Recombinant alpha Smooth Muscle Actin Monoclonal Antibody (E-AB-81457)
 
                        For research use only.
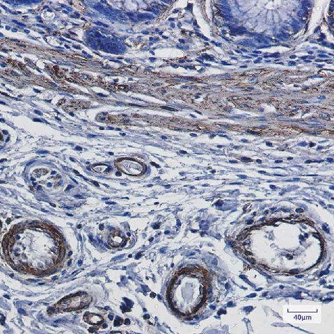
| Verified Samples | Verified Samples in WB: Rat Rat Brain, C6, 3T3, Hela Verified Samples in IHC: Human colon cancer | 
| Dilution | WB 1:500-1:1000, IHC 1:50-1:100 | 
| Isotype | IgG | 
| Host | Rabbit | 
| Reactivity | Human, Mouse, Rat | 
| Applications | WB, IHC-P | 
| Clonality | Rabbit Monoclonal | 
| Immunogen | A synthetic peptide of human alpha smooth muscle Actin | 
| Abbre | alpha Smooth Muscle Actin | 
| Synonyms | AAT6, ACTA, ACTA2, ACTSA, ACTVS, Actin, Actin alpha 2 smooth muscle aorta, Actin aortic smooth muscle, Alpha 2 actin, Alpha actin 2, Alpha cardiac actin, Alpha-actin-2, Cell growth inhibiting gene 46 protein, Cell growth-inhibiti, a actin, alpha sma, aortic smooth muscle | 
| Swissprot | |
| Calculated MW | 42 kDa | 
| Observed MW | 42 kDa 
 Western blotting is a method for detecting a certain protein in a complex sample based on the specific binding of antigen and antibody. Different proteins can be divided into bands based on different mobility rates. The mobility is affected by many factors, which may cause the observed band size to be inconsistent with the expected size. The common factors include: 1. Post-translational modifications: For example, modifications such as glycosylation, phosphorylation, methylation, and acetylation will increase the molecular weight of the protein. 2. Splicing variants: Different expression patterns of various mRNA splicing bodies may produce proteins of different sizes. 3. Post-translational cleavage: Many proteins are first synthesized into precursor proteins and then cleaved to form active forms, such as COL1A1. 4. Relative charge: the composition of amino acids (the proportion of charged amino acids and uncharged amino acids). 5. Formation of multimers: For example, in protein dimer, strong interactions between proteins can cause the bands to be larger. However, the use of reducing conditions can usually avoid the formation of multimers. If a protein in a sample has different modified forms at the same time, multiple bands may be detected on the membrane. | 
| Cellular Localization | Cytoplasm>cytoskeleton. | 
| Concentration | 300 μg/mL | 
| Buffer | 50mM Tris-Glycine(pH 7.4), 0.15M NaCl, 40% Glycerol, 0.05% stabilizer and 0.05% protective protein. | 
| Purification Method | Affinity Purified | 
| Research Areas | Cancer, Cardiovascular, Developmental Biology, Signal Transduction, Stem Cells | 
| Clone No. | R01-8C7 | 
| Conjugation | Unconjugated | 
| Storage | Store at -20°C Valid for 12 months. Avoid freeze / thaw cycles. | 
| Shipping | The product is shipped with ice pack,upon receipt,store it immediately at the temperature recommended. | 
| background | The protein encoded by this gene belongs to the actin family of proteins, which are highly conserved proteins that play a role in cell motility, structure and integrity. Alpha, beta and gamma actin isoforms have been identified, with alpha actins being a major constituent of the contractile apparatus, while beta and gamma actins are involved in the regulation of cell motility. This actin is an alpha actin that is found in skeletal muscle. Defects in this gene cause aortic aneurysm familial thoracic type 6. Multiple alternatively spliced variants, encoding the same protein, have been identified. | 
Other Clones
{{antibodyDetailsPage.numTotal}} Results
- 
                                    
                                    
                                    {{item.title}}
                                    Citations ({{item.publications_count}}) Manual MSDS Cat.No.:{{item.cat}} {{index}} {{goods_show_value}} 
Other Formats
{{formatDetailsPage.numTotal}} Results
Unconjugated
- 
                                    
                                    
                                    {{item.title}}
                                    Citations ({{item.publications_count}}) Manual MSDS Cat.No.:{{item.cat}} {{index}} {{goods_show_value}} 
- 
                                    
                                    IF:{{item.impact}} Journal:{{item.journal}} ({{item.year}}) DOI:{{item.doi}}Reactivity:{{item.species}} Sample Type:{{item.organization}} 
- 
                                    Q{{(FAQpage.currentPage - 1)*pageSize+index+1}}:{{item.name}} 
 
                            

 
                             
                