Recombinant NF-kB2 p100/p52 Monoclonal Antibody (AN301826L)
-
-
-
- +2
For research use only.
| Verified Samples |
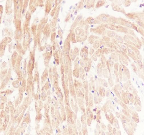
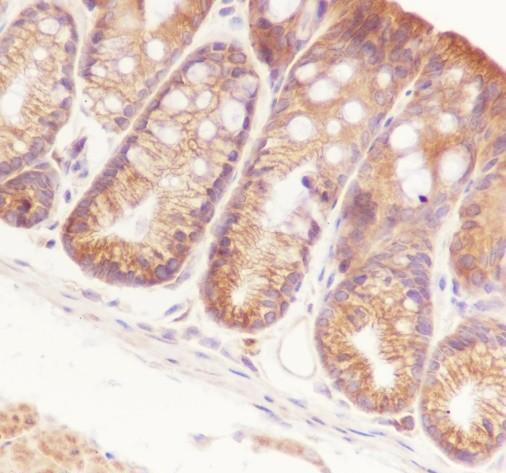
Verified Samples in WB: Jurkat, Raji, NIH/3T3, C6 Verified Samples in IHC: Human tonsil, Mouse colon, Rat cardiac muscle Verified Samples in IF: NIH/3T3 |
| Dilution | WB 1:1000-1:5000, IHC 1:50-1:100, IF 1:50 |
| Isotype | IgG, κ |
| Host | Rabbit |
| Reactivity | Human, Rat, Mouse |
| Applications | WB, IHC, IF |
| Clonality | Monoclonal;Recombinant |
| Immunogen | Recombinant human NF-kB2 p100/p52 fragment |
| Abbre | NF-kB2 p100/p52 |
| Synonyms | CVID, H2TF, NFKB, NF-kB, p49/p, LYT, CVID10, H2TF1, LYT-10, LYT10, NF-kB2, p100, p49/p100, p52, NFKB2, p105 |
| Swissprot | |
| Calculated MW | 97 kDa |
| Observed MW |
120 kDa
The actual band is not consistent with the expectation.
Western blotting is a method for detecting a certain protein in a complex sample based on the specific binding of antigen and antibody. Different proteins can be divided into bands based on different mobility rates. The mobility is affected by many factors, which may cause the observed band size to be inconsistent with the expected size. The common factors include: 1. Post-translational modifications: For example, modifications such as glycosylation, phosphorylation, methylation, and acetylation will increase the molecular weight of the protein. 2. Splicing variants: Different expression patterns of various mRNA splicing bodies may produce proteins of different sizes. 3. Post-translational cleavage: Many proteins are first synthesized into precursor proteins and then cleaved to form active forms, such as COL1A1. 4. Relative charge: the composition of amino acids (the proportion of charged amino acids and uncharged amino acids). 5. Formation of multimers: For example, in protein dimer, strong interactions between proteins can cause the bands to be larger. However, the use of reducing conditions can usually avoid the formation of multimers. If a protein in a sample has different modified forms at the same time, multiple bands may be detected on the membrane. |
| Cellular Localization | Cytoplasm, Nucleus |
| Concentration | 1 mg/mL |
| Buffer | PBS, 50% glycerol, 0.05% Proclin 300, 0.05% protein protectant. |
| Purification Method | Protein A purified |
| Research Areas | Signal Transduction, Epigenetics and Nuclear Signaling |
| Clone | A538 |
| Conjugation | Unconjugated |
| Storage | Store at -20°C Valid for 12 months. Avoid freeze / thaw cycles. |
| Shipping | Ice bag |
| background | NF-kappa-B is a pleiotropic transcription factor present in almost all cell types and is the endpoint of a series of signal transduction events that are initiated by a vast array of stimuli related to many biological processes such as inflammation, immunity, differentiation, cell growth, tumorigenesis and apoptosis. In a non-canonical activation pathway, the MAP3K14-activated CHUK/IKKA homodimer phosphorylates NFKB2/p100 associated with RelB, inducing its proteolytic processing to NFKB2/p52 and the formation of NF-kappa-B RelB-p52 complexes. NFKB2 appears to have dual functions such as cytoplasmic retention of attached NF-kappa-B proteins by p100 and generation of p52 by a cotranslational processing. The proteasome-mediated process ensures the production of both p52 and p100 and preserves their independent function. |
| Cat.No. | Product Name | Clone No. |
|---|
-
IF:{{item.impact}}
Journal:{{item.journal}} ({{item.year}})
DOI:{{item.doi}}Reactivity:{{item.species}}
Sample Type:{{item.sample_type}}
-
Q{{(FAQpage.currentPage - 1)*pageSize+index+1}}:{{item.name}}
No files available. Please enter the correct identification code in the search area to query the relevant documents.
| Title | Status | Valid until | Action | |
|---|---|---|---|---|
| {{v.文件名}} | {{v.status_str}} | {{v.timestamp_str}} | Download | / |
*Note:Please download the relevant files within the validity period. After expiration, file preview and download will not be available on the page.

