Recombinant PGRMC2 Monoclonal Antibody (AN301926L)
-
-
-
- +1
For research use only.
| Verified Samples |
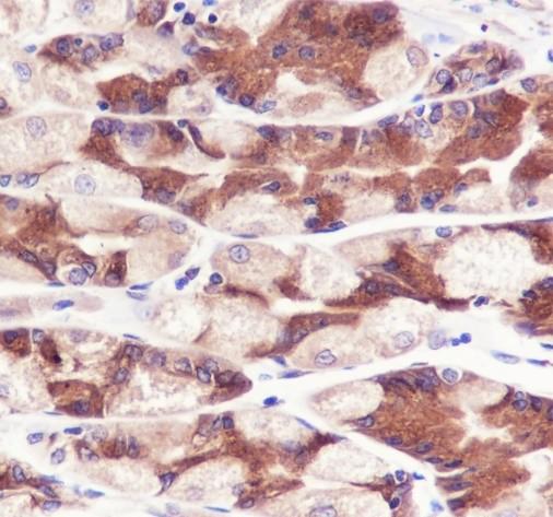
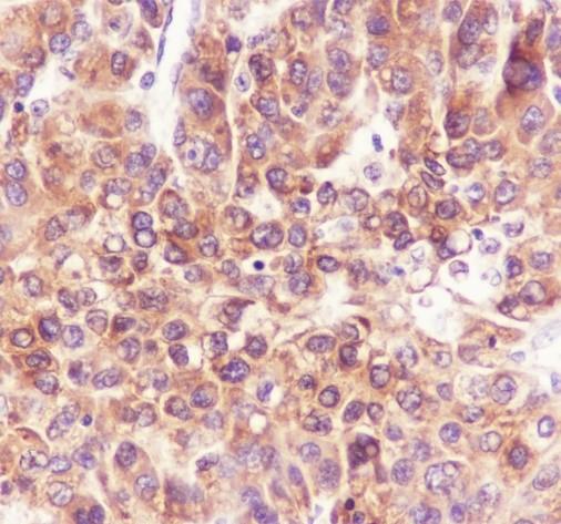
Verified Samples in WB: Mouse spleen, Mouse liver, Rat liver Verified Samples in IHC: Human liver cancer, Human stomach, Mouse liver |
| Dilution | WB 1:1000, IHC 1:50-1:100 |
| Isotype | IgG, κ |
| Host | Rabbit |
| Reactivity | Human, Rat, Mouse |
| Applications | WB, IHC |
| Clonality | Monoclonal;Recombinant |
| Immunogen | Recombinant human PGRMC2 fragment |
| Abbre | PGRMC2 |
| Synonyms | PGRMC, PGRMC2, DG6, PMBP |
| Swissprot | |
| Calculated MW | 24 kDa |
| Observed MW |
24 kDa
Western blotting is a method for detecting a certain protein in a complex sample based on the specific binding of antigen and antibody. Different proteins can be divided into bands based on different mobility rates. The mobility is affected by many factors, which may cause the observed band size to be inconsistent with the expected size. The common factors include: 1. Post-translational modifications: For example, modifications such as glycosylation, phosphorylation, methylation, and acetylation will increase the molecular weight of the protein. 2. Splicing variants: Different expression patterns of various mRNA splicing bodies may produce proteins of different sizes. 3. Post-translational cleavage: Many proteins are first synthesized into precursor proteins and then cleaved to form active forms, such as COL1A1. 4. Relative charge: the composition of amino acids (the proportion of charged amino acids and uncharged amino acids). 5. Formation of multimers: For example, in protein dimer, strong interactions between proteins can cause the bands to be larger. However, the use of reducing conditions can usually avoid the formation of multimers. If a protein in a sample has different modified forms at the same time, multiple bands may be detected on the membrane. |
| Cellular Localization | Nucleus, Endoplasmic reticulum |
| Concentration | 1 mg/mL |
| Buffer | PBS, 50% glycerol, 0.05% Proclin 300, 0.05% protein protectant. |
| Purification Method | Protein A purified |
| Research Areas | Signal Transduction |
| Clone No. | A642 |
| Conjugation | Unconjugated |
| Storage | Store at -20°C Valid for 12 months. Avoid freeze / thaw cycles. |
| Shipping | Ice bag |
| background | Membrane-associated progesterone receptor component 2 (PGRMC2), also known as DG6 or PMBP, belongs to the cytochrome b5 family. This protein might play a role in cancer. The gene of PGRMC2 maps to chromosome 4q26, and encodes a 223-amino acid single-pass membrane protein with a cytochrome b5 heme-binding domain in its cytoplasmic domain. PGRMC2 has a calculated molecular weight of 24 kDa. |
Other Clones
{{antibodyDetailsPage.numTotal}} Results
-
{{item.title}}
Citations ({{item.publications_count}}) Manual MSDS
Cat.No.:{{item.cat}}
{{index}} {{goods_show_value}}
Other Formats
{{formatDetailsPage.numTotal}} Results
Unconjugated
-
{{item.title}}
Citations ({{item.publications_count}}) Manual MSDS
Cat.No.:{{item.cat}}
{{index}} {{goods_show_value}}
-
IF:{{item.impact}}
Journal:{{item.journal}} ({{item.year}})
DOI:{{item.doi}}Reactivity:{{item.species}}
Sample Type:{{item.organization}}
-
Q{{(FAQpage.currentPage - 1)*pageSize+index+1}}:{{item.name}}

