Recombinant SPR Monoclonal Antibody (AN302028L)
For research use only.
| Verified Samples |
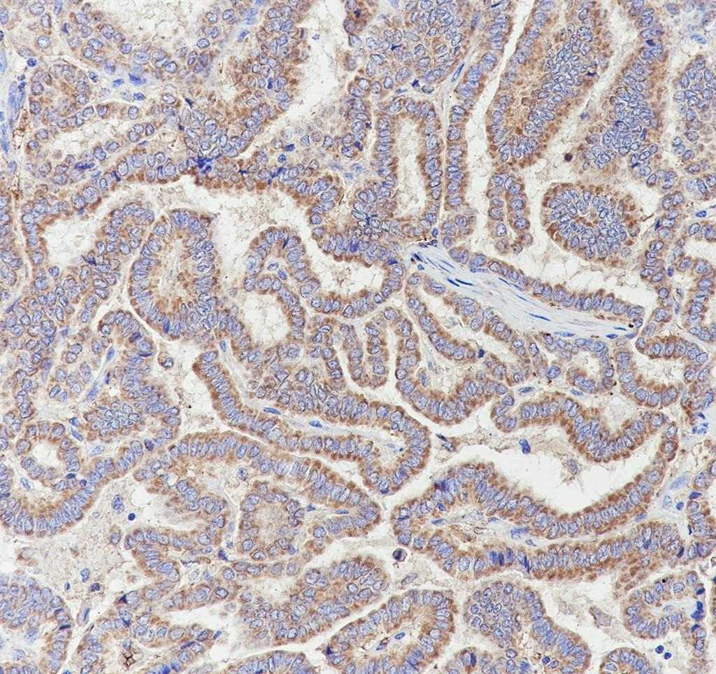
Verified Samples in WB: HeLa,?293T, MCF-7, A549 Verified Samples in IHC: Human kidney, Human thyroid cancer |
| Dilution | WB 1:1000, IHC 1:100 |
| Isotype | IgG, κ |
| Host | Rabbit |
| Reactivity | Human, |
| Applications | WB, IHC |
| Clonality | Monoclonal;Recombinant |
| Immunogen | Peptide. This information is proprietary to PTMab. |
| Abbre | SPR |
| Synonyms | SDR38C, member, OTTHUMP, SPR, SDR38C1, 8 dihydrobiopterin:NADP+ oxidoreductase), member 1, OTTHUMP00000160199, Sepiapterin reductase, Sepiapterin reductase (7, Short chain dehydrogenase/reductase family 38C, SPRE |
| Swissprot | |
| Calculated MW | 28 kDa |
| Observed MW |
27 kDa
The actual band is not consistent with the expectation.
Western blotting is a method for detecting a certain protein in a complex sample based on the specific binding of antigen and antibody. Different proteins can be divided into bands based on different mobility rates. The mobility is affected by many factors, which may cause the observed band size to be inconsistent with the expected size. The common factors include: 1. Post-translational modifications: For example, modifications such as glycosylation, phosphorylation, methylation, and acetylation will increase the molecular weight of the protein. 2. Splicing variants: Different expression patterns of various mRNA splicing bodies may produce proteins of different sizes. 3. Post-translational cleavage: Many proteins are first synthesized into precursor proteins and then cleaved to form active forms, such as COL1A1. 4. Relative charge: the composition of amino acids (the proportion of charged amino acids and uncharged amino acids). 5. Formation of multimers: For example, in protein dimer, strong interactions between proteins can cause the bands to be larger. However, the use of reducing conditions can usually avoid the formation of multimers. If a protein in a sample has different modified forms at the same time, multiple bands may be detected on the membrane. |
| Cellular Localization | Cell membrane |
| Concentration | 1 mg/mL |
| Buffer | PBS, 50% glycerol, 0.05% Proclin 300, 0.05% protein protectant. |
| Purification Method | Protein A purified |
| Research Areas | Neuroscience, Signal Transduction, Metabolism |
| Clone No. | A748 |
| Conjugation | Unconjugated |
| Storage | Store at -20°C Valid for 12 months. Avoid freeze / thaw cycles. |
| Shipping | Ice bag |
| background | SPR can catalyze the final one or two reductions in tetra-hydrobiopterin biosynthesis to form 5,6,7,8-tetrahydrobiopterin.Defects in SPR are the cause of dystonia DOPA-responsive due to sepiapterin reductase deficiency (DRDSPRD). In the majority of cases, patients manifest progressive psychomotor retardation, dystonia and spasticity. Cognitive anomalies are also often present. The disease is due to severe dopamine and serotonin deficiencies in the central nervous system caused by a defect in BH4 synthesis. |
Other Clones
{{antibodyDetailsPage.numTotal}} Results
-
{{item.title}}
Citations ({{item.publications_count}}) Manual MSDS
Cat.No.:{{item.cat}}
{{index}} {{goods_show_value}}
Other Formats
{{formatDetailsPage.numTotal}} Results
Unconjugated
-
{{item.title}}
Citations ({{item.publications_count}}) Manual MSDS
Cat.No.:{{item.cat}}
{{index}} {{goods_show_value}}
-
IF:{{item.impact}}
Journal:{{item.journal}} ({{item.year}})
DOI:{{item.doi}}Reactivity:{{item.species}}
Sample Type:{{item.organization}}
-
Q{{(FAQpage.currentPage - 1)*pageSize+index+1}}:{{item.name}}

