MUC5B Polyclonal Antibody (E-AB-15988)
For research use only.
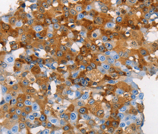
| Verified Samples |
Verified Samples in IHC: Human cervical cancer |
| Dilution | IHC 1:50-1:200 |
| Isotype | IgG |
| Host | Rabbit |
| Reactivity | Human |
| Applications | IHC |
| Clonality | Polyclonal |
| Immunogen | Synthetic peptide of human MUC5B |
| Abbre | MUC5B |
| Synonyms | 2300002I04Rik, A130042M24, AV085033, Cervical mucin, Cervical mucin MUC5B, High molecular weight salivary mucin MG1, MG1, MUC-5B, MUC5, MUC5B, MUC9, Mucin 5 subtype B, Mucin 5B, Mucin 5B oligomeric mucus/gel forming, Mucin-5 subtype B, Mucin-5B, Su, tracheobronchial |
| Swissprot | |
| Cellular Localization | Secreted. |
| Concentration | 0.3 mg/mL |
| Buffer | Phosphate buffered solution, pH 7.4, containing 0.05% stabilizer and 50% glycerol. |
| Purification Method | Affinity purification |
| Research Areas | Cancer, Cell Biology, Signal Transduction |
| Conjugation | Unconjugated |
| Storage | Store at -20°C Valid for 12 months. Avoid freeze / thaw cycles. |
| Shipping | The product is shipped with ice pack,upon receipt,store it immediately at the temperature recommended. |
| background | This gene encodes a member of the mucin family of proteins, which are highly glycosylated macromolecular components of mucus secretions. This family member is the major gel-forming mucin in mucus. It is a major contributor to the lubricating and viscoelastic properties of whole saliva, normal lung mucus and cervical mucus. This gene has been found to be up-regulated in some human diseases, including sinus mucosa of chronic rhinosinusitis (CRS), CRS with nasal polyposis, chronic obstructive pulmonary disease (COPD) and H. pylori-associated gastric disease, and it may be involved in the pathogenesis of these diseases. |
Other Clones
{{antibodyDetailsPage.numTotal}} Results
-
{{item.title}}
Citations ({{item.publications_count}}) Manual MSDS
Cat.No.:{{item.cat}}
{{index}} {{goods_show_value}}
Other Formats
{{formatDetailsPage.numTotal}} Results
Unconjugated
-
{{item.title}}
Citations ({{item.publications_count}}) Manual MSDS
Cat.No.:{{item.cat}}
{{index}} {{goods_show_value}}
-
IF:{{item.impact}}
Journal:{{item.journal}} ({{item.year}})
DOI:{{item.doi}}Reactivity:{{item.species}}
Sample Type:{{item.organization}}
-
Q{{(FAQpage.currentPage - 1)*pageSize+index+1}}:{{item.name}}

