Claudin18.2 Monoclonal Antibody (AN200149P)
-
-
-
- +1
For research use only.
| Verified Samples |
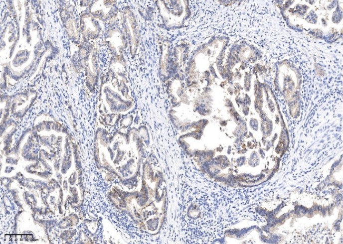
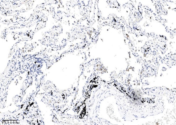
Verified Samples in WB: Human Claudin18.2-VLP (Full Length) Protein, Virus-Like Particle (VLP) isotype control Protein Verified Samples in IHC: Human stomach, Human lung, Human gastric cancer |
| Dilution | WB 1:500-1:2000, IHC-P 1:500-1:2000, |
| Isotype | IgG2a |
| Host | Mouse |
| Reactivity | Human |
| Applications | WB, IHC-P |
| Clonality | Monoclonal |
| Immunogen | Human Claudin18.2 mRNA |
| Abbre | CLDN18 |
| Synonyms | UNQ, PRO, CLDN, SFTA, Claudin, Claudin-, CLDN18, SFTA5, SFTPJ, Claudin-18, Claudin-18.2, UNQ778, PRO1572, SPJ |
| Swissprot | |
| Concentration | 1 mg/mL |
| Buffer | 0.2 μm filtered solution in PBS |
| Purification Method | Protein A |
| Research Areas | Signal Transduction |
| Clone No. | A1001 |
| Conjugation | Unconjugated |
| Storage | This antibody can be stored at 2℃-8℃ for one month without detectable loss of activity. Antibody products are stable for twelve months from date of receipt when stored at -20℃ to -80℃. Preservative-Free. Avoid repeated freeze-thaw cycles. |
| Shipping | Ice bag |
| background | This gene encodes a member of the claudin family. Claudins are integral membrane proteins and components of tight junction strands. Tight junction strands serve as a physical barrier to prevent solutes and water from passing freely through the paracellular space between epithelial or endothelial cell sheets, and also play critical roles in maintaining cell polarity and signal transductions. This gene is upregulated in patients with ulcerative colitis and highly overexpressed in infiltrating ductal adenocarcinomas. PKC/MAPK/AP-1 (protein kinase C/mitogen-activated protein kinase/activator protein-2) dependent pathway regulates the expression of this gene in gastric cells. Alternatively spliced transcript variants encoding different isoforms have been identified. |
Other Clones
{{antibodyDetailsPage.numTotal}} Results
-
{{item.title}}
Citations ({{item.publications_count}}) Manual MSDS
Cat.No.:{{item.cat}}
{{index}} {{goods_show_value}}
Other Formats
{{formatDetailsPage.numTotal}} Results
Unconjugated
-
{{item.title}}
Citations ({{item.publications_count}}) Manual MSDS
Cat.No.:{{item.cat}}
{{index}} {{goods_show_value}}
-
IF:{{item.impact}}
Journal:{{item.journal}} ({{item.year}})
DOI:{{item.doi}}Reactivity:{{item.species}}
Sample Type:{{item.organization}}
-
Q{{(FAQpage.currentPage - 1)*pageSize+index+1}}:{{item.name}}

