BCAT1 Polyclonal Antibody (E-AB-10995)

For research use only.
Verified Samples |
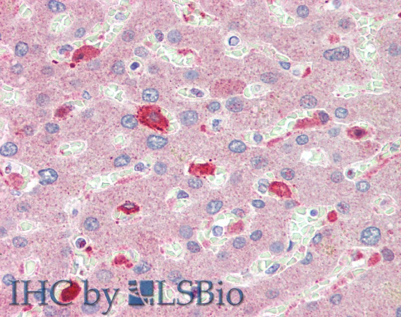
Verified Samples in IHC: Human cervical cancer, Human liver |
Dilution | IHC 1:50-1:200 |
Isotype | IgG |
Host | Rabbit |
Reactivity | Human, Mouse |
Applications | IHC |
Clonality | Polyclonal |
Immunogen | Recombinant protein of human BCAT1 |
Abbre | BCAT1 |
Synonyms | BCAT, BCAT(c), BCAT1, BCT1, Bcat1, Branched chain amino acid aminotransferase, Branched-chain-amino-acid aminotransferase, branched chain amino-acid transaminase 1, branched chain aminotransferase 1, cytosolic |
Swissprot | |
Cellular Localization | Cytoplasm. |
Concentration | 0.4 mg/mL |
Buffer | Phosphate buffered solution, pH 7.4, containing 0.05% stabilizer and 50% glycerol. |
Purification Method | Affinity purification |
Research Areas | Metabolism, Signal Transduction |
Conjugation | Unconjugated |
Storage | Store at -20°C Valid for 12 months. Avoid freeze / thaw cycles. |
Shipping | The product is shipped with ice pack,upon receipt,store it immediately at the temperature recommended. |
background | This gene encodes the cytosolic form of the enzyme branched-chain amino acid transaminase. This enzyme catalyzes the reversible transamination of branched-chain alpha-keto acids to branched-chain L-amino acids essential for cell growth. Two different clinical disorders have been attributed to a defect of branched-chain amino acid transamination: hypervalinemia and hyperleucine-isoleucinemia. As there is also a gene encoding a mitochondrial form of this enzyme, mutations in either gene may contribute to these disorders. Alternatively spliced transcript variants have been described. |
Other Clones
{{antibodyDetailsPage.numTotal}} Results
-
{{item.title}}
Citations ({{item.publications_count}}) Manual MSDS
Cat.No.:{{item.cat}}
{{index}} {{goods_show_value}}
Other Formats
{{formatDetailsPage.numTotal}} Results
Unconjugated
-
{{item.title}}
Citations ({{item.publications_count}}) Manual MSDS
Cat.No.:{{item.cat}}
{{index}} {{goods_show_value}}
-
IF:{{item.impact}}
Journal:{{item.journal}} ({{item.year}})
DOI:{{item.doi}}Reactivity:{{item.species}}
Sample Type:{{item.organization}}
-
Q{{(FAQpage.currentPage - 1)*pageSize+index+1}}:{{item.name}}
