NCI-H23 Cell Complete Medium (CM-0397)
 
                        - 
                                                                  
- 
                                                                  
- 
                                                                  
- +3
For research use only.
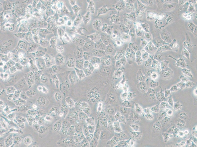
| Product Introduction | NCI-H23 Cell Complete Medium is a ready-to-use medium that can be directly used for the culture of NCI-H23 cells, which is carefully designed and optimized by Pricella's R&D team based on RPMI-1640 basal medium. This high-quality complete medium has been strictly verified by NCI-H23 cells which could promote cell proliferation and maintain cell properties. | 
| Concentration | 1× | 
| Format | Liquid | 
| Mycoplasmal Detection | Negative | 
| pH | 7.4-7.8 | 
| Components | RPMI-1640 [PM150110]+10% Nutrient+1% Supplement | 
| Green Features | Sustainable packaging | 
| Endotoxin Level (EU/mL) | < 3 | 
| Storage | This product can be stored at 2-8℃ for 6 months with shading light. | 
| Shipping | Ice bag | 
| Expiration Date | 6 months | 
| Matters Need Attention | 1. This product is for research use only. 2. This product is sterilized by 0.1 μm filtration. 3. It is necessary to pay attention to the aseptic operation and avoid the contamination during the culture. 4. It is not suitable for long time storage at room temperature. 5. This product is a ready-to-use medium. If there is no special need, don't add serum, penicillin and streptomycin. It can be used directly. | 
| System Certification | GMP Production and Quality System The company complies with cGMP requirements, holds the NMPA medical device registration certificate, and is certified under ISO 13485 and ISO 9001 standards. Among its products, the company's NCI-H23 Cell Complete Medium complies with ISO 9001. | 
Other Clones
{{antibodyDetailsPage.numTotal}} Results
- 
                                    
                                    
                                    {{item.title}}
                                    Citations ({{item.publications_count}}) Manual MSDS Cat.No.:{{item.cat}} {{index}} {{goods_show_value}} 
Other Formats
{{formatDetailsPage.numTotal}} Results
- 
                                    
                                    
                                    {{item.title}}
                                    Citations ({{item.publications_count}}) Manual MSDS Cat.No.:{{item.cat}} {{index}} {{goods_show_value}} 
- 
                                    
                                    IF:{{item.impact}} Journal:{{item.journal}} ({{item.year}}) DOI:{{item.doi}}Reactivity:{{item.species}} Sample Type:{{item.organization}} 
- 
                                    Q{{(FAQpage.currentPage - 1)*pageSize+index+1}}:{{item.name}} 
 
                            

 
                