PARP-1 Monoclonal Antibody (AN200039P)
For research use only.
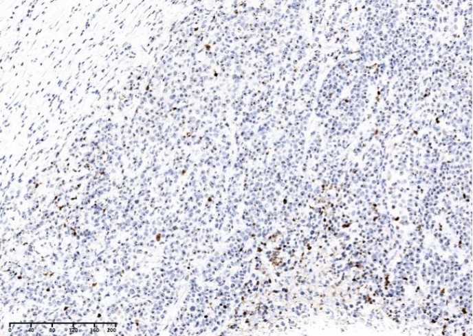
| Verified Samples | Verified Samples in IHC: Human tonsil, Human colon carcinoma |
| Dilution | IHC-P 1:100-1:500, |
| Isotype | IgG2a |
| Host | Mouse |
| Reactivity | Human |
| Applications | IHC-P |
| Clonality | Monoclonal |
| Immunogen | A synthetic peptide corresponding to the center region of the Human PARP-1 |
| Abbre | PARP1 |
| Synonyms | SCA, ARTD, Poly[ADP-ribose] synthase, Poly ADP ribose polymerase, poly(ADP-ribose) polymerase, Poly [ADP-ribose] polymerase, NAD(+) ADP-ribosyltransferase, ADP-ribosyltransferase diphtheria toxin-like, pADPRT, ADPRT, ADPRT 1, ADPRT1, ARTD1, PARP, PARP-1, PPOL, pADPRT-1, PARP1, Cleaved PARP, ADP-ribosyltransferase diphtheria toxin-like 1, APOPAIN, NAD(+) ADP-ribosyltransferase 1, Poly [ADP-ribose] polymerase 1, Poly ADP ribose polymerase 1, poly(ADP-ribose) polymerase 1, Poly[ADP-ribose] synthase 1, SCA1, ADPRT, ADPRT 1, ADPRT1, ARTD1, pADPRT-1, PARP, PARP-1, poly(ADP-ribose) polymerase 1, PPOL |
| Swissprot | |
| Cellular Localization | Nucleus, Cytoplasm. |
| Concentration | 1 mg/mL |
| Buffer | 0.2 μm filtered solution in PBS |
| Purification Method | Protein A |
| Research Areas | Cell Biology, Epigenetics and Nuclear Signaling, Metabolism, Cancer |
| Clone No. | A883 |
| Conjugation | Unconjugated |
| Storage | This antibody can be stored at 2℃-8℃ for one month without detectable loss of activity. Antibody products are stable for twelve months from date of receipt when stored at -20℃ to -80℃. Preservative-Free. Avoid repeated freeze-thaw cycles. |
| Shipping | Ice bag |
| background | This gene encodes a chromatin-associated enzyme, poly(ADP-ribosyl)transferase, which modifies various nuclear proteins by poly(ADP-ribosyl)ation. The modification is dependent on DNA and is involved in the regulation of various important cellular processes such as differentiation, proliferation, and tumor transformation and also in the regulation of the molecular events involved in the recovery of cell from DNA damage. In addition, this enzyme may be the site of mutation in Fanconi anemia, and may participate in the pathophysiology of type I diabetes. |
Other Clones
{{antibodyDetailsPage.numTotal}} Results
-
{{item.title}}
Citations ({{item.publications_count}}) Manual MSDS
Cat.No.:{{item.cat}}
{{index}} {{goods_show_value}}
Other Formats
{{formatDetailsPage.numTotal}} Results
Unconjugated
-
{{item.title}}
Citations ({{item.publications_count}}) Manual MSDS
Cat.No.:{{item.cat}}
{{index}} {{goods_show_value}}
-
IF:{{item.impact}}
Journal:{{item.journal}} ({{item.year}})
DOI:{{item.doi}}Reactivity:{{item.species}}
Sample Type:{{item.organization}}
-
Q{{(FAQpage.currentPage - 1)*pageSize+index+1}}:{{item.name}}

