Recombinant Histone H3 (Di Methyl Lys56) Monoclonal Antibody (AN302109L)
-
-
-
- +4
For research use only.
| Verified Samples |
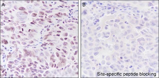
Verified Samples in WB: HeLa, N2a, BRL, Mouse liver, Mouse kidney, rH3 Verified Samples in IHC: Human lung adenocarcinoma, Mouse liver, Rat cardiac muscle Verified Samples in IF: HeLa Verified Samples in IP: HeLa cells extracts Verified Samples in ChIP: HeLa |
| Dilution | WB 1:500-1:2000, IHC 1:100-1:500, IF 1:50, IP 1:25-1:50, ChIP 6 μg/5×106 cells |
| Isotype | IgG, κ |
| Host | Rabbit |
| Reactivity | Human, Rat, Mouse |
| Applications | WB, IHC, IF, IP, ChIP |
| Clonality | Monoclonal;Recombinant |
| Immunogen | Dimethylated human histone H3 (Lys56) peptide |
| Abbre | Histone H3 (Di Methyl Lys56) |
| Synonyms | Histone H, H3C, H3/A, H3C2, H3C3, H3C4, H3C6, H3C7, H3C8, H3FA, H3C10, H3C11, H3C12, HIST1H3A, H3C1, Histone H3.1, Histone H3/a, Histone H3/b, H3FL, HIST1H3B, H3FC, HIST1H3C, H3FB, HIST1H3D, H3FD, HIST1H3E, H3FI, HIST1H3F, H3FH, HIST1H3G, H3FK, HIST1H3H, H3FF, HIST1H3I, H3FJ, HIST1H3J, H3/A, H3FA, H3FB, H3FC, H3FD, H3FF, H3FH, H3FI, H3FJ, H3FK, H3FL, Hist1h3a, HIST1H3B, HIST1H3C, HIST1H3D, HIST1H3E, HIST1H3F, HIST1H3G, HIST1H3H, HIST1H3I, HIST1H3J, Histone H3.1, Histone H3/a, Histone H3/b, H3 histone family, H31, H3a, histone 1, Histone cluster 1, Histone H3/c, Histone H3/d, Histone H3/f, Histone H3/h, Histone H3/i, Histone H3/j, Histone H3/k, Histone H3/l, member A |
| Swissprot | |
| Calculated MW | 17 kDa |
| Observed MW |
17 kDa
Western blotting is a method for detecting a certain protein in a complex sample based on the specific binding of antigen and antibody. Different proteins can be divided into bands based on different mobility rates. The mobility is affected by many factors, which may cause the observed band size to be inconsistent with the expected size. The common factors include: 1. Post-translational modifications: For example, modifications such as glycosylation, phosphorylation, methylation, and acetylation will increase the molecular weight of the protein. 2. Splicing variants: Different expression patterns of various mRNA splicing bodies may produce proteins of different sizes. 3. Post-translational cleavage: Many proteins are first synthesized into precursor proteins and then cleaved to form active forms, such as COL1A1. 4. Relative charge: the composition of amino acids (the proportion of charged amino acids and uncharged amino acids). 5. Formation of multimers: For example, in protein dimer, strong interactions between proteins can cause the bands to be larger. However, the use of reducing conditions can usually avoid the formation of multimers. If a protein in a sample has different modified forms at the same time, multiple bands may be detected on the membrane. |
| Cellular Localization | Nucleus |
| Concentration | 1 mg/mL |
| Buffer | PBS, 50% glycerol, 0.05% Proclin 300, 0.05% protein protectant. |
| Purification Method | Protein A purified |
| Research Areas | Epigenetics and Nuclear Signaling, Isotype, Loading Controls |
| Clone | A833 |
| Conjugation | Unconjugated |
| Storage | Store at -20°C Valid for 12 months. Avoid freeze / thaw cycles. |
| Shipping | Ice bag |
| background | Histone post-translational modifications (PTMs) are key mechanisms of epigenetics that modulate chromatin structures, termed as “histone code”. The PTMs on histone including acetylation, methylation, phosphorylation and novel acylations directly affect the accessibility of chromatin to transcription factors and other epigenetic regulators, altering genome stability, gene transcription, etc. Histone methylation occurs primarily at lysine and arginine residues on the amino terminal of core histones. Methylation of histones can either increase or decrease transcription of genes, depending on which amino acids (Lys or Arg) in the histones are methylated and how many methyl groups are attached (mono-, di-, Trimethylation on Lys, mono-di-symmetric/asymmetric methylation on Arg). Mostly, lysine methylation occurs primarily on histone H3 Lys4, 9, 27, 36, 79 and H4 Lys20, while Arginine methylation occurs primarily on histone H3 Arg2, 8, 17, 26 and H4 Arg3. histone methyltransferases (HMTs) and histone demethylases (HDMs) are major regulating factors. |
| Cat.No. | Product Name | Clone No. |
|---|
-
IF:{{item.impact}}
Journal:{{item.journal}} ({{item.year}})
DOI:{{item.doi}}Reactivity:{{item.species}}
Sample Type:{{item.sample_type}}
-
Q{{(FAQpage.currentPage - 1)*pageSize+index+1}}:{{item.name}}
No files available. Please enter the correct identification code in the search area to query the relevant documents.
| Title | Status | Valid until | Action | |
|---|---|---|---|---|
| {{v.文件名}} | {{v.status_str}} | {{v.timestamp_str}} | Download | / |
*Note:Please download the relevant files within the validity period. After expiration, file preview and download will not be available on the page.

