchange in conjunction with solute carrier family 1 member 5 (SLC1A5). Transport of thyroid hormones across the placenta is established via LAT1 during normal fetal development. LAT1 promotes neuronal cell proliferation by regulating the transport of amino acids across the blood brain barrier. LAT1 is upregulated in various cancer types including breast cancer, lung cancer, prostate cancer, and gliomas. High expression of LAT1 is detected in non-small cell lung cancer with lymph node metastases. Increased LAT1 expression is a novel biomarker of high-grade malignancy in prostate cancers. Inhibition of LAT1 suppresses tumor cell growth in several tumor types. |
Other Clones
{{antibodyDetailsPage.numTotal}} Results
-
{{item.title}}
Citations ({{item.publications_count}}) Manual MSDS
Cat.No.:{{item.cat}}
{{index}} {{goods_show_value}}
Other Formats
{{formatDetailsPage.numTotal}} Results
Unconjugated
-
{{item.title}}
Citations ({{item.publications_count}}) Manual MSDS
Cat.No.:{{item.cat}}
{{index}} {{goods_show_value}}
-
IF:{{item.impact}}
Journal:{{item.journal}} ({{item.year}})
DOI:{{item.doi}}Reactivity:{{item.species}}
Sample Type:{{item.organization}}
-
Q{{(FAQpage.currentPage - 1)*pageSize+index+1}}:{{item.name}}

