THOC1 Polyclonal Antibody (E-AB-63014)
-
-
-
- +3
For research use only.
| Verified Samples |
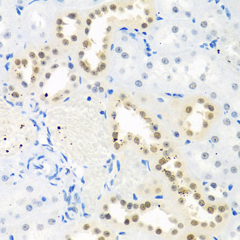
Verified Samples in WB: BT-474, MCF-7, A549, HeLa, HepG2 Verified Samples in IHC: Mouse kidney, Rat kidney, Human lung cancer, Human stomach Verified Samples in IF: U2OS |
| Dilution | WB 1:500-1:2000, IHC 1:50-1:100, IF 1:50-1:100 |
| Isotype | IgG |
| Host | Rabbit |
| Reactivity | Human, Mouse, Rat |
| Applications | WB, IHC, IF |
| Clonality | Polyclonal |
| Immunogen | Recombinant fusion protein of human THOC1 (NP_005122.2). |
| Abbre | THOC1 |
| Synonyms | HPR1, P84, P84N5, THOC1 |
| Swissprot | |
| Calculated MW | 43 kDa/75 kDa |
| Observed MW |
92 kDa
The actual band is not consistent with the expectation.
Western blotting is a method for detecting a certain protein in a complex sample based on the specific binding of antigen and antibody. Different proteins can be divided into bands based on different mobility rates. The mobility is affected by many factors, which may cause the observed band size to be inconsistent with the expected size. The common factors include: 1. Post-translational modifications: For example, modifications such as glycosylation, phosphorylation, methylation, and acetylation will increase the molecular weight of the protein. 2. Splicing variants: Different expression patterns of various mRNA splicing bodies may produce proteins of different sizes. 3. Post-translational cleavage: Many proteins are first synthesized into precursor proteins and then cleaved to form active forms, such as COL1A1. 4. Relative charge: the composition of amino acids (the proportion of charged amino acids and uncharged amino acids). 5. Formation of multimers: For example, in protein dimer, strong interactions between proteins can cause the bands to be larger. However, the use of reducing conditions can usually avoid the formation of multimers. If a protein in a sample has different modified forms at the same time, multiple bands may be detected on the membrane. |
| Cellular Localization | Cytoplasm and Nucleus speckle, Nucleus, nucleoplasm, Nucleus matrix, Cytoplasm, Can shuttle between the nucleus and cytoplasm, Nuclear localization is required for induction of apoptotic cell death, Translocates to the cytoplasm during the early phase of apoptosis execution. |
| Concentration | 1 mg/mL |
| Buffer | Phosphate buffered solution, pH 7.4, containing 0.05% stabilizer and 50% glycerol. |
| Purification Method | Affinity purification |
| Research Areas | Cancer, Epigenetics and Nuclear Signaling, Tags and Cell Markers |
| Conjugation | Unconjugated |
| Storage | Store at -20°C Valid for 12 months. Avoid freeze / thaw cycles. |
| Shipping | The product is shipped with ice pack,upon receipt,store it immediately at the temperature recommended. |
| background | THOC1 (THO Complex 1) is a Protein Coding gene. Among its related pathways are Cleavage of Growing Transcript in the Termination Region and Transport of Mature Transcript to Cytoplasm. Gene Ontology (GO) annotations related to this gene include RNA binding. |
| Cat.No. | Product Name | Clone No. |
|---|
-
IF:{{item.impact}}
Journal:{{item.journal}} ({{item.year}})
DOI:{{item.doi}}Reactivity:{{item.species}}
Sample Type:{{item.sample_type}}
-
Q{{(FAQpage.currentPage - 1)*pageSize+index+1}}:{{item.name}}
No files available. Please enter the correct identification code in the search area to query the relevant documents.
| Title | Status | Valid until | Action | |
|---|---|---|---|---|
| {{v.文件名}} | {{v.status_str}} | {{v.timestamp_str}} | Download | / |
*Note:Please download the relevant files within the validity period. After expiration, file preview and download will not be available on the page.

