I-TAC/CXCL11 Monoclonal Antibody (AN200051P)
For research use only.
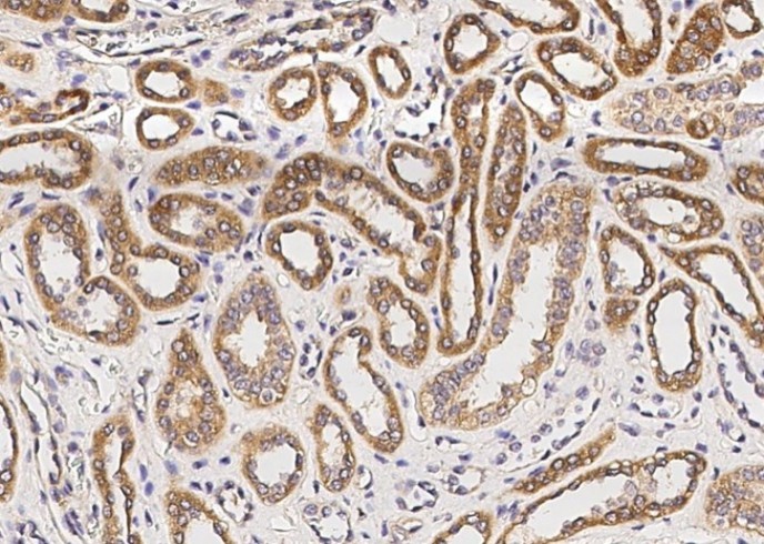
| Verified Samples | Verified Samples in IHC: Human liver, Human kidney |
| Dilution | IHC-P 1:50-1:200, |
| Isotype | IgG1 |
| Host | Mouse |
| Reactivity | Human |
| Applications | IHC-P |
| Clonality | Monoclonal |
| Immunogen | Recombinant Human I-TAC / CXCL11 Protein |
| Abbre | CXCL11 |
| Synonyms | b-R, CXCL, SCYB, CXCL11, H174, I-TAC, IP-9, IP9, SCYB11, SCYB9B, b-R1, Interferon Inducible T-Cell α Chemokine, ITAC |
| Swissprot | |
| Concentration | 1 mg/mL |
| Buffer | 0.2 μm filtered solution in PBS |
| Purification Method | Protein A |
| Research Areas | Immunology, Neuroscience |
| Clone No. | A895 |
| Conjugation | Unconjugated |
| Storage | This antibody can be stored at 2℃-8℃ for one month without detectable loss of activity. Antibody products are stable for twelve months from date of receipt when stored at -20℃ to -80℃. Preservative-Free. Avoid repeated freeze-thaw cycles. |
| Shipping | Ice bag |
| background | I-TAC, also known as CXCL11, is a small cytokine belonging to the CXC chemokine family. It is highly expressed in peripheral blood leukocytes, pancreas and liver, with moderate levels in thymus, spleen and lung and low expression levels were in small intestine, placenta and prostate. The I-TAC chemokine elicits its effects on its target cells by interacting with the cell surface chemokine receptor CXCR3, with a higher affinity than do the other ligands for this receptor, CXCL9 and CXCL10. I-TAC is chemotactic for activated T cells. The CXCL11 gene is located on human chromosome 4 along with many other members of the CXC chemokine family. |
Other Clones
{{antibodyDetailsPage.numTotal}} Results
-
{{item.title}}
Citations ({{item.publications_count}}) Manual MSDS
Cat.No.:{{item.cat}}
{{index}} {{goods_show_value}}
Other Formats
{{formatDetailsPage.numTotal}} Results
Unconjugated
-
{{item.title}}
Citations ({{item.publications_count}}) Manual MSDS
Cat.No.:{{item.cat}}
{{index}} {{goods_show_value}}
-
IF:{{item.impact}}
Journal:{{item.journal}} ({{item.year}})
DOI:{{item.doi}}Reactivity:{{item.species}}
Sample Type:{{item.organization}}
-
Q{{(FAQpage.currentPage - 1)*pageSize+index+1}}:{{item.name}}

