BPGM Polyclonal Antibody (E-AB-18543)
For research use only.
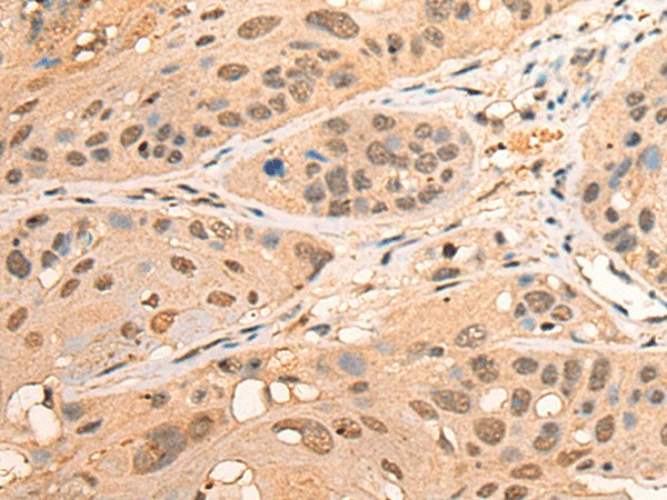
| Verified Samples |
Verified Samples in WB: Human placenta Verified Samples in IHC: Human liver cancer, Human esophagus cancer |
| Dilution | WB 1:1000-1:5000, IHC 1:50-1:300 |
| Isotype | IgG |
| Host | Rabbit |
| Reactivity | Human, Mouse |
| Applications | WB, IHC |
| Clonality | Polyclonal |
| Immunogen | Full length fusion protein |
| Abbre | BPGM |
| Synonyms | erythrocyte, 2, 3-bisphosphoglycerate mutase, 3-bisphosphoglycerate synthase, 3-diphosphoglycerate mutase, AI323730, AL022789, Ab2 098, B |
| Swissprot | |
| Calculated MW | 30 kDa |
| Observed MW |
Refer to figures
The actual band is not consistent with the expectation.
Western blotting is a method for detecting a certain protein in a complex sample based on the specific binding of antigen and antibody. Different proteins can be divided into bands based on different mobility rates. The mobility is affected by many factors, which may cause the observed band size to be inconsistent with the expected size. The common factors include: 1. Post-translational modifications: For example, modifications such as glycosylation, phosphorylation, methylation, and acetylation will increase the molecular weight of the protein. 2. Splicing variants: Different expression patterns of various mRNA splicing bodies may produce proteins of different sizes. 3. Post-translational cleavage: Many proteins are first synthesized into precursor proteins and then cleaved to form active forms, such as COL1A1. 4. Relative charge: the composition of amino acids (the proportion of charged amino acids and uncharged amino acids). 5. Formation of multimers: For example, in protein dimer, strong interactions between proteins can cause the bands to be larger. However, the use of reducing conditions can usually avoid the formation of multimers. If a protein in a sample has different modified forms at the same time, multiple bands may be detected on the membrane. |
| Concentration | 1.1 mg/mL |
| Buffer | Phosphate buffered solution, pH 7.4, containing 0.05% stabilizer and 50% glycerol. |
| Purification Method | Antigen affinity purification |
| Research Areas | Cancer, Cardiovascular, Metabolism, Signal transduction |
| Conjugation | Unconjugated |
| Storage | Store at -20°C Valid for 12 months. Avoid freeze / thaw cycles. |
| Shipping | The product is shipped with ice pack,upon receipt,store it immediately at the temperature recommended. |
| background | 2,3-diphosphoglycerate (2,3-DPG) is a small molecule found at high concentrations in red blood cells where it binds to and decreases the oxygen affinity of hemoglobin. This gene encodes a multifunctional enzyme that catalyzes 2,3-DPG synthesis via its synthetase activity, and 2,3-DPG degradation via its phosphatase activity. The enzyme also has phosphoglycerate phosphomutase activity. Deficiency of this enzyme increases the affinity of cells for oxygen. Mutations in this gene result in hemolytic anemia. Multiple alternatively spliced variants, encoding the same protein, have been identified. |
Other Clones
{{antibodyDetailsPage.numTotal}} Results
-
{{item.title}}
Citations ({{item.publications_count}}) Manual MSDS
Cat.No.:{{item.cat}}
{{index}} {{goods_show_value}}
Other Formats
{{formatDetailsPage.numTotal}} Results
Unconjugated
-
{{item.title}}
Citations ({{item.publications_count}}) Manual MSDS
Cat.No.:{{item.cat}}
{{index}} {{goods_show_value}}
-
IF:{{item.impact}}
Journal:{{item.journal}} ({{item.year}})
DOI:{{item.doi}}Reactivity:{{item.species}}
Sample Type:{{item.organization}}
-
Q{{(FAQpage.currentPage - 1)*pageSize+index+1}}:{{item.name}}

