PHPT1 Polyclonal Antibody (E-AB-53026)
For research use only.
| Verified Samples |
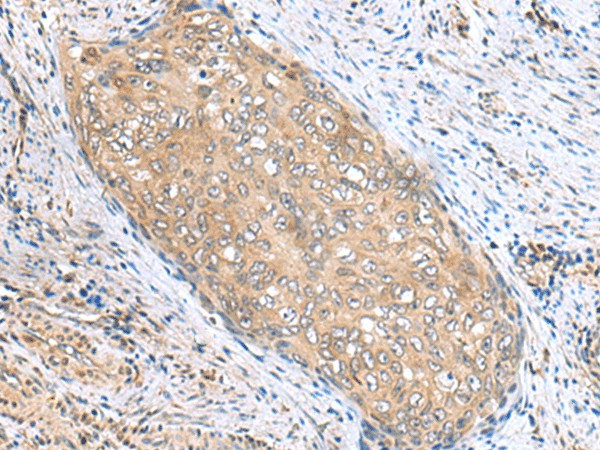
Verified Samples in WB: 231 Verified Samples in IHC: Human colorectal cancer, Human cervical cancer |
| Dilution | WB 1:1000-1:5000, IHC 1:200-1:300 |
| Isotype | IgG |
| Host | Rabbit |
| Reactivity | Human, Mouse |
| Applications | WB, IHC |
| Clonality | Polyclonal |
| Immunogen | Fusion protein of human PHPT1 |
| Abbre | PHPT1 |
| Synonyms | 14 kDa phosphohistidine phosphatase, CGI 202, HSPC141, PHP14, PHPT1, Phosphohistidine phosphatase 1, Protein janus A homolog, Protein janus-A homolog, Sex regulated protein janus a |
| Swissprot | |
| Calculated MW | 14 kDa |
| Observed MW |
Refer to figures
The actual band is not consistent with the expectation.
Western blotting is a method for detecting a certain protein in a complex sample based on the specific binding of antigen and antibody. Different proteins can be divided into bands based on different mobility rates. The mobility is affected by many factors, which may cause the observed band size to be inconsistent with the expected size. The common factors include: 1. Post-translational modifications: For example, modifications such as glycosylation, phosphorylation, methylation, and acetylation will increase the molecular weight of the protein. 2. Splicing variants: Different expression patterns of various mRNA splicing bodies may produce proteins of different sizes. 3. Post-translational cleavage: Many proteins are first synthesized into precursor proteins and then cleaved to form active forms, such as COL1A1. 4. Relative charge: the composition of amino acids (the proportion of charged amino acids and uncharged amino acids). 5. Formation of multimers: For example, in protein dimer, strong interactions between proteins can cause the bands to be larger. However, the use of reducing conditions can usually avoid the formation of multimers. If a protein in a sample has different modified forms at the same time, multiple bands may be detected on the membrane. |
| Cellular Localization | Cytoplasm. |
| Concentration | 1.5 mg/mL |
| Buffer | Phosphate buffered solution, pH 7.4, containing 0.05% stabilizer and 50% glycerol. |
| Purification Method | Antigen affinity purification |
| Conjugation | Unconjugated |
| Storage | Store at -20°C Valid for 12 months. Avoid freeze / thaw cycles. |
| Shipping | The product is shipped with ice pack,upon receipt,store it immediately at the temperature recommended. |
| background | This gene encodes an enzyme that catalyzes the reversible dephosphorylation of histidine residues in proteins. It may be involved in the dephosphorylation of G-beta and ATP citrate lyase and in negatively regulating CD4 T lymphocytes by dephosphorylation and inhibition of KCa3.1 channels. Alternative splicing results in multiple transcript variants. |
Other Clones
{{antibodyDetailsPage.numTotal}} Results
-
{{item.title}}
Citations ({{item.publications_count}}) Manual MSDS
Cat.No.:{{item.cat}}
{{index}} {{goods_show_value}}
Other Formats
{{formatDetailsPage.numTotal}} Results
Unconjugated
-
{{item.title}}
Citations ({{item.publications_count}}) Manual MSDS
Cat.No.:{{item.cat}}
{{index}} {{goods_show_value}}
-
IF:{{item.impact}}
Journal:{{item.journal}} ({{item.year}})
DOI:{{item.doi}}Reactivity:{{item.species}}
Sample Type:{{item.organization}}
-
Q{{(FAQpage.currentPage - 1)*pageSize+index+1}}:{{item.name}}

