Recombinant Histone H3 Monoclonal Antibody (AN300856L)
 
                        For research use only.
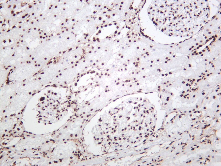
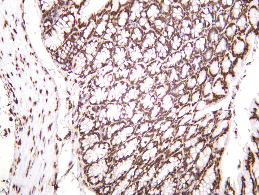
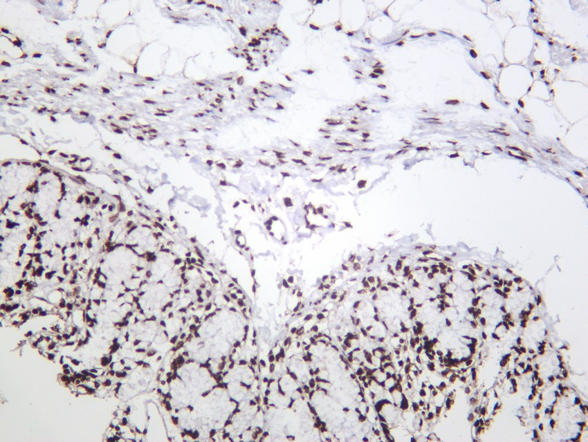
| Verified Samples | Verified Samples in WB: Hela Verified Samples in IHC: Rat liver | 
| Dilution | IHC 1:5000-1:20000, WB 1:5000-1:20000 | 
| Isotype | IgG,κ | 
| Host | Rabbit | 
| Reactivity | Human, Mouse, Rat | 
| Applications | IHC, WB | 
| Clonality | Monoclonal;Recombinant | 
| Immunogen | Recombinant Human Histone H3 protein | 
| Abbre | Histone H3 | 
| Synonyms | Histone H, H3C, H3/A, H3C2, H3C3, H3C4, H3C6, H3C7, H3C8, H3FA, H3C10, H3C11, H3C12, HIST1H3A, H3C1, Histone H3.1, Histone H3/a, Histone H3/b, H3FL, HIST1H3B, H3FC, HIST1H3C, H3FB, HIST1H3D, H3FD, HIST1H3E, H3FI, HIST1H3F, H3FH, HIST1H3G, H3FK, HIST1H3H, H3FF, HIST1H3I, H3FJ, HIST1H3J, H3/A, H3FA, H3FB, H3FC, H3FD, H3FF, H3FH, H3FI, H3FJ, H3FK, H3FL, Hist1h3a, HIST1H3B, HIST1H3C, HIST1H3D, HIST1H3E, HIST1H3F, HIST1H3G, HIST1H3H, HIST1H3I, HIST1H3J, Histone H3.1, Histone H3/a, Histone H3/b, H3 histone family, H31, H3a, histone 1, Histone cluster 1, Histone H3/c, Histone H3/d, Histone H3/f, Histone H3/h, Histone H3/i, Histone H3/j, Histone H3/k, Histone H3/l, member A | 
| Swissprot | |
| Calculated MW | 15 kDa | 
| Observed MW | 15 kDa 
 Western blotting is a method for detecting a certain protein in a complex sample based on the specific binding of antigen and antibody. Different proteins can be divided into bands based on different mobility rates. The mobility is affected by many factors, which may cause the observed band size to be inconsistent with the expected size. The common factors include: 1. Post-translational modifications: For example, modifications such as glycosylation, phosphorylation, methylation, and acetylation will increase the molecular weight of the protein. 2. Splicing variants: Different expression patterns of various mRNA splicing bodies may produce proteins of different sizes. 3. Post-translational cleavage: Many proteins are first synthesized into precursor proteins and then cleaved to form active forms, such as COL1A1. 4. Relative charge: the composition of amino acids (the proportion of charged amino acids and uncharged amino acids). 5. Formation of multimers: For example, in protein dimer, strong interactions between proteins can cause the bands to be larger. However, the use of reducing conditions can usually avoid the formation of multimers. If a protein in a sample has different modified forms at the same time, multiple bands may be detected on the membrane. | 
| Cellular Localization | Nucleus | 
| Tissue Specificity | Expressed during S phase, then expression strongly decreases as cell division slows down during the process of differentiation. | 
| Concentration | 0.2 mg/mL | 
| Buffer | PBS, 50% glycerol, 0.05% Proclin 300, 0.05% protein protectant. | 
| Purification Method | Protein A | 
| Research Areas | Epigenetics and Nuclear Signaling, Isotype, Loading Controls | 
| Clone No. | B803 | 
| Conjugation | Unconjugated | 
| Storage | Store at -20°C Valid for 12 months. Avoid freeze / thaw cycles. | 
| Shipping | Ice bag | 
| background | Histones are basic nuclear proteins that are responsible for the nucleosome structure of the chromosomal fiber in eukaryotes. This structure consists of approximately 146 bp of DNA wrapped around a nucleosome, an octamer composed of pairs of each of the four core histones (H2A, H2B, H3, and H4). The chromatin fiber is further compacted through the interaction of a linker histone, H1, with the DNA between the nucleosomes to form higher order chromatin structures. This gene is intronless and encodes a replication-dependent histone that is a member of the histone H3 family. Transcripts from this gene lack polyA tails; instead, they contain a palindromic termination element. This gene is found in the large histone gene cluster on chromosome 6p22-p21.3. | 
Other Clones
{{antibodyDetailsPage.numTotal}} Results
- 
                                    
                                    
                                    {{item.title}}
                                    Citations ({{item.publications_count}}) Manual MSDS Cat.No.:{{item.cat}} {{index}} {{goods_show_value}} 
Other Formats
{{formatDetailsPage.numTotal}} Results
Unconjugated
- 
                                    
                                    
                                    {{item.title}}
                                    Citations ({{item.publications_count}}) Manual MSDS Cat.No.:{{item.cat}} {{index}} {{goods_show_value}} 
- 
                                    
                                    IF:{{item.impact}} Journal:{{item.journal}} ({{item.year}}) DOI:{{item.doi}}Reactivity:{{item.species}} Sample Type:{{item.organization}} 
- 
                                    Q{{(FAQpage.currentPage - 1)*pageSize+index+1}}:{{item.name}} 
 
                            

 
                             
                