Recombinant Histone H4 (Acetyl Lys77) Monoclonal Antibody (AN301408L)
-
-
-
- +6
For research use only.
| Verified Samples |
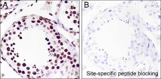
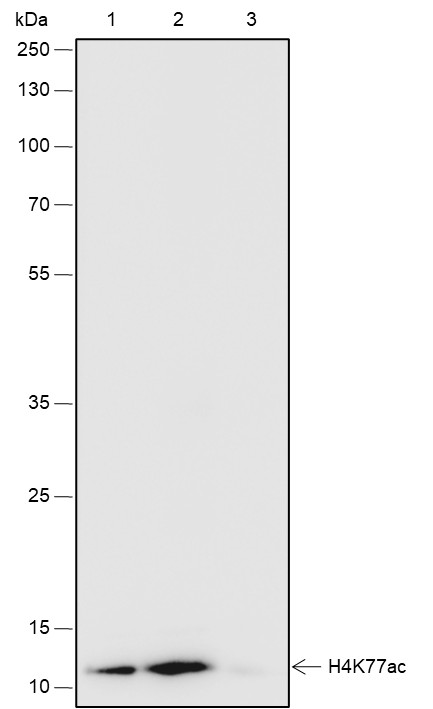
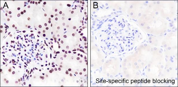
Verified Samples in WB: HeLa, MCF-7, BRL, Recombinant histone H4 (20 ng) Verified Samples in IHC: Human kidney, Human liver, Human testis, Mouse colon, Rat liver Verified Samples in IP: HeLa+ sodium butyrate (30mM, 4hr) cells extracts Verified Samples in ChIP: HeLa+Sodium butyrate (5 mM, 24 hr) |
| Dilution | WB 1:500-1:2000, IHC 1:200-1:1000, IP 1:50-1:100, ChIP 6 μg/5×106 cells |
| Isotype | IgG, κ |
| Host | Rabbit |
| Reactivity | Human, Rat, Mouse |
| Applications | WB, IHC, IP, ChIP |
| Clonality | Monoclonal;Recombinant |
| Immunogen | Acetylated human histone H4 (Lys77) peptide |
| Abbre | Histone H4 (Acetyl Lys77) |
| Synonyms | H4F, methyl histone H, methylated histone H, HIST2H, HIST1H, HISTH4H, histone H, HIST2H4B, H4/o, histone H4, HIST1H4A, FO108, H4/p, HIST1H4, Hist4h4, HISTH4H4, methyl histone H4, methylated histone H4, H4/A, H4FA, H4/I, H4FI, HIST1H4B, H4/G, H4FG, HIST1H4C, H4/B, H4FB, HIST1H4D, H4/J, H4FJ, HIST1H4E, H4/C, H4FC, HIST1H4F, H4/H, H4FH, HIST1H4H, H4/M, H4FM, HIST1H4I, H4/E, H4FE, H4/D, H4FD, HIST1H4K, H4/K, H4FK, HIST1H4L, H4/N, H4F2, H4FN, HIST2H4, HIST2H4A, H4, H4C1, H4C2, H4C3, H4C4, H4C5, H4C6, H4C8, H4C9, H4C11, H4C12, H4C13, H4C14, H4C15, H4-16, A, I, H4B, H4J, H4H, H4M, H4E, HIST1H4J, H4D, H4C, H4/p, histone H4, HIST1H4B H4/I |
| Swissprot | |
| Calculated MW | 11 kDa |
| Observed MW |
11 kDa
Western blotting is a method for detecting a certain protein in a complex sample based on the specific binding of antigen and antibody. Different proteins can be divided into bands based on different mobility rates. The mobility is affected by many factors, which may cause the observed band size to be inconsistent with the expected size. The common factors include: 1. Post-translational modifications: For example, modifications such as glycosylation, phosphorylation, methylation, and acetylation will increase the molecular weight of the protein. 2. Splicing variants: Different expression patterns of various mRNA splicing bodies may produce proteins of different sizes. 3. Post-translational cleavage: Many proteins are first synthesized into precursor proteins and then cleaved to form active forms, such as COL1A1. 4. Relative charge: the composition of amino acids (the proportion of charged amino acids and uncharged amino acids). 5. Formation of multimers: For example, in protein dimer, strong interactions between proteins can cause the bands to be larger. However, the use of reducing conditions can usually avoid the formation of multimers. If a protein in a sample has different modified forms at the same time, multiple bands may be detected on the membrane. |
| Cellular Localization | Nucleus |
| Concentration | 1 mg/mL |
| Buffer | PBS, 50% glycerol, 0.05% Proclin 300, 0.05% protein protectant. |
| Purification Method | Protein A purified |
| Research Areas | Epigenetics and Nuclear Signaling |
| Clone | A103 |
| Conjugation | Unconjugated |
| Storage | Store at -20°C Valid for 12 months. Avoid freeze / thaw cycles. |
| Shipping | Ice bag |
| background | Histone post-translational modifications (PTMs), known as the “histone code”, are key mechanisms of epigenetics that modulate chromatin structures. The PTMs on histone including acetylation, methylation, phosphorylation, and novel acylations directly affect the accessibility of chromatin to transcription factors and other epigenetic regulators, altering genome stability and gene transcription. Histone acetylation, tightly controlled by the opposing action of histone acetyltransferases (HATs) and histone deacetylases (HDACs), occurs primarily at lysine residues on the N-terminal tails of histones H2A (Lys5, 9, and 15), H2B (Lys5, 12, 15, 16, and 20), H3 (Lys4, 9, 14, 18, 23, 27, and 36), and H4 (Lys5, 8, 12, 16, and 20), and plays vital roles in the regulation of gene expression, DNA damage repair, and chromatin dynamics. Recent research has identified that H2BK120ac, H3.3K18ac, and H4K77ac are significantly associated with the survival of hepatocellular carcinoma (HCC) patients. Furthermore, H4K77ac has been linked to HCC recurrence. These findings suggest that H2BK120ac, H3.3K18ac, and H4K77ac may be potential prognostic factors for HCC. |
| Cat.No. | Product Name | Clone No. |
|---|
-
IF:{{item.impact}}
Journal:{{item.journal}} ({{item.year}})
DOI:{{item.doi}}Reactivity:{{item.species}}
Sample Type:{{item.sample_type}}
-
Q{{(FAQpage.currentPage - 1)*pageSize+index+1}}:{{item.name}}
No files available. Please enter the correct identification code in the search area to query the relevant documents.
| Title | Status | Valid until | Action | |
|---|---|---|---|---|
| {{v.文件名}} | {{v.status_str}} | {{v.timestamp_str}} | Download | / |
*Note:Please download the relevant files within the validity period. After expiration, file preview and download will not be available on the page.

