KHDRBS2 Polyclonal Antibody (E-AB-63223)
-
-
-
- +1
For research use only.
| Verified Samples |
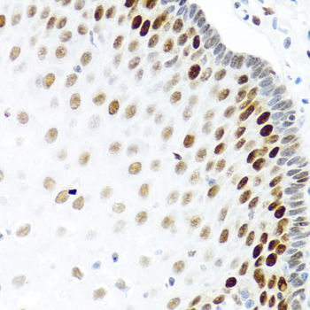
Verified Samples in WB: HeLa, 293T, Jurkat, K562 Verified Samples in IHC: Human prostate cancer, Human esophagus, Human stomach |
| Dilution | WB 1:500-1:1000, IHC 1:100-1:200 |
| Isotype | IgG |
| Host | Rabbit |
| Reactivity | Human, Mouse |
| Applications | WB, IHC |
| Clonality | Polyclonal |
| Immunogen | A synthetic peptide of human KHDRBS2 (NP_689901.2). |
| Abbre | KHDRBS2 |
| Synonyms | KHDRBS2, SLM-1, SLM1 |
| Swissprot | |
| Calculated MW | 38 kDa |
| Observed MW |
39 kDa
The actual band is not consistent with the expectation.
Western blotting is a method for detecting a certain protein in a complex sample based on the specific binding of antigen and antibody. Different proteins can be divided into bands based on different mobility rates. The mobility is affected by many factors, which may cause the observed band size to be inconsistent with the expected size. The common factors include: 1. Post-translational modifications: For example, modifications such as glycosylation, phosphorylation, methylation, and acetylation will increase the molecular weight of the protein. 2. Splicing variants: Different expression patterns of various mRNA splicing bodies may produce proteins of different sizes. 3. Post-translational cleavage: Many proteins are first synthesized into precursor proteins and then cleaved to form active forms, such as COL1A1. 4. Relative charge: the composition of amino acids (the proportion of charged amino acids and uncharged amino acids). 5. Formation of multimers: For example, in protein dimer, strong interactions between proteins can cause the bands to be larger. However, the use of reducing conditions can usually avoid the formation of multimers. If a protein in a sample has different modified forms at the same time, multiple bands may be detected on the membrane. |
| Cellular Localization | Nucleus. |
| Concentration | 1 mg/mL |
| Buffer | Phosphate buffered solution, pH 7.4, containing 0.05% stabilizer and 50% glycerol. |
| Purification Method | Affinity purification |
| Research Areas | Cancer, Epigenetics and Nuclear Signaling |
| Conjugation | Unconjugated |
| Storage | Store at -20°C Valid for 12 months. Avoid freeze / thaw cycles. |
| Shipping | The product is shipped with ice pack,upon receipt,store it immediately at the temperature recommended. |
| background | KHDRBS2 (KH RNA Binding Domain Containing, Signal Transduction Associated 2) is a Protein Coding gene. Diseases associated with KHDRBS2 include Atrial Septal Defect 2. Among its related pathways are Signaling by GPCR and Signaling by PTK6. Gene Ontology (GO) annotations related to this gene include nucleic acid binding and protein heterodimerization activity. An important paralog of this gene is KHDRBS3. |
Other Clones
{{antibodyDetailsPage.numTotal}} Results
-
{{item.title}}
Citations ({{item.publications_count}}) Manual MSDS
Cat.No.:{{item.cat}}
{{index}} {{goods_show_value}}
Other Formats
{{formatDetailsPage.numTotal}} Results
Unconjugated
-
{{item.title}}
Citations ({{item.publications_count}}) Manual MSDS
Cat.No.:{{item.cat}}
{{index}} {{goods_show_value}}
-
IF:{{item.impact}}
Journal:{{item.journal}} ({{item.year}})
DOI:{{item.doi}}Reactivity:{{item.species}}
Sample Type:{{item.organization}}
-
Q{{(FAQpage.currentPage - 1)*pageSize+index+1}}:{{item.name}}

