Fast Coomassie Blue Staining Solution (10×) (E-IR-R129)
For research use only.
| Product Introduction |
Elabscience® Fast Coomassie Blue Staining Solution uses coomassie blue G250 as the dye. It could stain SDS-PAGE or Native-PAGE gels rapidly. This solution is non-toxic, no pungent smelling, with integrates fast, high precision, easy to destain and stability.
Fast: Wash the gel for 5 min and stained for 10 min, and the electrophoresis bands could be observed.
High precision: 200 ng bands can be detected after 10 min of staining, refer to Figure 1a. However it is difficult to detect by conventional staining, refer to Figure 1b.
Low background: The bands can be observed without destaining, and the low background images can be obtained by destaining with DI water, extend destaining time could be better. Refer to Figure 2.
![]()
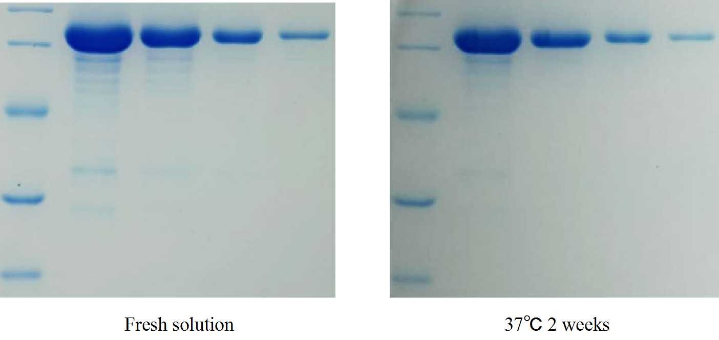
Stability: Storage of the solution at 37℃ for 2 weeks has no significant difference in dyeing effect, refer to Figure 3.
|
| Applications | WB |
| Storage | Store at RT for 6 months in dark or store at 2~8℃ for 12 months. |
| Shipping | The product is shipped with ice pack,upon receipt,store it immediately at the temperature recommended. |
| Cautions |
1. This solution is acidic and corrosive slightly. For your safety and health, please wear the lab coat and disposable gloves before the experiments. 2. It is better to use DI water, but the pure water also can be used instead of DI water. 3. Avoid breaking the gel due when heat with the microwave. |
Other Clones
{{antibodyDetailsPage.numTotal}} Results
-
{{item.title}}
Citations ({{item.publications_count}}) Manual MSDS
Cat.No.:{{item.cat}}
{{index}} {{goods_show_value}}
Other Formats
{{formatDetailsPage.numTotal}} Results
Biotin
Chromogenic Biotin
Cyanine 3
Cyanine 5
Cyanine 5.5
Cyanine 7
Elab Fluor® 430
Elab Fluor® 488
Elab Fluor® 568
Elab Fluor® 594
Elab Fluor® 647
Elab Fluor® 680
Elab Fluor® 700
Elab Fluor® 750
Elab Fluor® Red 780
Elab Fluor® Violet 450
Elab Fluor®488
Elab Fluor®594
Elab Fluor®647
Elab Fluor®Violet 450
FITC
HRP
NHS-Biotin
NHS-LC-LC-Biotin
Sulfo-NHS-Biotin
Sulfo-NHS-LC-LC-Biotin
Unconjugated
-
{{item.title}}
Citations ({{item.publications_count}}) Manual MSDS
Cat.No.:{{item.cat}}
{{index}} {{goods_show_value}}
-
IF:{{item.impact}}
Journal:{{item.journal}} ({{item.year}})
DOI:{{item.doi}}Reactivity:{{item.species}}
Sample Type:{{item.organization}}
-
Q{{(FAQpage.currentPage - 1)*pageSize+index+1}}:{{item.name}}

