SW 1990 (L15) Cell Complete Medium (CM-0448A)

For research use only.
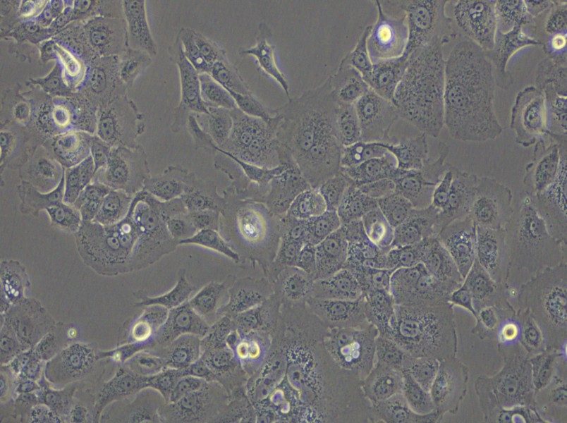
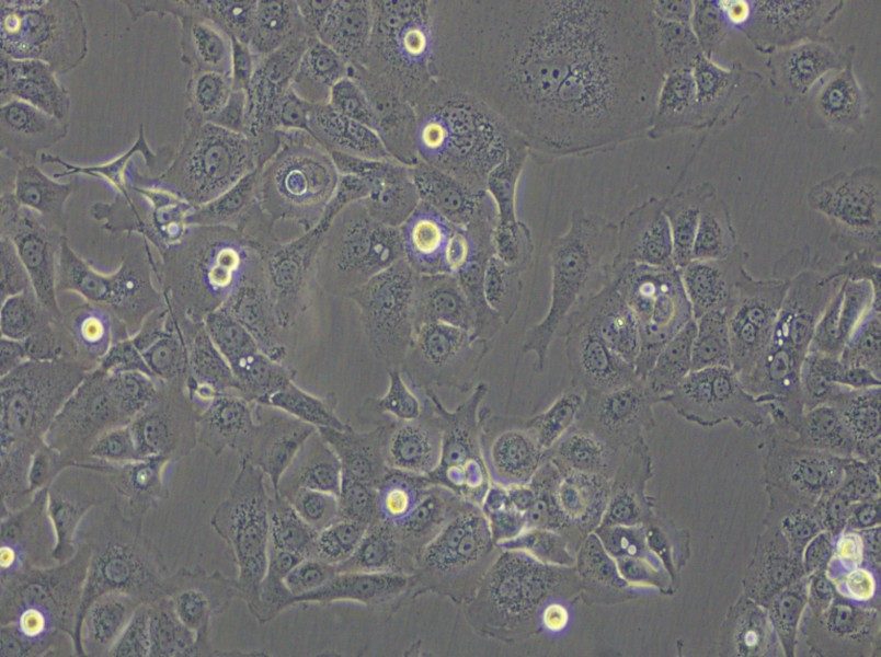
Product Introduction | SW 1990 Cell Complete Medium is a ready-to-use medium that can be directly used for the culture of SW 1990 cells, which is carefully designed and optimized by Pricella's R&D team based on Leibovitz's L-15 basal medium. This high-quality complete medium has been strictly verified by SW 1990 cells which could promote cell proliferation and maintain cell properties. |
Concentration | 1× |
Format | Liquid |
Mycoplasmal Detection | Negative |
pH | 7.4-7.8 |
Components | Leibovitz's L-15 [PM151010]+10% Nutrient+1% Supplement |
Green Features | Sustainable packaging |
Endotoxin Level (EU/mL) | < 3 |
Storage | This product can be stored at 2-8℃ for 6 months with shading light. |
Shipping | Ice bag |
Expiration Date | 6 months |
Matters Need Attention |
1. This product is not suitable for a CO₂ environment. 2. This product is for research use only. 3. This product is sterilized by 0.1 μm filtration. 4. It is necessary to pay attention to the aseptic operation and avoid the contamination during the culture. 5. It is not suitable for long time storage at room temperature. 6. This product is a ready-to-use medium. If there is no special need, don't add serum, penicillin and streptomycin. It can be used directly. |
System Certification |
GMP Production and Quality System This product is manufactured in a GMP-compliant factory, formulated with water for injection, and has obtained ISO 9001 and ISO 13485 certifications. |
Other Clones
{{antibodyDetailsPage.numTotal}} Results
-
{{item.title}}
Citations ({{item.publications_count}}) Manual MSDS
Cat.No.:{{item.cat}}
{{index}} {{goods_show_value}}
Other Formats
{{formatDetailsPage.numTotal}} Results
-
{{item.title}}
Citations ({{item.publications_count}}) Manual MSDS
Cat.No.:{{item.cat}}
{{index}} {{goods_show_value}}
-
IF:{{item.impact}}
Journal:{{item.journal}} ({{item.year}})
DOI:{{item.doi}}Reactivity:{{item.species}}
Sample Type:{{item.organization}}
-
Q{{(FAQpage.currentPage - 1)*pageSize+index+1}}:{{item.name}}
