Recombinant APAF1 Monoclonal Antibody (AN301989L)
-
-
-
- +1
For research use only.
| Verified Samples |
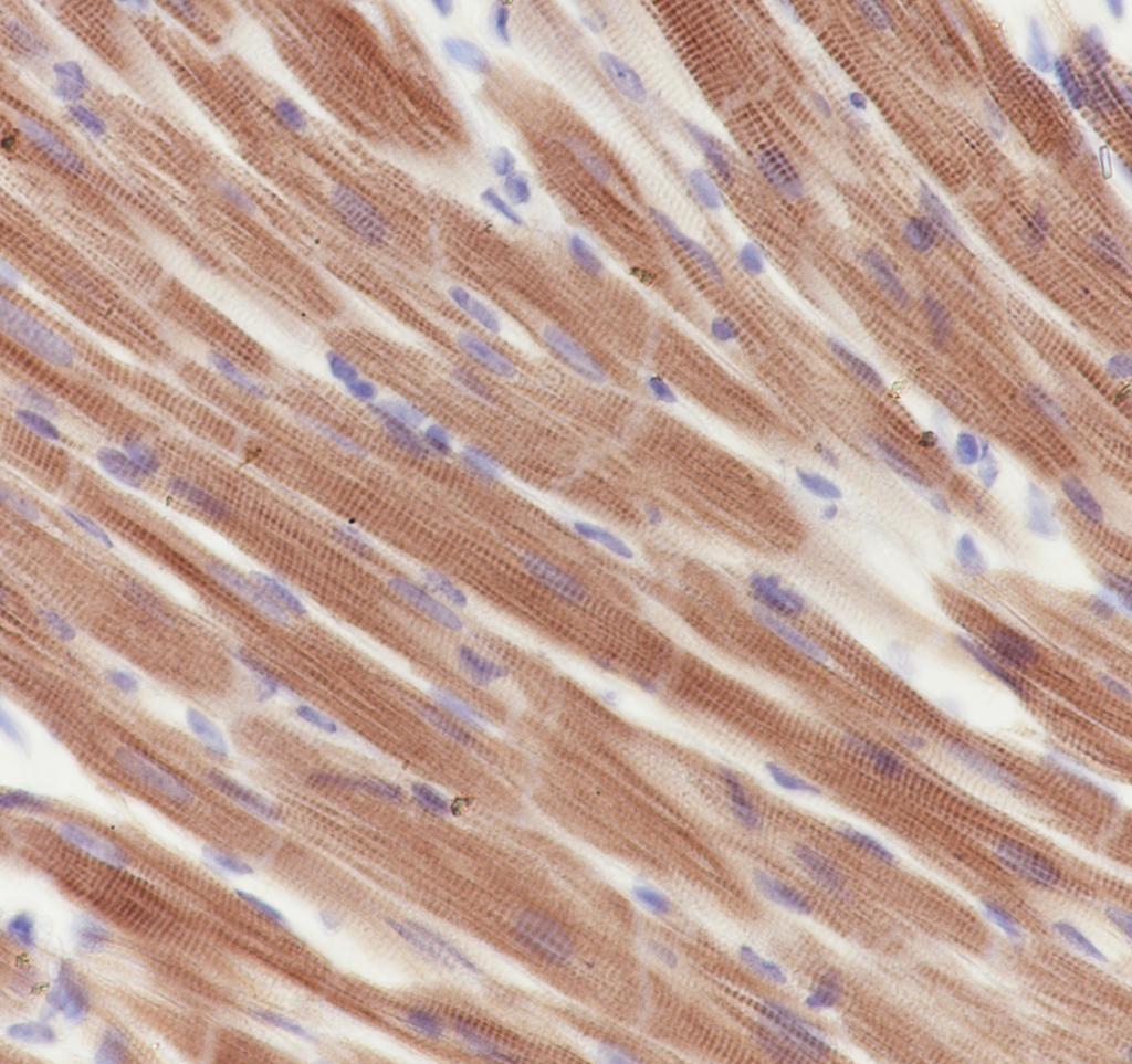
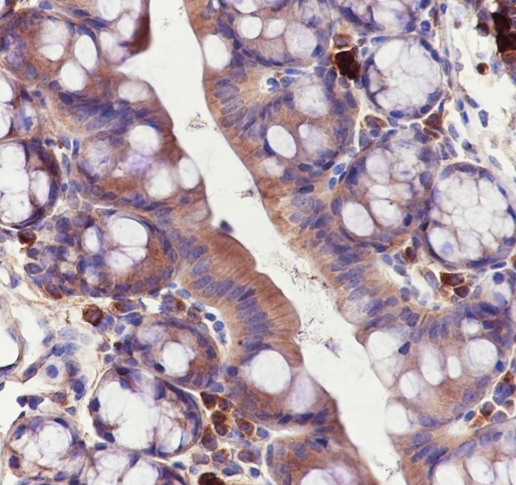
Verified Samples in WB: THP-1, Mouse spleen Verified Samples in IHC: Human cardiac muscle, Mouse colon, Rat cardiac muscle |
| Dilution | WB 1:1000-1:3000, IHC 1:100 |
| Isotype | IgG, κ |
| Host | Rabbit |
| Reactivity | Human, Rat, Mouse |
| Applications | WB, IHC |
| Clonality | Monoclonal;Recombinant |
| Immunogen | Peptide. This information is proprietary to PTMab. |
| Abbre | APAF1 |
| Synonyms | KIAA, Apoptotic protease-activating factor, Apoptotic peptidase activating factor, CED, APAF1, APAF-1, CED4, APAF, APAF 1, Apoptotic peptidase activating factor 1, Apoptotic protease activating factor, Apoptotic protease activating factor 1, Apoptotic protease-activating factor 1, CED 4, KIAA0413 |
| Swissprot | |
| Calculated MW | 142 kDa |
| Observed MW |
140 kDa
The actual band is not consistent with the expectation.
Western blotting is a method for detecting a certain protein in a complex sample based on the specific binding of antigen and antibody. Different proteins can be divided into bands based on different mobility rates. The mobility is affected by many factors, which may cause the observed band size to be inconsistent with the expected size. The common factors include: 1. Post-translational modifications: For example, modifications such as glycosylation, phosphorylation, methylation, and acetylation will increase the molecular weight of the protein. 2. Splicing variants: Different expression patterns of various mRNA splicing bodies may produce proteins of different sizes. 3. Post-translational cleavage: Many proteins are first synthesized into precursor proteins and then cleaved to form active forms, such as COL1A1. 4. Relative charge: the composition of amino acids (the proportion of charged amino acids and uncharged amino acids). 5. Formation of multimers: For example, in protein dimer, strong interactions between proteins can cause the bands to be larger. However, the use of reducing conditions can usually avoid the formation of multimers. If a protein in a sample has different modified forms at the same time, multiple bands may be detected on the membrane. |
| Cellular Localization | Cytoplasm |
| Concentration | 1 mg/mL |
| Buffer | PBS, 50% glycerol, 0.05% Proclin 300, 0.05% protein protectant. |
| Purification Method | Protein A purified |
| Research Areas | Cell Biology, Cancer, Metabolism |
| Clone No. | A709 |
| Conjugation | Unconjugated |
| Storage | Store at -20°C Valid for 12 months. Avoid freeze / thaw cycles. |
| Shipping | Ice bag |
| background | Apoptotic protease activating factor 1 (Apaf-1), originally identified as the mammalian homolog of the C. elegans apoptotic regulatory protein CED-4, is an important signaling protein involved in the activation of caspase-9 during apoptosis. Cytosolic Apaf-1 forms a complex with caspase-9 in the presence of cytochrome c and dATP, ultimately leading to caspase-9 activation and subsequent activation of caspase-3. The protein contains an amino-terminal CARD domain, a central CED-4 homology domain, and multiple WD-40 repeats at the carboxy terminus. Several isoforms of Apaf-1 are expressed through alternative splicing generating a small insert following the CARD domain as well as an extra WD-40 repeat. Apaf-1 knock-out mice display widespread defects in apoptosis and resistance to a variety of apoptotic stimuli. |
Other Clones
{{antibodyDetailsPage.numTotal}} Results
-
{{item.title}}
Citations ({{item.publications_count}}) Manual MSDS
Cat.No.:{{item.cat}}
{{index}} {{goods_show_value}}
Other Formats
{{formatDetailsPage.numTotal}} Results
Unconjugated
-
{{item.title}}
Citations ({{item.publications_count}}) Manual MSDS
Cat.No.:{{item.cat}}
{{index}} {{goods_show_value}}
-
IF:{{item.impact}}
Journal:{{item.journal}} ({{item.year}})
DOI:{{item.doi}}Reactivity:{{item.species}}
Sample Type:{{item.organization}}
-
Q{{(FAQpage.currentPage - 1)*pageSize+index+1}}:{{item.name}}

