PIWIL1 Polyclonal Antibody (E-AB-60641)
For research use only.
| Verified Samples |
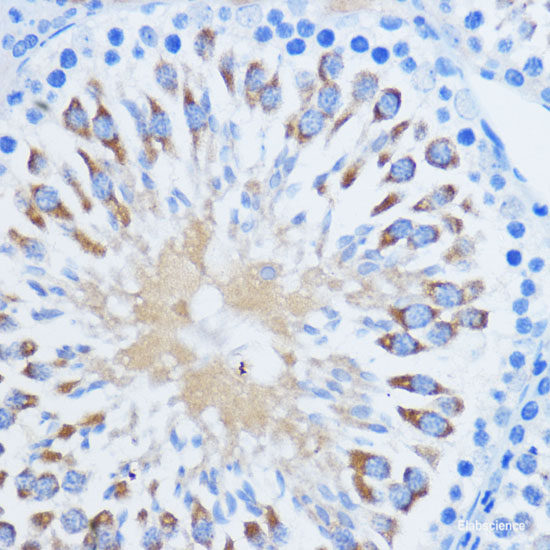
Verified Samples in WB: Mouse testis, Mouse liver, Rat testis Verified Samples in IHC: Rat testis, Mouse testis |
| Dilution | WB 1:500-1:2000, IHC 1:50-1:200 |
| Isotype | IgG |
| Host | Rabbit |
| Reactivity | Human, Mouse, Rat |
| Applications | WB, IHC |
| Clonality | Polyclonal |
| Immunogen | Recombinant protein of mouse PIWIL1 |
| Abbre | PIWIL1 |
| Synonyms | Piwil, PIWIL1, CT80.1, HIWI, MIWI, PIWI |
| Swissprot | |
| Calculated MW | 95 kDa/98 kDa |
| Observed MW |
102 kDa/110 kDa
The actual band is not consistent with the expectation.
Western blotting is a method for detecting a certain protein in a complex sample based on the specific binding of antigen and antibody. Different proteins can be divided into bands based on different mobility rates. The mobility is affected by many factors, which may cause the observed band size to be inconsistent with the expected size. The common factors include: 1. Post-translational modifications: For example, modifications such as glycosylation, phosphorylation, methylation, and acetylation will increase the molecular weight of the protein. 2. Splicing variants: Different expression patterns of various mRNA splicing bodies may produce proteins of different sizes. 3. Post-translational cleavage: Many proteins are first synthesized into precursor proteins and then cleaved to form active forms, such as COL1A1. 4. Relative charge: the composition of amino acids (the proportion of charged amino acids and uncharged amino acids). 5. Formation of multimers: For example, in protein dimer, strong interactions between proteins can cause the bands to be larger. However, the use of reducing conditions can usually avoid the formation of multimers. If a protein in a sample has different modified forms at the same time, multiple bands may be detected on the membrane. |
| Cellular Localization | Cytoplasm. Component of the meiotic nuage, also named P granule, a germ-cell-specific organelle required to repress transposon during meiosis. Also present in chromatoid body. |
| Concentration | 1 mg/mL |
| Buffer | Phosphate buffered solution, pH 7.4, containing 0.05% stabilizer and 50% glycerol. |
| Purification Method | Affinity purification |
| Research Areas | Cancer, Epigenetics and Nuclear Signaling |
| Conjugation | Unconjugated |
| Storage | Store at -20°C Valid for 12 months. Avoid freeze / thaw cycles. |
| Shipping | The product is shipped with ice pack,upon receipt,store it immediately at the temperature recommended. |
| background | This gene encodes a member of the PIWI subfamily of Argonaute proteins, evolutionarily conserved proteins containing both PAZ and Piwi motifs that play important roles in stem cell self-renewal, RNA silencing, and translational regulation in diverse organisms. The encoded protein may play a role as an intrinsic regulator of the self-renewal capacity of germline and hematopoietic stem cells. Alternatively spliced transcript variants encoding different isoforms have been found for this gene. |
Other Clones
{{antibodyDetailsPage.numTotal}} Results
-
{{item.title}}
Citations ({{item.publications_count}}) Manual MSDS
Cat.No.:{{item.cat}}
{{index}} {{goods_show_value}}
Other Formats
{{formatDetailsPage.numTotal}} Results
Unconjugated
-
{{item.title}}
Citations ({{item.publications_count}}) Manual MSDS
Cat.No.:{{item.cat}}
{{index}} {{goods_show_value}}
-
IF:{{item.impact}}
Journal:{{item.journal}} ({{item.year}})
DOI:{{item.doi}}Reactivity:{{item.species}}
Sample Type:{{item.organization}}
-
Q{{(FAQpage.currentPage - 1)*pageSize+index+1}}:{{item.name}}

