MGP Polyclonal Antibody (E-AB-52676)
For research use only.
| Verified Samples |
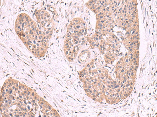
Verified Samples in IHC: Human esophagus cancer |
| Dilution | IHC 1:50-1:300 |
| Isotype | IgG |
| Host | Rabbit |
| Reactivity | Human, Mouse, Rat |
| Applications | IHC |
| Clonality | Polyclonal |
| Immunogen | Fusion protein of human MGP |
| Abbre | MGP |
| Synonyms | Cell growth inhibiting gene 36 protein, Cell growth-inhibiting gene 36 protein, GAMMA-CARBOXYGLUTAMIC ACID PROTEIN, GIG36, MATRIX, MGLAP, MGP, Matrix Gla protein, NTI |
| Swissprot | |
| Cellular Localization | Secreted. |
| Concentration | 0.84 mg/mL |
| Buffer | Phosphate buffered solution, pH 7.4, containing 0.05% stabilizer and 50% glycerol. |
| Purification Method | Antigen affinity purification |
| Research Areas | Signal Transduction |
| Conjugation | Unconjugated |
| Storage | Store at -20°C Valid for 12 months. Avoid freeze / thaw cycles. |
| Shipping | The product is shipped with ice pack,upon receipt,store it immediately at the temperature recommended. |
| background | Matrix Gla protein (MGP) is is a vitamin K-dependent,extracellular matrix protein. MGP plays a pivotal role in preventing soft tissue calcification and local mineralization of the vascular wall. Vitamin K deficiency leads to inactive uncarboxylated MGP (ucMGP),which accumulates at sites of arterial calcification. However MGP is synthesized in many tissues and is especially enriched in embryonic tissues and in cancer cells. Defects in MGP are the cause of Keutel syndrome (KS),which is an autosomal recessive disorder characterized by abnormal cartilage calcification,peripheral pulmonary stenosis neural hearing loss and midfacial hypoplasia. |
Other Clones
{{antibodyDetailsPage.numTotal}} Results
-
{{item.title}}
Citations ({{item.publications_count}}) Manual MSDS
Cat.No.:{{item.cat}}
{{index}} {{goods_show_value}}
Other Formats
{{formatDetailsPage.numTotal}} Results
Unconjugated
-
{{item.title}}
Citations ({{item.publications_count}}) Manual MSDS
Cat.No.:{{item.cat}}
{{index}} {{goods_show_value}}
-
IF:{{item.impact}}
Journal:{{item.journal}} ({{item.year}})
DOI:{{item.doi}}Reactivity:{{item.species}}
Sample Type:{{item.organization}}
-
Q{{(FAQpage.currentPage - 1)*pageSize+index+1}}:{{item.name}}

