CBX3 Monoclonal Antibody (E-AB-22270)
For research use only.
| Verified Samples |
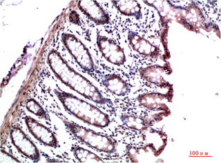
Verified Samples in WB: Hela, 3T3, PC12 Verified Samples in IHC: Human colon carcinoma, Human placenta |
| Dilution | WB 1:500-2000, IHC 1:50-300 |
| Isotype | IgG |
| Host | Mouse |
| Reactivity | Human, Mouse, Rat |
| Applications | WB, IHC-p |
| Clonality | Monoclonal |
| Immunogen | Recombinant Protein of HP-1γ |
| Abbre | CBX3 |
| Synonyms | CBX 3, CBX3, Chromobox homolog 3, Chromobox homolog 3 (HP1 gamma homolog, Chromobox protein homolog 3, Drosophila), GAMMA, HECH, HP1 gamma, HP1 gamma homo, Heterochromatin like protein 1, Heterochromatin protein 1 homolog gamma, Heterochromatin protein HP1 gamma |
| Swissprot | |
| Observed MW |
24 kDa
The actual band is not consistent with the expectation.
Western blotting is a method for detecting a certain protein in a complex sample based on the specific binding of antigen and antibody. Different proteins can be divided into bands based on different mobility rates. The mobility is affected by many factors, which may cause the observed band size to be inconsistent with the expected size. The common factors include: 1. Post-translational modifications: For example, modifications such as glycosylation, phosphorylation, methylation, and acetylation will increase the molecular weight of the protein. 2. Splicing variants: Different expression patterns of various mRNA splicing bodies may produce proteins of different sizes. 3. Post-translational cleavage: Many proteins are first synthesized into precursor proteins and then cleaved to form active forms, such as COL1A1. 4. Relative charge: the composition of amino acids (the proportion of charged amino acids and uncharged amino acids). 5. Formation of multimers: For example, in protein dimer, strong interactions between proteins can cause the bands to be larger. However, the use of reducing conditions can usually avoid the formation of multimers. If a protein in a sample has different modified forms at the same time, multiple bands may be detected on the membrane. |
| Cellular Localization | Nucleus. Associates with euchromatin and is largely excluded from constitutive heterochromatin. May be associated with microtubules and mitotic poles during mitosis. |
| Concentration | 1 mg/mL |
| Buffer | Phosphate buffered solution, pH 7.4, containing 0.05% stabilizer, 0.5% protein protectant and 50% glycerol. |
| Purification Method | Protein A purification |
| Research Areas | Cancer, Epigenetics and Nuclear Signaling |
| Clone No. | 4F4 |
| Conjugation | Unconjugated |
| Storage | Store at -20°C Valid for 12 months. Avoid freeze / thaw cycles. |
| Shipping | The product is shipped with ice pack,upon receipt,store it immediately at the temperature recommended. |
| background | At the nuclear envelope, the nuclear lamina and heterochromatin are adjacent to the inner nuclear membrane.The protein encoded by this gene binds DNA and is a component of heterochromatin.This protein also can bind lamin B receptor, an integral membrane protein found in the inner nuclear membrane.The dual binding functions of the encoded protein may explain the association of heterochromatin with the inner nuclear membrane.This protein binds histone H3 tails methylated at Lys-9 sites.This protein is also recruited to sites of ultraviolet-induced DNA damage and double-strand breaks. |
Other Clones
{{antibodyDetailsPage.numTotal}} Results
-
{{item.title}}
Citations ({{item.publications_count}}) Manual MSDS
Cat.No.:{{item.cat}}
{{index}} {{goods_show_value}}
Other Formats
{{formatDetailsPage.numTotal}} Results
Unconjugated
-
{{item.title}}
Citations ({{item.publications_count}}) Manual MSDS
Cat.No.:{{item.cat}}
{{index}} {{goods_show_value}}
-
IF:{{item.impact}}
Journal:{{item.journal}} ({{item.year}})
DOI:{{item.doi}}Reactivity:{{item.species}}
Sample Type:{{item.organization}}
-
Q{{(FAQpage.currentPage - 1)*pageSize+index+1}}:{{item.name}}

