Recombinant CPS1 Monoclonal Antibody (AN301906L)
-
-
-
- +3
For research use only.
| Verified Samples |
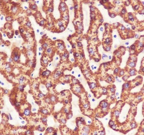
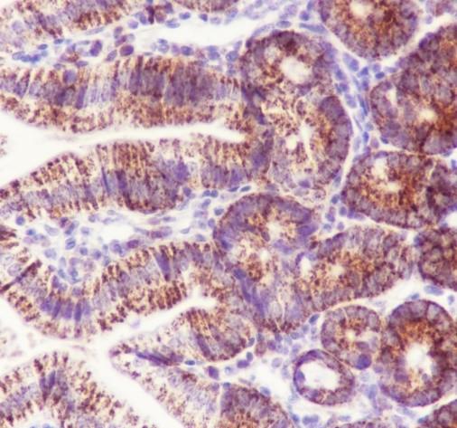
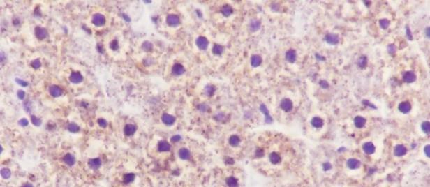
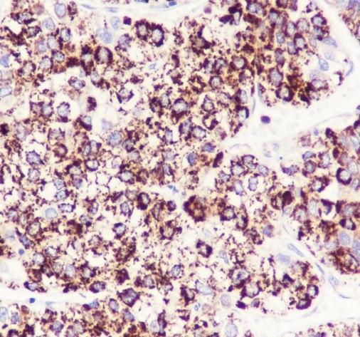
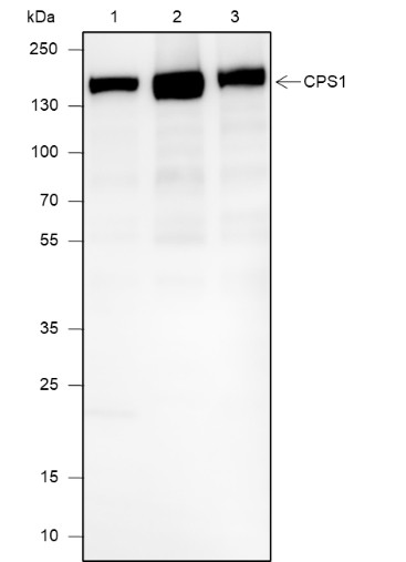
Verified Samples in WB: HeLa, Human liver, Mouse liver, Rat liver Verified Samples in IHC: Human hepatocellular carcinoma, Human liver, Mouse small intestine, Rat liver |
| Dilution | WB 1:1000-1:5000, IHC 1:50-1:100 |
| Isotype | IgG, κ |
| Host | Rabbit |
| Reactivity | Human, Rat, Mouse |
| Applications | WB, IHC |
| Clonality | Monoclonal;Recombinant |
| Immunogen | Recombinant human CPS1 fragment |
| Abbre | CPS1 |
| Synonyms | CPS, carbamoyl-phosphate synthase, CPSASE, CPS1, CPSASE1, PHN, carbamoyl-phosphate synthase 1, carbamoyl-phosphate synthase 1, CPSASE1, PHN, Carbamoyl phosphate synthase, Carbamoyl phosphate synthase [ammonia], Carbamoyl phosphate synthase [ammonia] mitochondrial, Carbamoyl phosphate synthetase 1, Carbamoyl phosphate synthetase 1 mitochondrial, Carbamoyl phosphate synthetase I, Carbamoylphosphate synthase, Carbamoyl-phosphate synthase [ammonia], Carbamoylphosphate synthetase 1, Carbamoylphosphate synthetase I, Carbamoyl-phosphate synthetase I, CPS 1, CPSase 1, CPSase I, CPSM, mitochondrial, MS738 |
| Swissprot | |
| Calculated MW | 165 kDa |
| Observed MW |
165 kDa
Western blotting is a method for detecting a certain protein in a complex sample based on the specific binding of antigen and antibody. Different proteins can be divided into bands based on different mobility rates. The mobility is affected by many factors, which may cause the observed band size to be inconsistent with the expected size. The common factors include: 1. Post-translational modifications: For example, modifications such as glycosylation, phosphorylation, methylation, and acetylation will increase the molecular weight of the protein. 2. Splicing variants: Different expression patterns of various mRNA splicing bodies may produce proteins of different sizes. 3. Post-translational cleavage: Many proteins are first synthesized into precursor proteins and then cleaved to form active forms, such as COL1A1. 4. Relative charge: the composition of amino acids (the proportion of charged amino acids and uncharged amino acids). 5. Formation of multimers: For example, in protein dimer, strong interactions between proteins can cause the bands to be larger. However, the use of reducing conditions can usually avoid the formation of multimers. If a protein in a sample has different modified forms at the same time, multiple bands may be detected on the membrane. |
| Cellular Localization | Mitochondrion |
| Concentration | 1 mg/mL |
| Buffer | PBS, 50% glycerol, 0.05% Proclin 300, 0.05% protein protectant. |
| Purification Method | Protein A purified |
| Research Areas | Tags and Cell Markers, Signal Transduction, Metabolism |
| Clone No. | A622 |
| Conjugation | Unconjugated |
| Storage | Store at -20°C Valid for 12 months. Avoid freeze / thaw cycles. |
| Shipping | Ice bag |
| background | Carbamoyl phosphate synthetase 1 (CPS1), a rate-limiting enzyme in the urea cycle, catalyzes the conversion of ammonia and bicarbonate to carbamoyl phosphate in mitochondria. Non-small cell lung carcinoma (NSCLC) cells with oncogenic KRAS and loss of the tumor suppressor LKB1 express CPS1 and depend on this enzyme for growth. CPS1 maintains pyrimidine/purine balance in these cancer cells. Silencing CPS1 reduces the pyrimidine to purine ratio and stalls DNA synthesis, leading to DNA damage and cancer cell death. In addition, the tumor suppressor p53 represses the expression of urea cycle enzymes CPS1, OTC, and ARG1 and, therefore, causes the accumulation of ammonia, suppressing cancer growth. Furthermore, research studies suggest that hypermethylation-mediated downregulation of CPS1 expression may contribute to the progression of normal hepatocytes to hepatocellular carcinoma (HCC). |
Other Clones
{{antibodyDetailsPage.numTotal}} Results
-
{{item.title}}
Citations ({{item.publications_count}}) Manual MSDS
Cat.No.:{{item.cat}}
{{index}} {{goods_show_value}}
Other Formats
{{formatDetailsPage.numTotal}} Results
Unconjugated
-
{{item.title}}
Citations ({{item.publications_count}}) Manual MSDS
Cat.No.:{{item.cat}}
{{index}} {{goods_show_value}}
-
IF:{{item.impact}}
Journal:{{item.journal}} ({{item.year}})
DOI:{{item.doi}}Reactivity:{{item.species}}
Sample Type:{{item.organization}}
-
Q{{(FAQpage.currentPage - 1)*pageSize+index+1}}:{{item.name}}

