Recombinant ACTH Monoclonal Antibody (AN301965L)
Add to cart
For research use only.
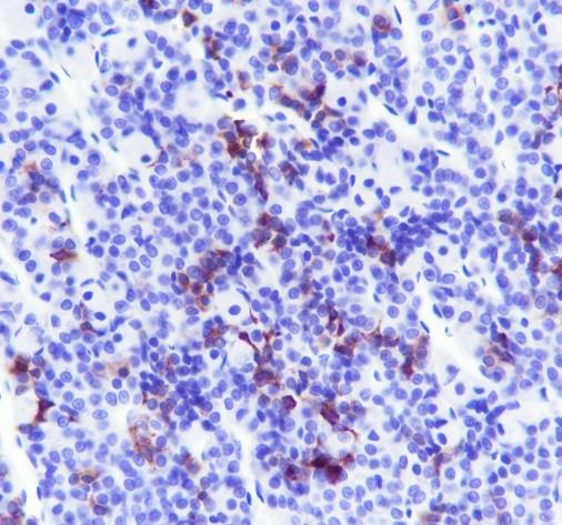
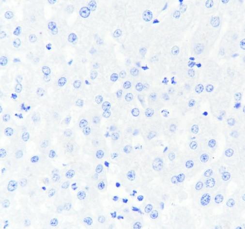
| Verified Samples | Verified Samples in IHC: Human pituitary, Rat pituitary, Human liver(Negative tissue) |
| Dilution | IHC 1:500-1:1000 |
| Isotype | IgG, κ |
| Host | Rabbit |
| Reactivity | Human, Rat |
| Applications | IHC |
| Clonality | Monoclonal;Recombinant |
| Immunogen | Recombinant human ACTH fragment |
| Abbre | ACTH |
| Synonyms | POMC, ACTH, CLIP, LPH, MSH, NPP, POC, Adrenocorticotropin, alpha-intermedin, alpha-melanocortin, alpha-melanotropin, b-EP, Pro-opiomelanocortin, Corticotropin-lipotropin, Gamma-MSH, Corticotropin, Alpha-MSH, Beta-LPH, Gamma-LPH, Beta-MSH, Beta-endorphin, Met-enkephalin, Melanotropin gamma, Potential peptide, Adrenocorticotropic hormone, Alpha melanocyte stimulating hormone, alphaMSH, Beta LPH, Beta melanocyte stimulating hormone, Corticotropin lipotropin, Corticotropin-like intermediary peptide, Gamma LPH, included, Lipotropin, Lipotropin beta, Lipotropin gamma, Melanocyte-stimulating hormone, Melanotropin, Melanotropin alpha, Melanotropin beta, Opiomelanocortin prepropeptide, Pomc1, Pomc-1, Pomc2, Pro ACTH endorphin, Pro opiomelanocortin, Proopiomelanocortin, Proopiomelanocortin preproprotein, Pro-opiomelanocortin-alpha, Tetracosactide, γ-intermedin, γ-melanocortin, γ-melanotropin, ACTH, Adrenocorticotropin, alpha-MSH, Beta-endorphin, beta-MSH, CLIP, Corticotropin, gamma-MSH, LPH, Melanotropin gamma, Met-enkephalin, MSH, NPP, POC, POMC |
| Swissprot | |
| Cellular Localization | Secreted |
| Concentration | 1 mg/mL |
| Buffer | PBS, 50% glycerol, 0.05% Proclin 300, 0.05% protein protectant. |
| Purification Method | Protein A purified |
| Research Areas | Neuroscience, Signal Transduction, Cancer, Metabolism |
| Clone | A681 |
| Conjugation | Unconjugated |
| Storage | Store at -20°C Valid for 12 months. Avoid freeze / thaw cycles. |
| Shipping | Ice bag |
| background | ACTH, adrenocorticotropic hormone, is a peptide hormone cleavage product of the POMC protein produced by the pituitary gland. ACTH plays an important role in stress and circadian rhythm signaling. Its primary action is on the adrenal cortex, where its binding induces the secretion of glucocorticoid steroid hormones. The peptide sequence for this hormone is highly evolutionarily conserved amongst mammals. Specifically, for mouse and rat, this sequence shares 100% identity. |
| Cat.No. | Product Name | Clone No. |
|---|
-
IF:{{item.impact}}
Journal:{{item.journal}} ({{item.year}})
DOI:{{item.doi}}Reactivity:{{item.species}}
Sample Type:{{item.sample_type}}
-
Q{{(FAQpage.currentPage - 1)*pageSize+index+1}}:{{item.name}}
No files available. Please enter the correct identification code in the search area to query the relevant documents.
| Title | Status | Valid until | Action | |
|---|---|---|---|---|
| {{v.文件名}} | {{v.status_str}} | {{v.timestamp_str}} | Download | / |
*Note:Please download the relevant files within the validity period. After expiration, file preview and download will not be available on the page.

