Recombinant Histone H3 (CT) Monoclonal Antibody (AN301708L)
                        - 
                                                                
                                                             - 
                                                                
                                                             - 
                                                                
                                                             - +6
 
For research use only.
| Verified Samples | 
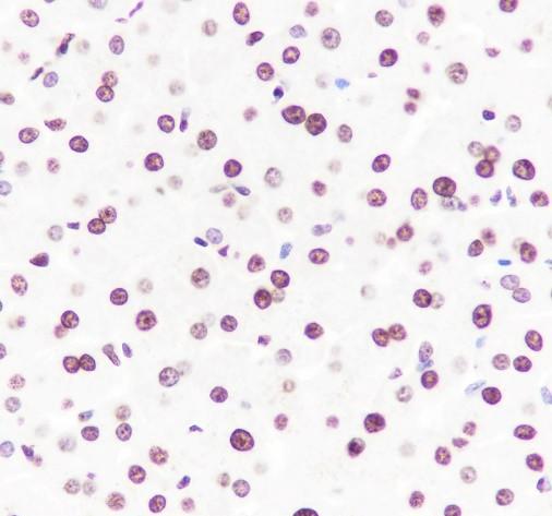
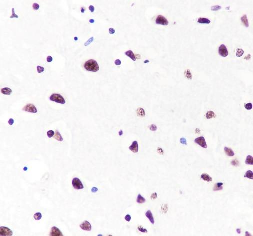
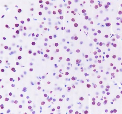
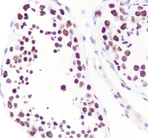
                                Verified Samples in IHC: Mouse liver, Rat skeletal muscle, Human cerebrum, Human liver, Human testis, Mouse cerebrum Verified Samples in IF: HeLa Verified Samples in WB: HeLa, Neuro-2a, BRL, Rat kidney, Mouse kidney, Rice leaves  | 
        
| Dilution | WB 1:1000-1:5000, IHC 1:100-1:500, IP 1:50, IF 1:100-1:500 | 
| Isotype | IgG, κ | 
| Host | Rabbit | 
| Reactivity | Human, Rat, Mouse, Rice | 
| Applications | IHC, IF, WB | 
| Clonality | Monoclonal;Recombinant | 
| Immunogen | Synthetic peptide corresponding to the C-terminus of human histone H3 protein | 
| Abbre | Histone H3 | 
| Synonyms | Histone H, H3C, H3/A, H3C2, H3C3, H3C4, H3C6, H3C7, H3C8, H3FA, H3C10, H3C11, H3C12, HIST1H3A, H3C1, Histone H3.1, Histone H3/a, Histone H3/b, H3FL, HIST1H3B, H3FC, HIST1H3C, H3FB, HIST1H3D, H3FD, HIST1H3E, H3FI, HIST1H3F, H3FH, HIST1H3G, H3FK, HIST1H3H, H3FF, HIST1H3I, H3FJ, HIST1H3J, H3/A, H3FA, H3FB, H3FC, H3FD, H3FF, H3FH, H3FI, H3FJ, H3FK, H3FL, Hist1h3a, HIST1H3B, HIST1H3C, HIST1H3D, HIST1H3E, HIST1H3F, HIST1H3G, HIST1H3H, HIST1H3I, HIST1H3J, Histone H3.1, Histone H3/a, Histone H3/b, H3 histone family, H31, H3a, histone 1, Histone cluster 1, Histone H3/c, Histone H3/d, Histone H3/f, Histone H3/h, Histone H3/i, Histone H3/j, Histone H3/k, Histone H3/l, member A | 
| Swissprot | |
| Calculated MW | 15 kDa | 
| Observed MW | 
                15 kDa                 
 Western blotting is a method for detecting a certain protein in a complex sample based on the specific binding of antigen and antibody. Different proteins can be divided into bands based on different mobility rates. The mobility is affected by many factors, which may cause the observed band size to be inconsistent with the expected size. The common factors include: 1. Post-translational modifications: For example, modifications such as glycosylation, phosphorylation, methylation, and acetylation will increase the molecular weight of the protein. 2. Splicing variants: Different expression patterns of various mRNA splicing bodies may produce proteins of different sizes. 3. Post-translational cleavage: Many proteins are first synthesized into precursor proteins and then cleaved to form active forms, such as COL1A1. 4. Relative charge: the composition of amino acids (the proportion of charged amino acids and uncharged amino acids). 5. Formation of multimers: For example, in protein dimer, strong interactions between proteins can cause the bands to be larger. However, the use of reducing conditions can usually avoid the formation of multimers. If a protein in a sample has different modified forms at the same time, multiple bands may be detected on the membrane.  | 
        
| Cellular Localization | Nucleus | 
| Concentration | 1 mg/mL | 
| Buffer | PBS, 50% glycerol, 0.05% Proclin 300, 0.05% protein protectant. | 
| Purification Method | Protein A purified | 
| Research Areas | Epigenetics and Nuclear Signaling, Isotype, Loading Controls | 
| Clone No. | A416 | 
| Conjugation | Unconjugated | 
| Storage | Store at -20°C Valid for 12 months. Avoid freeze / thaw cycles. | 
| Shipping | Ice bag | 
| background | Histones are a family of basic proteins that form the core of the nucleosome – the fundamental structural unit of chromatin. In a single nucleosome, core histone proteins H2A, H2B, H3, and H4 form an octamer around which the DNA is tightly wrapped. Histone proteins not only serve to compact chromosomal DNA but also play vital roles in the dynamic and long-term regulation of genes by a wide variety of post-translational modifications (PTMs). These PTMs including acetylation, methylation, phosphorylation, and novel acylations directly affect the accessibility of chromatin to transcription factors and other epigenetic regulators, altering genome stability and gene transcription. Among the histone members, histone H3 is the most extensively modified and its amino-terminal tail structure has been shown to be especially critical for eukaryotic cells. | 
Other Clones
{{antibodyDetailsPage.numTotal}} Results
- 
                                    
                                    
                                    {{item.title}}
                                    
Citations ({{item.publications_count}}) Manual MSDS
Cat.No.:{{item.cat}}
{{index}} {{goods_show_value}}
 
Other Formats
{{formatDetailsPage.numTotal}} Results
Unconjugated
- 
                                    
                                    
                                    {{item.title}}
                                    
Citations ({{item.publications_count}}) Manual MSDS
Cat.No.:{{item.cat}}
{{index}} {{goods_show_value}}
 
- 
                                    
                                    
IF:{{item.impact}}
Journal:{{item.journal}} ({{item.year}})
DOI:{{item.doi}}Reactivity:{{item.species}}
Sample Type:{{item.organization}}
 
- 
                                    
Q{{(FAQpage.currentPage - 1)*pageSize+index+1}}:{{item.name}}
 
                            
