CD31 Polyclonal Antibody (E-AB-15822)
For research use only.
| Verified Samples |
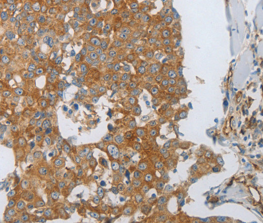
Verified Samples in WB: Jurkat Verified Samples in IHC: Human breast cancer, Human colon cancer |
| Dilution | WB 1:500-1:2000, IHC 1:25-1:100 |
| Isotype | IgG |
| Host | Rabbit |
| Reactivity | Human, Mouse |
| Applications | WB, IHC |
| Clonality | Polyclonal |
| Immunogen | Synthetic peptide of human PECAM1 |
| Abbre | CD31 |
| Synonyms | Adhesion molecule, CD31, CD31 EndoCAM, CD31 antigen, EndoCAM, FLJ34100, FLJ58394, GPIIA, GPIIA', PECA1, PECAM, PECAM 1 CD31 EndoCAM, PECAM-1, Pecam 1, Pecam1, Platelet and endothelial cell adhesion molecule 1, Platelet endothelial cell adhesion molecule, Platelet/en |
| Swissprot | |
| Calculated MW | 83 kDa |
| Observed MW |
130 kDaa
The actual band is not consistent with the expectation.
Western blotting is a method for detecting a certain protein in a complex sample based on the specific binding of antigen and antibody. Different proteins can be divided into bands based on different mobility rates. The mobility is affected by many factors, which may cause the observed band size to be inconsistent with the expected size. The common factors include: 1. Post-translational modifications: For example, modifications such as glycosylation, phosphorylation, methylation, and acetylation will increase the molecular weight of the protein. 2. Splicing variants: Different expression patterns of various mRNA splicing bodies may produce proteins of different sizes. 3. Post-translational cleavage: Many proteins are first synthesized into precursor proteins and then cleaved to form active forms, such as COL1A1. 4. Relative charge: the composition of amino acids (the proportion of charged amino acids and uncharged amino acids). 5. Formation of multimers: For example, in protein dimer, strong interactions between proteins can cause the bands to be larger. However, the use of reducing conditions can usually avoid the formation of multimers. If a protein in a sample has different modified forms at the same time, multiple bands may be detected on the membrane. |
| Cellular Localization | Membrane |
| Concentration | 0.3 mg/mL |
| Buffer | Phosphate buffered solution, pH 7.4, containing 0.05% stabilizer and 50% glycerol. |
| Purification Method | Affinity purification |
| Research Areas | Cancer, Cardiovascular, Immunology, Signal Transduction, Stem Cells |
| Conjugation | Unconjugated |
| Storage | Store at -20°C Valid for 12 months. Avoid freeze / thaw cycles. |
| Shipping | The product is shipped with ice pack,upon receipt,store it immediately at the temperature recommended. |
| background | The protein encoded by this gene is found on the surface of platelets, monocytes, neutrophils, and some types of T-cells, and makes up a large portion of endothelial cell intercellular junctions. The encoded protein is a member of the immunoglobulin superfamily and is likely involved in leukocyte migration, angiogenesis, and integrin activation. |
| Cat.No. | Product Name | Clone No. |
|---|
-
IF:{{item.impact}}
Journal:{{item.journal}} ({{item.year}})
DOI:{{item.doi}}Reactivity:{{item.species}}
Sample Type:{{item.sample_type}}
-
Q{{(FAQpage.currentPage - 1)*pageSize+index+1}}:{{item.name}}
No files available. Please enter the correct identification code in the search area to query the relevant documents.
| Title | Status | Valid until | Action | |
|---|---|---|---|---|
| {{v.文件名}} | {{v.status_str}} | {{v.timestamp_str}} | Download | / |
*Note:Please download the relevant files within the validity period. After expiration, file preview and download will not be available on the page.

