Recombinant Bax Monoclonal Antibody (AN300976L)
                        For research use only.
| Verified Samples | 
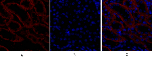
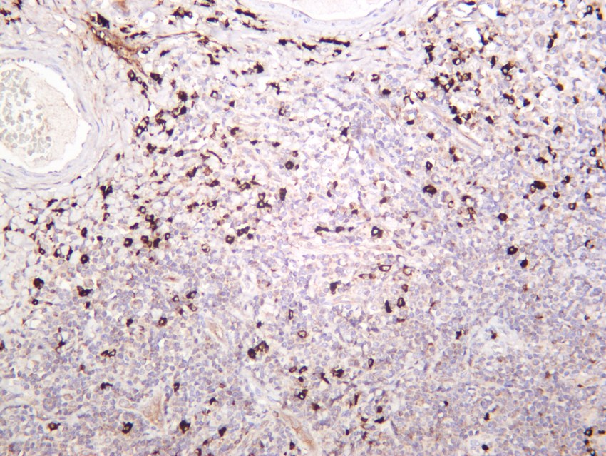
                                Verified Samples in WB: Hela Verified Samples in IHC: Human tonsils  | 
        
| Dilution | IHC 1:2000-1:5000, WB 1:1000-1:5000 | 
| Isotype | IgG,κ | 
| Host | Rabbit | 
| Reactivity | Human, Mouse, Rat | 
| Applications | IHC, WB | 
| Clonality | Monoclonal;Recombinant | 
| Immunogen | Recombinant Human Bax protein | 
| Abbre | Bax | 
| Synonyms | BCL2L4bcl2-L, Bcl-2-like protein, BCL2L, Bcl2-L, BAX, BCL2L4, apoptosis regulator BAX, Bcl2-L-4, BCL2L4bcl2-L-4, BCL2-associated X protein, Bcl-2-like protein 4, BAXA, Baxdelta2G9, Baxdelta2G9omega, Baxdelta2omega, Bax-protein, BCL2 associated X protein, BCL2 associated X protein omega, BCL2 associated X protein transcript variant delta2, Bcl-2-like protein 4 (Bcl2-L-4), membrane isoform alpha | 
| Swissprot | |
| Calculated MW | 21 kDa | 
| Observed MW | 
                21 kDa                 
 Western blotting is a method for detecting a certain protein in a complex sample based on the specific binding of antigen and antibody. Different proteins can be divided into bands based on different mobility rates. The mobility is affected by many factors, which may cause the observed band size to be inconsistent with the expected size. The common factors include: 1. Post-translational modifications: For example, modifications such as glycosylation, phosphorylation, methylation, and acetylation will increase the molecular weight of the protein. 2. Splicing variants: Different expression patterns of various mRNA splicing bodies may produce proteins of different sizes. 3. Post-translational cleavage: Many proteins are first synthesized into precursor proteins and then cleaved to form active forms, such as COL1A1. 4. Relative charge: the composition of amino acids (the proportion of charged amino acids and uncharged amino acids). 5. Formation of multimers: For example, in protein dimer, strong interactions between proteins can cause the bands to be larger. However, the use of reducing conditions can usually avoid the formation of multimers. If a protein in a sample has different modified forms at the same time, multiple bands may be detected on the membrane.  | 
        
| Cellular Localization | Cytoplasm, Nuclear | 
| Concentration | 0.2 mg/mL | 
| Buffer | PBS, 50% glycerol, 0.05% Proclin 300, 0.05% protein protectant. | 
| Purification Method | Protein A | 
| Research Areas | Cell Biology, Metabolism, Cancer, Kits, Lysates, Other | 
| Clone No. | B727 | 
| Conjugation | Unconjugated | 
| Storage | Store at -20°C Valid for 12 months. Avoid freeze / thaw cycles. | 
| Shipping | Ice bag | 
| background | The protein encoded by BAX (BCL2 associated X, apoptosis regulator) belongs to the BCL2 protein family. BCL2 family members form hetero- or homodimers and act as anti- or pro-apoptotic regulators that are involved in a wide variety of cellular activities. This protein forms a heterodimer with BCL2, and functions as an apoptotic activator. This protein is reported to interact with, and increase the opening of, the mitochondrial voltage-dependent anion channel (VDAC), which leads to the loss in membrane potential and the release of cytochrome c. The expression of this gene is regulated by the tumor suppressor P53 and has been shown to be involved in P53-mediated apoptosis. Multiple alternatively spliced transcript variants, which encode different isoforms, have been reported for BAX. | 
Other Clones
{{antibodyDetailsPage.numTotal}} Results
- 
                                    
                                    
                                    {{item.title}}
                                    
Citations ({{item.publications_count}}) Manual MSDS
Cat.No.:{{item.cat}}
{{index}} {{goods_show_value}}
 
Other Formats
{{formatDetailsPage.numTotal}} Results
Unconjugated
- 
                                    
                                    
                                    {{item.title}}
                                    
Citations ({{item.publications_count}}) Manual MSDS
Cat.No.:{{item.cat}}
{{index}} {{goods_show_value}}
 
- 
                                    
                                    
IF:{{item.impact}}
Journal:{{item.journal}} ({{item.year}})
DOI:{{item.doi}}Reactivity:{{item.species}}
Sample Type:{{item.organization}}
 
- 
                                    
Q{{(FAQpage.currentPage - 1)*pageSize+index+1}}:{{item.name}}
 
                            
