Recombinant STING Monoclonal Antibody (AN301666L)
-
-
-
- +2
For research use only.
| Verified Samples |
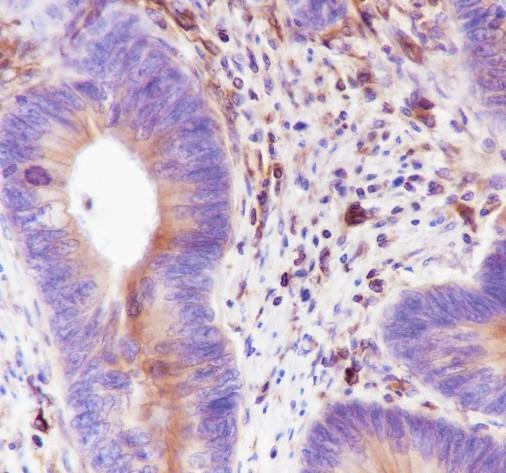
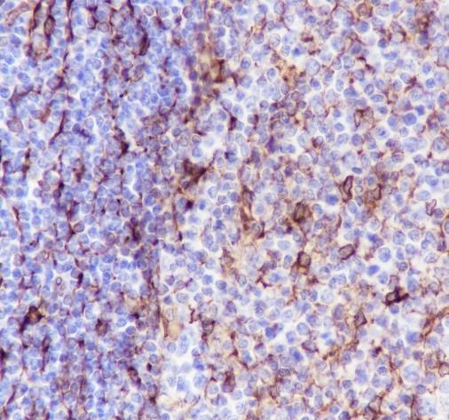
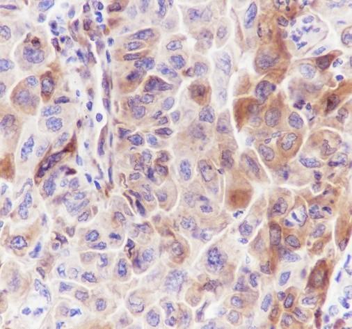
Verified Samples in WB: THP-1 Verified Samples in IHC: Human tonsil, Human colon cancer, Human lung squamous carcinoma Verified Samples in IF: THP-1 |
| Dilution | WB 1:500-1:2000, IHC 1:200-1:1000, IF 1:50 |
| Isotype | IgG, κ |
| Host | Rabbit |
| Reactivity | Human, |
| Applications | WB, IHC, IF |
| Clonality | Monoclonal;Recombinant |
| Immunogen | Recombinant human STING fragment |
| Abbre | STING |
| Synonyms | NET, TMEM, TMEM173, ERIS, MITA, MPYS, NET23, SAVI, STING, hMITA, hSTING, Mediator of IRF3 activation, Stimulator of interferon genes protein, STING1, endoplasmic reticulum IFN stimulator, Endoplasmic reticulum interferon stimulator, FLJ38577, Mitochondrial mediator of IRF3 activation, N terminal methionine proline tyrosine serine plasma membrane tetraspanner, Stimulator of interferon genes, TM173, Transmembrane protein 173 |
| Swissprot | |
| Calculated MW | 42 kDa |
| Observed MW |
36 kDa
The actual band is not consistent with the expectation.
Western blotting is a method for detecting a certain protein in a complex sample based on the specific binding of antigen and antibody. Different proteins can be divided into bands based on different mobility rates. The mobility is affected by many factors, which may cause the observed band size to be inconsistent with the expected size. The common factors include: 1. Post-translational modifications: For example, modifications such as glycosylation, phosphorylation, methylation, and acetylation will increase the molecular weight of the protein. 2. Splicing variants: Different expression patterns of various mRNA splicing bodies may produce proteins of different sizes. 3. Post-translational cleavage: Many proteins are first synthesized into precursor proteins and then cleaved to form active forms, such as COL1A1. 4. Relative charge: the composition of amino acids (the proportion of charged amino acids and uncharged amino acids). 5. Formation of multimers: For example, in protein dimer, strong interactions between proteins can cause the bands to be larger. However, the use of reducing conditions can usually avoid the formation of multimers. If a protein in a sample has different modified forms at the same time, multiple bands may be detected on the membrane. |
| Cellular Localization | Endoplasmic reticulum membrane, autophagosome membrane, Endoplasmic reticulum-Golgi intermediate compartment membrane |
| Concentration | 1 mg/mL |
| Buffer | PBS, 50% glycerol, 0.05% Proclin 300, 0.05% protein protectant. |
| Purification Method | Protein A purified |
| Research Areas | Immunology, Signal Transduction, Epigenetics and Nuclear Signaling, Cancer |
| Clone No. | A369 |
| Conjugation | Unconjugated |
| Storage | Store at -20°C Valid for 12 months. Avoid freeze / thaw cycles. |
| Shipping | Ice bag |
| background | STING has several transmembrane domains, and is expressed in a variety of endothelial cells, epithelial cells and hematopoietic liver cells. STING participates in the DNA-mediated innate immune response. Non-CpG double-stranded DNA from viruses or bacteria binds to cGAS protein and is catalyzed to the second messenger cGAMP; then the dimerized STING binds to cGAMP and undergoes conformational changes. Through the autophagsome and the endoplasmic reticulum and the Golgi apparatus, it further enters the cytoplasm. During the period, it is ubiquitinated and recruited TBK1 protein, then phosphorylated, and then combined with IRF3; then IRF3 is phosphorylated and enters the nucleus to induce the expression of IFNs, etc. In conclusion, it can enhance the body's immune ability and kill bacteria, viruses and other pathogens to a greater extent. |
Other Clones
{{antibodyDetailsPage.numTotal}} Results
-
{{item.title}}
Citations ({{item.publications_count}}) Manual MSDS
Cat.No.:{{item.cat}}
{{index}} {{goods_show_value}}
Other Formats
{{formatDetailsPage.numTotal}} Results
Unconjugated
-
{{item.title}}
Citations ({{item.publications_count}}) Manual MSDS
Cat.No.:{{item.cat}}
{{index}} {{goods_show_value}}
-
IF:{{item.impact}}
Journal:{{item.journal}} ({{item.year}})
DOI:{{item.doi}}Reactivity:{{item.species}}
Sample Type:{{item.organization}}
-
Q{{(FAQpage.currentPage - 1)*pageSize+index+1}}:{{item.name}}

