Recombinant Cdc42 Monoclonal Antibody (AN301860L)
-
-
-
- +1
For research use only.
| Verified Samples |
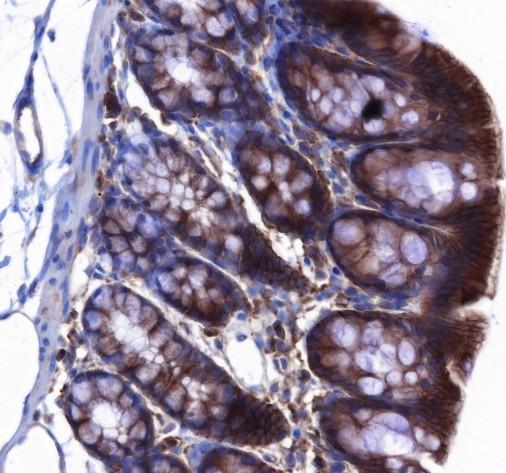
Verified Samples in WB: PC-3, Mouse brain Verified Samples in IHC: Mouse colon, Rat colon Verified Samples in IF: PC-3 |
| Dilution | WB 1:500-1:1000, IHC 1:50-1:100, IF 1:50 |
| Isotype | IgG, κ |
| Host | Rabbit |
| Reactivity | Human, Rat, Mouse |
| Applications | WB, IHC, IF |
| Clonality | Monoclonal;Recombinant |
| Immunogen | Recombinant human Cdc42 fragment |
| Abbre | Cdc42 |
| Synonyms | CDC, CDC42, CDC42Hs, G25K, TKS, G25K GTP-binding protein |
| Swissprot | |
| Calculated MW | 21 kDa |
| Observed MW |
21 kDa
Western blotting is a method for detecting a certain protein in a complex sample based on the specific binding of antigen and antibody. Different proteins can be divided into bands based on different mobility rates. The mobility is affected by many factors, which may cause the observed band size to be inconsistent with the expected size. The common factors include: 1. Post-translational modifications: For example, modifications such as glycosylation, phosphorylation, methylation, and acetylation will increase the molecular weight of the protein. 2. Splicing variants: Different expression patterns of various mRNA splicing bodies may produce proteins of different sizes. 3. Post-translational cleavage: Many proteins are first synthesized into precursor proteins and then cleaved to form active forms, such as COL1A1. 4. Relative charge: the composition of amino acids (the proportion of charged amino acids and uncharged amino acids). 5. Formation of multimers: For example, in protein dimer, strong interactions between proteins can cause the bands to be larger. However, the use of reducing conditions can usually avoid the formation of multimers. If a protein in a sample has different modified forms at the same time, multiple bands may be detected on the membrane. |
| Cellular Localization | Cell membrane, Cytoskeleton |
| Concentration | 1 mg/mL |
| Buffer | PBS, 50% glycerol, 0.05% Proclin 300, 0.05% protein protectant. |
| Purification Method | Protein A purified |
| Research Areas | Cell Biology, Signal Transduction, Epigenetics and Nuclear Signaling, Cancer |
| Clone No. | A572 |
| Conjugation | Unconjugated |
| Storage | Store at -20°C Valid for 12 months. Avoid freeze / thaw cycles. |
| Shipping | Ice bag |
| background | Cdc42, the human homologue of the cell division cycle 42 of Saccharomyces cerevisiae, belongs to the Rho/Rac subfamily of Ras-like GTPases. It acts as molecular switches to regulate numerous cellular responses including the organization of the actin cytoskeleton, gene transcription, cell cycle progression, and membrane trafficking. |
Other Clones
{{antibodyDetailsPage.numTotal}} Results
-
{{item.title}}
Citations ({{item.publications_count}}) Manual MSDS
Cat.No.:{{item.cat}}
{{index}} {{goods_show_value}}
Other Formats
{{formatDetailsPage.numTotal}} Results
Unconjugated
-
{{item.title}}
Citations ({{item.publications_count}}) Manual MSDS
Cat.No.:{{item.cat}}
{{index}} {{goods_show_value}}
-
IF:{{item.impact}}
Journal:{{item.journal}} ({{item.year}})
DOI:{{item.doi}}Reactivity:{{item.species}}
Sample Type:{{item.sample_type}}
-
Q{{(FAQpage.currentPage - 1)*pageSize+index+1}}:{{item.name}}

