HSPA5 Monoclonal Antibody (E-AB-22167)
For research use only.
| Verified Samples |
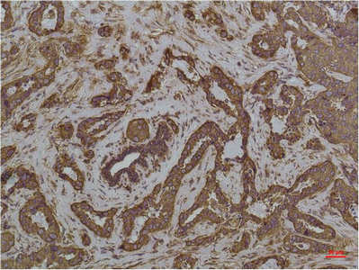
Verified Samples in WB: Hela, Rat liver Verified Samples in IHC: Human colon carcinoma, Human breast carcinoma |
| Dilution | WB 1:1000-2000, IHC 1:100-200 |
| Isotype | IgG |
| Host | Mouse |
| Reactivity | Human, Rat |
| Applications | WB, IHC-p |
| Clonality | Monoclonal |
| Immunogen | Synthetic Peptide |
| Abbre | GRP78/Bip |
| Synonyms | 78 kDa glucose regulated protein, 78 kDa glucose-regulated protein, AL022860, AU019543, BIP, D2Wsu141e, D2Wsu17e, Endoplasmic reticulum lumenal Ca(2+)-binding protein grp78, Endoplasmic reticulum lumenal Ca2+ binding protein grp78, Epididymis secretory sperm bindi |
| Swissprot | |
| Observed MW |
78 kDa
The actual band is not consistent with the expectation.
Western blotting is a method for detecting a certain protein in a complex sample based on the specific binding of antigen and antibody. Different proteins can be divided into bands based on different mobility rates. The mobility is affected by many factors, which may cause the observed band size to be inconsistent with the expected size. The common factors include: 1. Post-translational modifications: For example, modifications such as glycosylation, phosphorylation, methylation, and acetylation will increase the molecular weight of the protein. 2. Splicing variants: Different expression patterns of various mRNA splicing bodies may produce proteins of different sizes. 3. Post-translational cleavage: Many proteins are first synthesized into precursor proteins and then cleaved to form active forms, such as COL1A1. 4. Relative charge: the composition of amino acids (the proportion of charged amino acids and uncharged amino acids). 5. Formation of multimers: For example, in protein dimer, strong interactions between proteins can cause the bands to be larger. However, the use of reducing conditions can usually avoid the formation of multimers. If a protein in a sample has different modified forms at the same time, multiple bands may be detected on the membrane. |
| Cellular Localization | Endoplasmic reticulum lumen. Melanosome. Cytoplasm. Identified by mass spectrometry in melanosome fractions from stage I to stage IV. |
| Concentration | 1 mg/mL |
| Buffer | Phosphate buffered solution, pH 7.4, containing 0.05% stabilizer, 0.5% protein protectant and 50% glycerol. |
| Purification Method | Protein A purification |
| Research Areas | Cancer, Tags & Cell Markers |
| Clone | 8G3 |
| Conjugation | Unconjugated |
| Storage | Store at -20°C Valid for 12 months. Avoid freeze / thaw cycles. |
| Shipping | The product is shipped with ice pack,upon receipt,store it immediately at the temperature recommended. |
| background | Probably plays a role in facilitating the assembly of multimeric protein complexes inside the endoplasmic reticulum. Involved in the correct folding of proteins and degradation of misfolded proteins via its interaction with DNAJC10, probably to facilitate the release of DNAJC10 from its substrate. |
| Cat.No. | Product Name | Clone No. |
|---|
-
IF:{{item.impact}}
Journal:{{item.journal}} ({{item.year}})
DOI:{{item.doi}}Reactivity:{{item.species}}
Sample Type:{{item.sample_type}}
-
Q{{(FAQpage.currentPage - 1)*pageSize+index+1}}:{{item.name}}
No files available. Please enter the correct identification code in the search area to query the relevant documents.
| Title | Status | Valid until | Action | |
|---|---|---|---|---|
| {{v.文件名}} | {{v.status_str}} | {{v.timestamp_str}} | Download | / |
*Note:Please download the relevant files within the validity period. After expiration, file preview and download will not be available on the page.

