Recombinant FEN1 Monoclonal Antibody (AN301922L)
-
-
-
- +1
For research use only.
| Verified Samples |
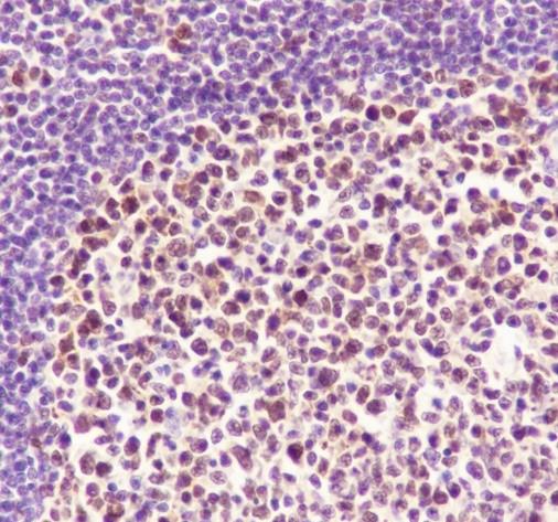
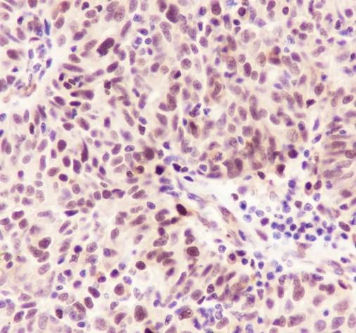
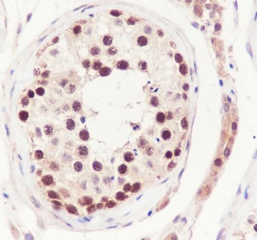
Verified Samples in WB: HeLa, HepG2, Jurkat, C6 Verified Samples in IHC: Human tonsil, Human ovarian cancer, Human testis |
| Dilution | WB 1:1000, IHC 1:200-1:500 |
| Isotype | IgG, κ |
| Host | Rabbit |
| Reactivity | Human, Rat |
| Applications | WB, IHC |
| Clonality | Monoclonal;Recombinant |
| Immunogen | Recombinant human FEN1 fragment |
| Abbre | FEN1 |
| Synonyms | RAD, FEN, FEN1, FEN-1, MF1, RAD2 |
| Swissprot | |
| Calculated MW | 43 kDa |
| Observed MW |
43 kDa
Western blotting is a method for detecting a certain protein in a complex sample based on the specific binding of antigen and antibody. Different proteins can be divided into bands based on different mobility rates. The mobility is affected by many factors, which may cause the observed band size to be inconsistent with the expected size. The common factors include: 1. Post-translational modifications: For example, modifications such as glycosylation, phosphorylation, methylation, and acetylation will increase the molecular weight of the protein. 2. Splicing variants: Different expression patterns of various mRNA splicing bodies may produce proteins of different sizes. 3. Post-translational cleavage: Many proteins are first synthesized into precursor proteins and then cleaved to form active forms, such as COL1A1. 4. Relative charge: the composition of amino acids (the proportion of charged amino acids and uncharged amino acids). 5. Formation of multimers: For example, in protein dimer, strong interactions between proteins can cause the bands to be larger. However, the use of reducing conditions can usually avoid the formation of multimers. If a protein in a sample has different modified forms at the same time, multiple bands may be detected on the membrane. |
| Cellular Localization | Mitochondrion, Nucleus |
| Concentration | 1 mg/mL |
| Buffer | PBS, 50% glycerol, 0.05% Proclin 300, 0.05% protein protectant. |
| Purification Method | Protein A purified |
| Research Areas | Epigenetics and Nuclear Signaling |
| Clone | A638 |
| Conjugation | Unconjugated |
| Storage | Store at -20°C Valid for 12 months. Avoid freeze / thaw cycles. |
| Shipping | Ice bag |
| background | Flap endonuclease-1 (FEN-1) is a structure-specific nuclease with multiple functions in DNA processing pathways. The replication and DNA repair activities of FEN-1 are critical for genomic stability in the eukaryotic cell. Through interaction with proliferation cell nuclear antigen (PCNA), FEN-1 helps coordinate Okazaki fragment maturation by removing RNA-DNA primers. FEN-1 is also required for non-homologous end joining of double-stranded DNA breaks in long patch base excision repair. The multi-functional activities of FEN-1 are regulated by various mechanisms, including protein partner interactions, post-translational modifications, and subcellular re-localization in response to cell cycle or DNA damage. |
| Cat.No. | Product Name | Clone No. |
|---|
-
IF:{{item.impact}}
Journal:{{item.journal}} ({{item.year}})
DOI:{{item.doi}}Reactivity:{{item.species}}
Sample Type:{{item.sample_type}}
-
Q{{(FAQpage.currentPage - 1)*pageSize+index+1}}:{{item.name}}
No files available. Please enter the correct identification code in the search area to query the relevant documents.
| Title | Status | Valid until | Action | |
|---|---|---|---|---|
| {{v.文件名}} | {{v.status_str}} | {{v.timestamp_str}} | Download | / |
*Note:Please download the relevant files within the validity period. After expiration, file preview and download will not be available on the page.

